相关产品推荐更多 >

phospho-HDAC5 (Ser259) Rabbit pAb, AP conjugated(bs-10326R-AP)-100ul
¥2980
BrdU(Proliferation Marker) Mouse mAb, BF750 conjugated(bsm-0917M-BF750)-100ul
¥2980
Neurofascin Rabbit pAb(bs-0289R)-50ul/100ul/200ul
¥1180
Occludin Rabbit pAb(bs-10011R)-50ul/100ul/200ul
¥1180
MCT1 Rabbit pAb, FITC conjugated(bs-10249R-FITC)-100ul
¥2980
万千商家帮你免费找货
0 人在求购买到急需产品
- 详细信息
- 文献和实验
- 技术资料
- 应用范围:
产品信息以Bioss网站为准
- 规格:
50ul/100ul/25ul
| 规格: | 50ul | 产品价格: | ¥1400.0 |
|---|---|---|---|
| 规格: | 100ul | 产品价格: | ¥2500.0 |
| 规格: | 25ul | 产品价格: | ¥800.0 |
| 产品编号 | bsm-60622R |
| 英文名称 | Oct6 Recombinant Rabbit mAb |
| 产品应用 | WB=1:500-2000, IHC-P=1:100-500, IHC-F=1:100-500, IF=1:100-500 Not yet tested in other applications. |
| 交叉反应 | Human, Mouse |
| 抗体来源 | Rabbit |
| 亚型 | IgG |
| 性状 | Liquid |
| 纯化方法 | affinity purified by Protein A |
| 克隆类型 | Recombinant |
| 浓度 | 1mg/ml |
| 储存液 | 0.01M TBS (pH7.4) with 1% BSA, 0.02% Proclin300 and 50% Glycerol. |
| 研究领域 | Epigenetics and Nuclear Signaling > Transcription > Domain Families > Developmental Families > OCT Epigenetics and Nuclear Signaling > Transcription > Domain Families > Developmental Families > POU Neuroscience > Cell Type Marker > Neural Stem Cell marker Neuroscience > Neurology process > Neurogenesis |
| 亚细胞定位 | Membrane; Multi-pass membrane protein (Potential). Cell membrane. Note=Detected in the plasma mebrane of Sertoli cells and in the luminal membrane of epithelial cells in the epididymis. |
| 组织特异性 | Widely expressed at low levels in adult tissues and fetal brain, lung, liver and kidney. Expressed in testis and epididymis (at protein level). Expressed at lower levels in bone marrow and fetal liver. Expressed in hematopoietic cells, including CD34(+) leukocytes and leukemia cells. Abundantly expressed in ovarian cancer clear-cell adenocarcinoma. Expressed in endometrium (at protein level); highly expressed during the normal secretory phase, but expression is significantly reduced in the proliferative phase. |
| 相似性 | Belongs to the major facilitator (TC 2.A.1) superfamily. Organic cation transporter (TC 2.A.1.19) family. |
| 功能 | High affinity carnitine transporter; the uptake is partially sodium-ion dependent. Thought to mediate the L-carnitine secretion mechanism from testis epididymal epithelium into the lumen which is involved in the maturation of spermatozoa. Also transports organic cations such as tetraethylammonium (TEA) and doxorubicin. The uptake of TEA is inhibited by various organic cations. The uptake of doxorubicin is sodium-independent. |
| 保存条件 | Shipped at 4℃. Store at -20℃ for one year. Avoid repeated freeze/thaw cycles. |
| 注意事项 | This product as supplied is intended for research use only, not for use in human, therapeutic or diagnostic applications. |
| 背景资料 | This gene encodes a member of the organic zwitterions transporter protein family which transports carnitine. The encoded protein has also been shown to transport anticancer drugs like bleomycin (PMID: 20037140) successful treatment has been correlated with the level of activity of this transporter in tumor cells. [provided by RefSeq, Dec 2011]. |
| 应用 | 推荐稀释比例 |
| {WB} | {1:500-2000} |
| {IHC-P} | {1:100-500} |
| {IHC-F} | {1:100-500} |
| {IF} | {1:100-500} |

Primary ab dilution: 1:2000
Primary ab incubation condition: 2 hours at room temperature
Secondary ab: Goat Anti-Rabbit IgG H&L (HRP)
Lysate: 1: A549, 2: Jurkat
Protein loading quantity: 20 μg
Exposure time: 30 s
Predicted MW: 45 kDa
Observed MW: 50 kDa

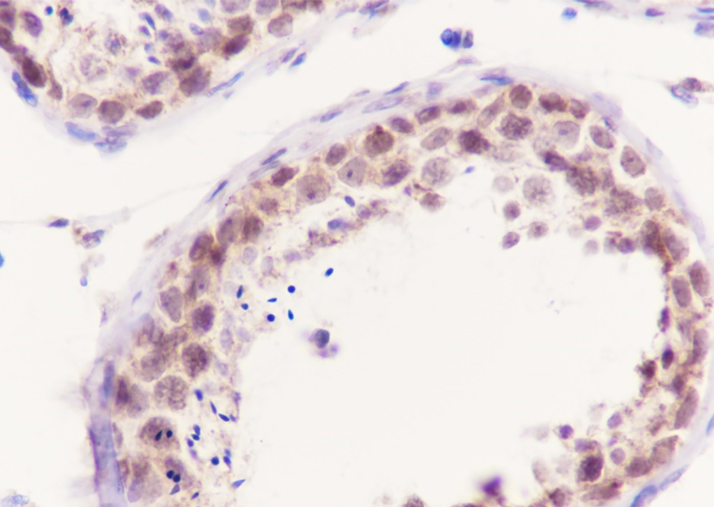
Section type: Formalin fixed & Paraffin -embedded section
Retrieval method: High temperature and high pressure
Retrieval buffer: Tris/EDTA buffer, pH 9.0 Primary ab dilution: 1:100
Primary ab incubation condition: 1 hour at room temperature
Secondary ab: SP Kit(Rabbit) (sp-0023)
Counter stain: Hematoxylin (Blue)
Comment: Color brown is the positive signal for bsm-60622R

Section type: Formalin fixed & Paraffin -embedded section
Retrieval method: High temperature and high pressure
Retrieval buffer: Tris/EDTA buffer, pH 9.0 Primary ab dilution: 1:100
Primary ab incubation condition: 1 hour at room temperature
Secondary ab: SP Kit(Rabbit) (sp-0023)
Counter stain: Hematoxylin (Blue)
Comment: Color brown is the positive signal forbsm-60622R
风险提示:丁香通仅作为第三方平台,为商家信息发布提供平台空间。用户咨询产品时请注意保护个人信息及财产安全,合理判断,谨慎选购商品,商家和用户对交易行为负责。对于医疗器械类产品,请先查证核实企业经营资质和医疗器械产品注册证情况。
文献和实验到 PVDF 膜上,同时减少蛋白不必要降解,这对于最终获得清晰、可信结果也是需要考虑因素。抗体信息:1.ACC1, Recombinant Rabbit monoclonal IgG. HuaAn. HuaAn biotechnology , inc.2.ATGL, Mouse mAb IgG1, Cat#:RT1058. HuaAn biotechnology , inc.3.p-PERK(Thr981), Rabbit Polyclonal IgG primary antibodies, Cat
The OP9-DL1 System: Generation of T-Lymphocytes from Embryonic or Hematopoietic Stem Cells In Vitro
al. 2006b ). MATERIALS Reagents Anti-CD24 monoclonal antibody (mAb) (J11d clone) (for Protocol 3) Use either culture supernatant that contains anti-CD24 mAb or purified anti-CD24 mAb (see Step 55). BDPharmLyse (red blood cell lysing
Immunohistochemisty-Enzymatic Protocol
antibodies (R&D Systems'' MAB or BAM series) Cell & Tissue Staining Kits - Enzymatic/Chromogenic Against Goat Primary Antibodies: HRP-DAB (Catalog # CTS008) HRP-AEC (Catalog # CTS009)
技术资料暂无技术资料 索取技术资料





