相关产品推荐更多 >
万千商家帮你免费找货
0 人在求购买到急需产品
- 详细信息
- 询价记录
- 文献和实验
- 技术资料
- 供应商:
上海碧云天生物技术股份有限公司
- 库存:
充足
- 规格:
100次/500次
| 规格: | 100次 | 产品价格: | ¥286.0 |
|---|---|---|---|
| 规格: | 500次 | 产品价格: | ¥998.0 |
碧云天生产的Masson三色染色试剂盒(Masson's Trichrome Staining Kit),也称Masson染色试剂盒(Masson Staining Kit)、结缔组织染色试剂盒(Connective Tissue Stain Kit)、三色染色试剂盒(Trichrome Stain Kit或Trichromic Staining Kit)或Masson-Goldner Staining Kit,是一种通过经典方法简单、高效、灵敏地可染色细胞核并选择性地对胶原纤维(Collagen fiber)和肌纤维(Muscle fiber)进行染色的试剂盒。本试剂盒对不同组织的石蜡切片和冰冻切片均适用。
Masson三色染色又称马松染色,简称Masson染色,是结缔组织(Connective tissue)染色最经典的一种方法,也是区分胶原纤维和肌纤维权威而经典的技术方法,对于组织学研究和疾病的病理诊断有着重要意义。胶原纤维由胶原蛋白经过特殊排列而形成,起着重要的结构支持和强度维护的作用,是许多组织的主要成分之一,特别是在结缔组织中广泛存在。肌纤维包含有肌球蛋白和肌原纤维,负责肌肉的收缩和运动。各种原因引起的组织细胞损伤,可导致组织细胞发生变性、坏死和炎症反应,损伤较小的情况下可完全恢复正常结构和功能,但如果损伤严重,则会发生纤维化(Fibrosis),即纤维大量增生填补组织缺损,却无法恢复正常的结构和功能[1]。通过Masson染色可以分析组织中胶原纤维的数量和分布,评估组织的纤维化程度;帮助鉴别组织中的炎症细胞和炎症相关的纤维化变化[2];显示肿瘤周围或内部的纤维组织反应和结构,辅助判断和诊断肿瘤类型和分级[3]。
本试剂盒的染色原理如下。Masson染色通过使用苏木素、亮绿以及丽春红-酸性品红三种阴离子染料,选择性地对细胞核、胶原纤维和肌纤维进行染色。染色时根据组织不同的渗透性,不同组织可被分子大小不同的阴离子染料着染,显示不同的颜色。而组织的渗透性取决于组织的结构密度。不同的组织和细胞成分具有不同的孔隙大小,如孔隙小,组织结构致密,渗透性低;孔隙宽,组织结构疏松,渗透性高。小分子量的染料易穿透结构致密、渗透性低的组织,而大分子量的染料则只能进入结构疏松、渗透性高的组织。例如已固定的组织经Masson染色,红细胞、细胞核等被最小分子的阴离子染料苏木素着染,显紫色;肌纤维、胞浆等被中等大小的阴离子染料丽春红-酸性品红染色,显红色;而胶原纤维等则被大分子的阴离子染料亮绿着染,显绿色[4]。
本试剂盒组分齐全,提供了Masson染色所需的苏木素染色液、酸性分化液、丽春红-酸性品红染色液、亮绿染色液及磷钨钼酸分化液,用户只需自备各梯度浓度的乙醇溶液即可完成整个实验过程。
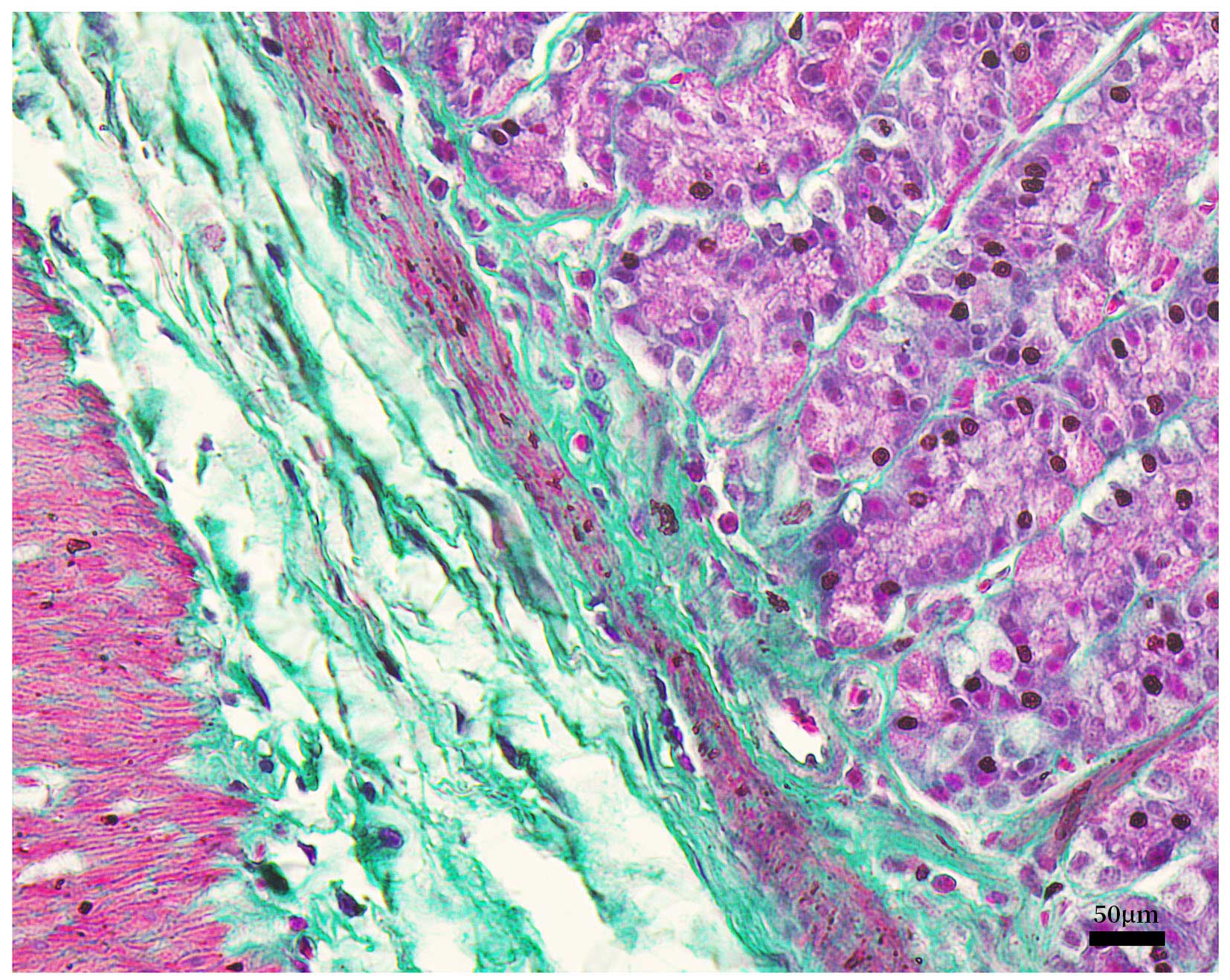
本试剂盒操作简捷,性能稳定,分化时间短,显色清晰,所染切片保存时间长且不易褪色,用于大鼠胃部石蜡切片的染色效果参考图1。
图1.碧云天Masson三色染色试剂盒(C0189)用于大鼠胃部石蜡切片的染色效果图。图中可见基底膜胶原纤维被亮绿染成绿色,胞浆被丽春红-酸性品红染成红色,细胞核被苏木素染成紫黑色。实际染色效果会因样品、检测条件的不同而略有差异,本图仅供参考。
按照使用说明推荐用量,即每张切片使用50μl染色液体系计算,本试剂盒小包装可进行100次染色,中包装可进行500次染色。
包装清单:| 产品编号 | 产品名称 | 包装 |
| C0189S-1 | 苏木素染色液 | 50ml |
| C0189S-2 | 酸性分化液 | 100ml |
| C0189S-3 | 丽春红-酸性品红染色液 | 50ml |
| C0189S-4 | 磷钼酸分化液 | 50ml |
| C0189S-5 | 亮绿染色液 | 50ml |
| - | 说明书 | 1份 |
| 产品编号 | 产品名称 | 包装 |
| C0189M-1 | 苏木素染色液 | 250ml |
| C0189M-2 | 酸性分化液 | 500ml |
| C0189M-3 | 丽春红-酸性品红染色液 | 250ml |
| C0189M-4 | 磷钼酸分化液 | 250ml |
| C0189M-5 | 亮绿染色液 | 250ml |
| - | 说明书 | 1份 |
室温保存,一年有效。
注意事项:请勿-20ºC冻存,否则可能会有沉淀析出,影响使用效果。
丽春红-酸性品红染色液遇水易脱色,染色后用蒸馏水润洗不能超过10秒。
磷钼酸分化液与酸性分化液的使用次序不能颠倒。磷钼酸分化液一方面可以使被丽春红-酸性品红染色液染上红色的胶原纤维分化成无色或淡红色,而肌纤维等仍呈鲜红色;另一方面对胶原纤维又起媒染作用,使胶原纤维与大分子染料亮绿更易结合。磷钼酸分化液分化后无需水洗。
亮绿染色液染色后使用酸性溶液分化的目的是除去原浆中的绿色,使染色鲜艳清晰,推荐分化时间为1分钟,可根据染色效果自行调整。
酸性分化液为易燃液体,须密闭储存于阴凉、干燥、通风良好的地方,建议存放在易燃液体的专用安全柜中,并远离明火、火花、热源、热表面,禁止吸烟。
酸性分化液有腐蚀性,操作时请小心,并注意有效防护以避免直接接触人体或腐蚀其他物品。
本产品仅限于专业人员的科学研究用,不得用于临床诊断或治疗,不得用于食品或药品,不得存放于普通住宅内。
为了您的安全和健康,请穿实验服并戴一次性手套操作。
风险提示:丁香通仅作为第三方平台,为商家信息发布提供平台空间。用户咨询产品时请注意保护个人信息及财产安全,合理判断,谨慎选购商品,商家和用户对交易行为负责。对于医疗器械类产品,请先查证核实企业经营资质和医疗器械产品注册证情况。
- 作者
- 内容
- 询问日期
文献和实验,则显均质性,具较强的的嗜酸性,在苏木素—伊红染色(简称HE染色)的切片上易于识别。但在某些情况下,它与肌纤维的鉴别是有困难的。例如纤维瘤或纤维肉瘤与平滑肌瘤或平滑肌肉瘤及横纹肌瘤及横纹肌肉瘤的鉴别。为此,适宜的采用某些特殊染色就十分必要了。如Ven Gieson氏染色法(胶原纤维呈红色,肌纤维呈黄色);Masson氏三色染色法(胶原纤维呈绿色或兰色,肌纤维呈红色)。 1.Ven Gioeson氏苦味酸复红法(1889) 此法是用来区分胶原纤维和肌纤
、Masson三色染色法 1.试剂配制 (1)Masson复合染色液 酸性复红1g,丽春红2g,桔黄G2g,0.25%醋酸300ml。 (2)亮绿染色液 高绿SF0.1g,0.2%醋酸100ml。 2.染色步骤 中性甲醛液固定组织,石蜡切片,常规脱蜡至水。 (1)Masson复合染色液5min。 (2)0.2%醋酸水溶液稍洗。 (3)5%磷钨酸5-10min。 (4)0.2%醋酸水溶液浸洗2次。 (5)亮绿染色液5min,0.2%醋酸水洗2次。 (6)无水
建立 【求助】细菌对所测蛋白质的影响大吗 【求购】关于Elisa标准曲线优化的问题。 【求助】大鼠IL-1、IL-6试剂盒的说明书 免疫组化讨论区 【请教】免疫荧光标本的保存 【求助】免疫荧光冰冻切片固定问题 【求助】如何用免疫组化染磷酸化的蛋白? 【求助】SABC免疫组化肝组织阳性但胰腺组织完全没表达 【请教】关于小鼠血中几个细胞因子的正常浓度 【请教】肺组织标本处理 【求助】悬浮细胞confocal 方法 【求助】肺组织PKC的免疫
技术资料暂无技术资料 索取技术资料











