相关产品推荐更多 >
万千商家帮你免费找货
0 人在求购买到急需产品
- 详细信息
- 文献和实验
- 技术资料
AMPIVIEW™ RNA 探针


◆轻松实现目标基因的表达与空间生物学的可视化
AMPIVIEW™ RNA探针设计独特,具有精确的靶向性、序列特异性,是由Enzo的LoopRNA ISH™ 技术驱动的高灵敏度RNA探针。当 AMPIVIEW™ RNA 探针与核酸靶标杂交时,会形成暴露的生物素或di高辛标记环,使这些探针不仅可高灵敏检测,而且适用于现有的免疫组织化学 (IHC) 检测方法和色原底物。此外,样品的形态得以保留,可以在光学显微镜下观察目标生物标志物信号。

AMPIVIEW™ RNA 探针的优点
● 特异性检测目标核酸(DNA/RNA),低至单细胞水平
● 高灵敏度和可靠性
● 适用于福尔马林固定、石蜡包埋(FFPE)组织和细胞
● 温和的组织形态保存实验方案
● 无需更改现有的ISH实验方案
● 高性价比的IHC/ISH检测组合
● 灵活,可用于任何实验流程(手动或自动)
应用
灵敏、适应性强、可靠和高性价比的解决方案
基础研究和药物发现/开发
● 生理学转录分析
● 疾病模型研究
● 生物标志物研究
● 目标识别和验证
● 临床前早期药物发现分析
● 疗法的细胞应答
● 伴随诊断的研发
● 空间生物学
临床研究
● 病原体识别
● 生物标志物的检测
● 生物标志记物的验证
◆AMPIVIEW™ RNA探针可以用正义探针检测DNA拷贝,用反义探针检测DNA和RNA
![]() |
|
检测SiHa细胞中的HPV 16/18(1-3个HPV整合拷贝),A. 用AMPIVIEW™ HPV 16/18正义RNA探针仅检测病毒DNA,B. AMPIVIEW™ HPV 16/18反义RNA探针同时检测细胞中的病毒DNA和病毒RNA。
◆Enzo的AMPIVIEW™ RNA探针:高信号和低背景
| Enzo HPV High Risk antisense probes (RNA) |
竞品HPV High Risk probes |
|
|
|
| 红色染色=阳性信号 |
棕色染色=阳性信号 |
宫颈鳞状细胞癌--强HPV表达
|
“环状RNA探针无需冗长的实验方案来协助分支链DNA信号放大技术形成所需的信号结构,而这又往往会增加背景值。” ——Dr. Nuovo,俄亥俄州立大学 (Nuovo GJ et Al. Appl Immunohistochem Mol Morphol. 2022 Feb 1;30(2):83-90.)
|
◆AMPIVIEW™ RNA探针具有高特异性
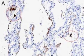
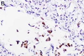
检测肺部组织中的SARS-CoV-2
|
|
|
|
检测SARS-CoV-2 RNA。A和B分别为使用竞品和Enzo探针在COVID-19肺炎样品中进行SARS-CoV-2 RNA原位杂交。竞品探针还会标记巨噬细胞(图A中圆圈部分)。
Nuovo GJ et Al. Appl Immunohistochem Mol Morphol. 2022 Feb 1;30(2):83-90.
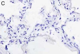
使用 Enzo's AMPIVIEW™ RNA 探针时,SARS-CoV-2 阴性组织无背景染色
| AMPIVIEW™ SARS-CoV-2 |
AMPIVIEW™ SARS-CoV-2 |
竞品的SARS-CoV-2 |
|
|
|
|
|
"使用其他品牌探针和Enzo AMPIVIEW™ 探针通过ISH检测了一些正常的大脑和胎盘作为SARS-CoV-2 RNA的阴性对照。对比竞品探针的背景(红细胞),使用Enzo探针的背景低。" ——Dr. Nuovo, 俄亥俄州立大学
|
◆AMPIVIEW™ RNA探针原位杂交检测实验流程——从样品制备到可视化
样品制备
制备良好的样品是AMPIVIEW™ RNA 探针取得良好检测结果的基础。
● 福尔马林固定、石蜡包埋(FFPE)组织样品
● 冷冻保存的组织样品
● 细胞--培养的、细胞学样品等
透化和变性
|
|
根据样品类型进行预处理
● 细胞或组织的固定 ● 脱蜡(FFPE组织) ● 抗原修复 ● 酶促透化 |
杂交
|
|
AMPIVIEW™ RNA 探针——即用型探针
AMPIVIEW™ RNA探针采用Enzo的LoopRNA ISH™ 技术设计,可与特定的目标RNA、DNA或RNA/DNA杂交。每个目标探针都含有生物素或di高辛标签,使相关目标在光学显微镜下以特定颜色的发色团进行可视化。 |
检测和开发
AMPIVIEW™ RNA探针可以用Enzo的IHC/ISH检测试剂盒和显色剂进行检测。
|
|
一步式检测系统
SAVIEW® PLUS AP或HRP试剂是一种即用型基于链霉亲和素纳米聚合物试剂,可确保对组织切片和细胞上的生物素化探针进行一致且可重复的检测。SAVIEW® PLUS对生物素化探针的一步检测方法使染色过程更快,显著降低背景。
|
|
|
两步式检测系统
抗生物素或DIGX® 抗di高辛配体抗体与即用型无生物素纳米聚合物POLYVIEW® PLUS AP或HRP检测试剂配合使用,可对AMPIVIEW™ RNA探针进行一致的、可重复的免疫检测。POLYVIEW® PLUS高强度显色可提供清晰明了的染色效果。 |
将SAVIEW® PLUS或POLYVIEW® PLUS试剂与Enzo的HIGHDEF® 色原产品(见产品列表)配合使用,可以取得良好的效果。
可视化
|
|
AMPIVIEW™ RNA探针可以用常规的光学显微镜进行观察和成像。 |
透化和变性
| 产品编号 | 产品名称 | 产品规格 |
| ENZ-ACC112-0100 | Antigen Retrieval Reagent, pH 6 (10×) 抗原回收试剂,pH 6(10×) |
100 mL |
| ENZ-ACC113-0100 | Antigen Retrieval Reagent, pH 9 (10×) 抗原回收试剂,pH 9(10×) |
100 mL |
| ENZ-33801 | Proteinase K 蛋白酶K |
2×5 mg |
| ADI-950-271-0500 | IHC antigen retrieval reagent (citrate, pH 7.0) IHC抗原修复试剂(柠檬酸盐,pH 7.0) |
500 mL |
| ADI-950-272-0500 | IHC antigen retrieval reagent (citrate, pH 8.0) 免疫组化 抗原修复 试剂 (柠檬酸盐, pH 8.0) |
500 mL |
| ADI-950-280-0015 | IHC enzyme antigen retrieval reagent 免疫组化 酶抗原修复试剂 |
15 mL |
杂交
| 产品编号 | 产品名称 | 产品规格 | 备注 |
| ENZ-GEN145-2000 | AMPIVIEW™ HPV 6/11 RNA探针组合 | 2 mL | 用于原位杂交的di高辛标记的HPV 6和HPV 11特异性RNA探针的混合物。 |
| ENZ-GEN146-2000 | AMPIVIEW™ HPV 16/18 RNA 探针组合 | 2 mL | 用于检测HPV 16/18的原位杂交的di高辛标记的RNA探针的混合物。 |
| ENZ-GEN147-2000 | AMPIVIEW™ HPV 31/33/51 RNA探针组合 | 2 mL | 用于原位杂交检测HPV 31/33/51的di高辛标记的RNA探针的混合物 |
| ENZ-GEN148-2000 | AMPIVIEW™ HPV High-Risk RNA 探针组合 | 2 mL | 用于原位杂交检测HPV 16/18/31/33/51的di高辛标记的RNA探针的混合物。 |
| ENZ-GEN159-2000 | AMPIVIEW™ SARS-CoV-2 RNA探针组合 | 2 mL | 用于原位杂交检测SARS-CoV-2病毒的生物素标记的RNA探针 |
| ENZ-GEN158-0020 | AMPIVIEW™ SARS-CoV-2 RNA探针试剂盒 | 20 assays | AMPIVIEW™ SARS-CoV-2 RNA探针试剂盒,由Enzo的LoopRNA ISH™技术驱动,通过SAVIEW® PLUS检测系统提供高灵敏度。 |
一步式检测系统
| 产品编号 | 产品名称 | 产品规格 |
| ENZ-ACC111-0150 | SAVIEW® PLUS AP Reagent SAVIEW® PLUS AP试剂 |
150 tests |
| ENZ-ACC102-0150 | SAVIEW® PLUS HRP reagent 即用型HRP溶液 | 150 tests |
两步检测系统
| 产品编号 | 产品名称 | 产品规格 |
| ENZ-ACC114-0150 | POLYVIEW® PLUS AP (anti-mouse) reagent POLYVIEW® PLUS AP(抗老鼠)试剂 |
150 tests |
| ENZ-ACC110-0150 | POLYVIEW® PLUS AP (anti-rabbit) reagent POLYVIEW® +AP (抗兔)试剂 |
150 tests |
| ENZ-ACC104-0150 | POLYVIEW® PLUS HRP (anti-mouse) reagent 即用型HRP溶液(鼠抗) |
150 tests |
| ENZ-ACC103-0150 | POLYVIEW® PLUS HRP (anti-rabbit) reagent 即用型HRP溶液(兔抗) |
150 tests |
| ENZ-KIT181-0150 | MULTIVIEW® PLUS (mouse-HRP/rabbit-AP) IHC Kit (Brown/Green) MULTIVIEW® PLUS(mouse-HRP / rabbit-AP)IHC试剂盒(棕色/绿色) |
150 tests |
| ENZ-32893-6000 | Mouse anti-biotin linker (Ready-to-use) 小鼠 抗-生物素配体 (即用型) |
6 mL |
| ENZ-32892-6000 | Rabbit anti-biotin linker (Ready-to-use) 兔抗-生物素配体(即用型) |
6 mL |
| ENZ-ABS304-6000 | DIGX™ Mouse anti-digoxigenin linker (Ready-to-Use) DIGX™ 小鼠抗di高辛配体 |
6 mL |
| ENZ-ABS303-6000 | DIGX™ Rabbit anti-digoxigenin linker (Ready-to-Use) DIGX™ 兔抗di高辛连接体 |
6 mL |
可视化
| 产品编号 | 产品名称 | 产品规格 |
| ENZ-ACC105-0200 | HIGHDEF® DAB Chromogen/Substrate Set HIGHDEF® DAB显色/底物套装 |
200 mL |
| ENZ-ACC130-0030 | HIGHDEF® Green AP Chromogen/Substrate HIGHDEF® 绿AP染料/底物 |
30 mL |
| ADI-950-171-0030 | HIGHDEF® black IHC chromogen (HRP) HighDef 黑色 免疫组化 色原体 (HRP) |
30 mL |
| ADI-950-150-0030 | HIGHDEF® blue IHC chromogen (AP) HighDef 蓝色 免疫组化 色原体 (AP) |
30 mL |
| ADI-950-151-0030 | HIGHDEF® blue IHC chromogen (HRP) HighDef 蓝色 免疫组化 色原体 (HRP) |
30 mL |
| ADI-950-140-0030 | HIGHDEF® red IHC chromogen (AP) HighDef 红色 免疫组化 色原体 (AP) |
30 mL |
| ADI-950-170-0030 | HIGHDEF® yellow IHC chromogen (HRP) HighDef 黄色 免疫组化 色原体 (HRP) |
30 mL |
| ENZ-ACC106-0100 | HIGHDEF® Hematoxylin HIGHDEF® 苏木-精 |
100 mL |
| ADI-950-261-0030 | HIGHDEF® IHC mount HighDef 免疫组化 封片剂 |
30 mL |
风险提示:丁香通仅作为第三方平台,为商家信息发布提供平台空间。用户咨询产品时请注意保护个人信息及财产安全,合理判断,谨慎选购商品,商家和用户对交易行为负责。对于医疗器械类产品,请先查证核实企业经营资质和医疗器械产品注册证情况。
文献和实验cRNA 探针 cRNA探针是以eDNA为模板在体外转录而成的探针,可方便地通过已克隆于特定质粒载体的,DNA产生。这些质粒通常在紧邻多克隆位点的位置含有一个噬菌体启动子。应用相关的RNA聚合酶和4种核糖核苷(rNTPs)(其中至少一种带有标记物)进行体外转录反应,依赖DNA的RNA聚合酶以克隆的cDNA为模板,以含有标记物的三磷酸核糖核苷为原料,从启动子下游开始在体外转录产生RNA。通过改变外源cDNA在质粒中的插入方向或选用不同的RNA聚合酶,可以控制RNA的转录
RNA探针是一类很有前途的核酸探针,由于RNA是单链分子,所以它与靶序列的杂交反应效率极高。早期采用的RNA探针是细胞mRNA探针和病毒RNA探针,这些RNA是在细胞基因转录或病毒复制过程中得到标记的,标记效率往往不高,且受到多种因素的制约。这类RNA探针主要用于研究目的,而不是用于检测。例如,在筛选逆转录病毒人类免疫缺陷病毒(HIV)的基因组DNA克隆时,因无DNA探针可利用,就利用HIV的全套标记mRNA作为探针,成功地筛选到多株HIV基因组DNA克隆。又如进行中的转录
来提高灵敏度。 小分子RNA探针的制备 方法其实很简单:只需要准备目的基因的一小段寡核苷酸序列,3'端另外增加8个和T7启动子互补的碱基,将这段寡核苷酸和T7启动子引物退火,用Klenow大片断补齐得到双链的转录模版,然后用T7RNA聚合酶、rNTP和标记物混合,体外转录得到标记的小分子RNA探针。这种方法可以快速制备各种标记(同位素、非放射性标记均可)的小于100nt的小分子RNA探针,适用于包括RPAs,Northerns和原位杂交等各种方法检测小分子核仁RNA(small nuclear
技术资料暂无技术资料 索取技术资料

























