相关产品推荐更多 >
万千商家帮你免费找货
0 人在求购买到急需产品
- 详细信息
- 文献和实验
- 技术资料
- 供应商:
上海联祖
- 库存:
21
- 规格:
1*125ml 500ml
| 产品名称 | 规格 | 货号 |
| 8305C 细胞专用培养基 | 1*125ml 500ml | LZ-PX11211 |
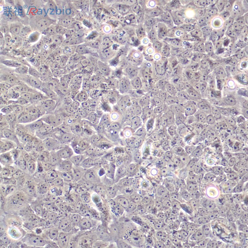
8305C 细胞专用培养基由团队精心优化,经过长期测试,本产品可保持8305C 细胞最佳的生长状态。
本产品中已包含 8305C 细胞生长所需的各种成分,无需添加任何成分,可直接用于8305C 细胞的培养。
产品主要成分
MEM 基础培养基 435ml
特级胎牛血清 50 mL
MEM NEAA非必需氨基酸 5 mL
GlutaMAX-1谷氨酰胺 5 mL
P/S青霉素-链霉素 5 mL
运输和保存
运输:放置于含有生物冰袋的保温箱中低温运输
保存方法:2℃~8℃,避光,保存1个月;-20℃,避光,保存3个月。
干冰运输及复苏好存活细胞
(1)1mL冻存管包装干冰运输,收到后-80度冰箱保存过夜后转入液氮或直接复苏,若发现干冰已挥发干净、冻存管瓶盖脱落、破损及细胞有污染,请立即与我们联系。
(2)T25瓶复苏的存活细胞常温发货,收到后按照细胞接收后的处理方法操作。
| PLAUR/uPAR(Human Urokinase-type Plasminogen Activator Receptor) ELISA kit 人尿激酶型纤溶酶原激活物受体 96T | Rhesus antibody Rh Phospho-FoxO3a (Ser294) 0酸化叉头蛋白3A抗体 规格 0.1ml |
| Rhesus antibody Rh TRIB2 MAPK调控蛋白TRB2抗体 规格 0.2ml | CSC, 小鼠心肌细胞 |
| Anti-MAP2 微管相关蛋白2抗体Multi-class antibodies规格: 0.1ml | 非洲绿猴肾细胞系/HCV-NS5A;Vero-HCV-NS5A |
| Anti-LPLUNC1/FITC 荧光素标记人鼻咽癌癌基因抗体IgGMulti-class antibodies规格: 0.2ml | CCL27 Protein Human 重组人 CCL27 / CTACK 蛋白 (His 标签) |
| Human trypsin ELISA Kit 人胰蛋白酶Multi-class antibodies规格: 48T | EB病毒转化的人B淋巴细胞;KMY1036 |
| HLC3: 肺癌癌基因蛋白3抗体 0.2ml | 3D4/21猪肺泡巨噬细胞 Porcine alveolar macrophage 3D4/21 1640+10% FBS+0.1mM NEAA+1mM 酸 |
| Rhesus antibody Rh ECT2 上皮细胞癌转化蛋白2抗体 规格 0.1ml | Hepa 1-6细胞,肝癌细胞 人结直肠癌细胞,HCT116细胞 CM-H012人支气管平滑肌细胞完全培养基100mL |
| ZBTB4: 锌指蛋白903抗体 0.2ml | HBZY-1细胞,人肾小球髓母细胞 大鼠埀体瘤细胞,GH3细胞 CL-0210SiHa(人子宫颈鳞癌细胞)5×106cells/瓶×2 |
| C22orf9: 22号染色体开放阅读框9抗体 0.2ml | 615小鼠状肺腺癌瘤株;P615 小鼠肾动脉内皮细胞完全培养基 100mL |
| Rhesus antibody Rh CD11b/c equivalent CD11B/CD11C抗体 规格 0.2ml | 人非色素睫状上皮细胞 (HNPCEpiC)( 5×105 ) LX-2, 人肝星形细胞株 Human |
| IgM ELISA Kit 大鼠免疫球蛋白MMulti-class antibodies规格: 48T | RK3 Others Human 人 kC / RK3 人细胞裂解液 (阳性对照) |
| FTSJ1: 精神发育迟滞相关蛋白抗体 0.2ml | AR42J(大鼠胰腺外分泌细胞) 5×106cells/瓶×2 CM-R075大鼠主动脉内皮细胞完全培养基100mL 人正常前列腺基质永生化细胞;WPMY-1 |
| 8305C 细胞专用培养基PCYT1A: 0酸乙转移酶A抗体 0.1ml | ACVR2A Others Mouse 小鼠 ACVR2A / AcIIa 人细胞裂解液 (阳性对照) |
| Anti-PAK7/PAK5/MBT/FITC 荧光素标记抗激活激酶PAK7/PAK5抗体IgGMulti-class antibodies规格: 0.2ml | EGFR Others Rat 大鼠 EGFR / HER1 / ErbB1 人细胞裂解液 (阳性对照) |
| Goat Anti-human IgA/PE 荧光素PE标记羊抗人IgA 0.1ml | MAPKAPK5 Others Human 人 MAPKAPK5 杆状病毒-昆虫细胞裂解液 (阳性对照) |
风险提示:丁香通仅作为第三方平台,为商家信息发布提供平台空间。用户咨询产品时请注意保护个人信息及财产安全,合理判断,谨慎选购商品,商家和用户对交易行为负责。对于医疗器械类产品,请先查证核实企业经营资质和医疗器械产品注册证情况。
文献和实验上清中外泌体含量很少,因为细胞在饥饿状态下会将囊泡作为营养物质吸收(如图 1-B)。这样的换培养基操作主要目的是为了保证细胞要有密度差,确定细胞在正常生长,融合度的数值不是固定的。此培养基无法替代常规培养基,只可用于 48 h 以内短时间培养理论上细胞状态好可以循环多次实验。 A:无外泌体血清组 B:正常血清组 C:外泌体专用无血清培养基组 图 1 三种不同的培养体系的外泌体 TEM 电镜图(Hela 细胞) 通过 TEM 电镜结果图可以简单评估
周血单核细胞或者单个核细胞的单核树突状细胞的传代 ,P romoCell 建议使用树突状细胞生成培养基 DXF(C-28052)。详情如下: 1、使细胞附着(第 0 天) 新分离的细胞接种到适量的 PromoCell DC 生成培养基DXF中(不含细胞因子)。单核细胞的接种密度为200-300万/cm2,纯化的单核细胞则为50万/cm2。在37℃和5%的CO2 的培养箱中培养1小时。 2、清洗附着的细胞(第 0 天) 用力晃组织培养皿使未附着的细胞脱落并吸去。用温热
广义的细胞色素 c是含有血红素 c的细胞色素之总称。通常是指主要存在于高等动植物、酵母、霉菌等线粒体中的细胞色素 c,起着传递电子的作用。为分子量约 1.3万的碱性蛋白质,还原型的吸收带为 550、 520、 415毫微米,氧化型为 407毫微米。α 因此很早便被研究,并获得结晶。不仅一级结构而且立体结构也已清楚(图 1)。其结构基本上是生物界共有的。由细胞色素 c氧化酶〔细胞色素( a+ a3 )复合体〕氧化。在呼吸链中从细胞色素 c开始接受电子,各种还原酶都已清楚
技术资料暂无技术资料 索取技术资料










