相关产品推荐更多 >
万千商家帮你免费找货
0 人在求购买到急需产品
- 详细信息
- 文献和实验
- 技术资料
- 供应商:
上海联祖
- 库存:
55
- 规格:
1*125ml 500ml
| 产品名称 | 规格 | 货号 |
| KGN 细胞专用培养基 | 1*125ml 500ml | LZ-PX11206 |
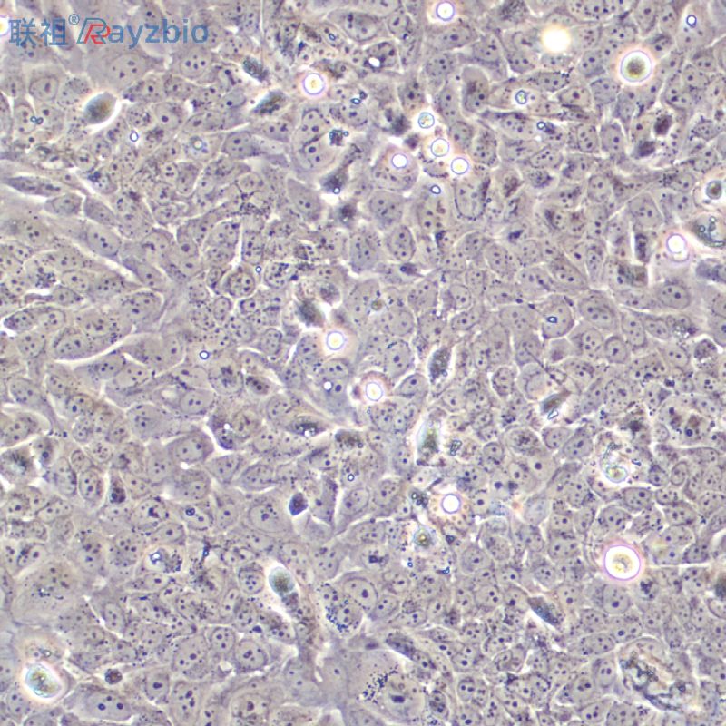
KGN细胞专用培养基由团队精心优化,经过长期测试,本产品可保持KGN细胞最佳的生长状态。
本产品中已包含 KGN 细胞生长所需的各种成分,无需添加任何成分,可直接用于KGN细胞的培养。
产品主要成分
DMEM/F12 基础培养基 445 ml
特级胎牛血清 50 ml
P/S青霉素-链霉素 5 ml
运输和保存
运输:放置于含有生物冰袋的保温箱中低温运输
保存方法:2℃~8℃,避光,保存1个月;-20℃,避光,保存3个月。
干冰运输及复苏好存活细胞
(1)1mL冻存管包装干冰运输,收到后-80度冰箱保存过夜后转入液氮或直接复苏,若发现干冰已挥发干净、冻存管瓶盖脱落、破损及细胞有污染,请立即与我们联系。
(2)T25瓶复苏的存活细胞常温发货,收到后按照细胞接收后的处理方法操作。
| phospho-Proteasome 20S beta 7(Ser214): 0酸化蛋白酶体PSMβ7抗体 0.2ml | BMPR-1A(Bone Morphogenetic protein Receptor-1A) 骨成型蛋白受体1A抗原Multi-class antibodies规格: 0.5mg |
| Anti-GDNF/FITC 荧光素标记胶质细胞源性神经营养因子抗体IgGMulti-class antibodies规格: 0.2ml | CST1 Others Human 人 CST1 / Cystatin-1 / Cystatin-SN 人细胞裂解液 (阳性对照) |
| PTHrP ELISA Kit 大鼠甲状旁腺激素相关蛋白 96T | VCL Others Mouse 小鼠 VCL / Vinculin 人细胞裂解液 (阳性对照) |
| Rhesus antibody Rh IgM/Cy3 Cy3标记的兔抗鸡IgM 规格 0.1ml | HEPACAM2 Others Rat 大鼠 HepaCAM2 人细胞裂解液 (阳性对照) |
| CRABP2: 细胞维结合蛋白2抗体 0.1ml | MAPK1 Others Mouse 小鼠 ERK2 / MAPK1 / MAPK2 杆状病毒-昆虫细胞裂解液 (阳性对照) |
| Rhesus antibody Rh C1orf41/HSB11 1号染色体开放阅读框41抗体 规格 0.2ml | 人雪旺细胞 ( HSC) ( 5×105 ) 小鼠神经干细胞 Mouse |
| RANTES/CCL5(Mouse regulated on activation in normal T-cell expressed and secreted) ELISA Kit 小鼠正常T细胞表达和分泌因子Multi-class antibodies规格: 48T | FCN1 Others Human 人 Ficolin-1 / Ficolin-A / FCN1 人细胞裂解液 (阳性对照) |
| Doppel: 朊蛋白DPL抗体 0.2ml | HPAEC Pellet 人肺动脉内皮细胞团块 > 1 mio.cells 心肌细胞生长添加物CMGS |
| Anti-Integrin beta 1/CD29 整合素β1抗体Multi-class antibodies规格: 0.1ml | CD99 Others Mouse 小鼠 CD99 / PILR1 人细胞裂解液 (阳性对照) |
| Anti-CGRP/FITC 荧光素标记降钙素基因相关肽抗体IgGMulti-class antibodies规格: 0.2ml | KYSE150 食管鳞癌 |
| ATAD5: 染色体脆弱性相关基因抗体 0.2ml | 人脂肪间充质干细胞HMSC-ad |
| 周期素依赖性激酶4抗体 Anti-CDK4 0.1ml | U-87 MG人脑星形胶质母细胞瘤 U-87 MG of brain asocytic blastoma DMEM+10% FBS |
| KGN 细胞专用培养基Rhesus antibody Rh HEPACAM 肝细胞粘附分子抗体 规格 0.2ml | 人无色素睫状上皮细胞总RNAHNPCEpiC NA |
| Beta-Amyloid (1-42) β淀粉样肽(1-42) 0.1mg | 淋巴成纤维细胞Many types of cells包装:5 × 105次方(1ml) |
| lysozyme: 溶菌酶抗体 0.1ml | 人胚肺成纤维细胞;WI-38 [WI38] |
风险提示:丁香通仅作为第三方平台,为商家信息发布提供平台空间。用户咨询产品时请注意保护个人信息及财产安全,合理判断,谨慎选购商品,商家和用户对交易行为负责。对于医疗器械类产品,请先查证核实企业经营资质和医疗器械产品注册证情况。
文献和实验相关实验
树突状细胞培养操作步骤 准备补充剂 将补充剂混合物在 15~25℃ 解冻。在无菌条件下用移液枪小心地将补充剂混合物混匀。然后,把补充剂混合物全部加到基础培养基中。盖上瓶子,轻轻混匀直到形成均一的混合物。DC生成培养基所附带的相应的细胞因子组合包含有成分A和B,它们都是以100X 的原液状态运输的。 注意:此时不要将化合物B加入培养基中。 DC基础培养基不带细胞因子,因此使用时必须另外自行添加。 新鲜分离的单核 DC 细胞的传代 对于新鲜分离自外
细胞培养的基本步骤都有哪些?复苏、传代、冻存的基本操作是什么样的?如果你刚刚开始细胞培养实验,想要建立稳定的细胞培养流程,快来听Dr. 赛的讲解吧。
PromoCell MSC分化培养操作步骤 一、向神经细胞分化的操作流程 1、将塑料培养器用纤维连接蛋白包被根据操作手册,用纤维连接蛋白(C-43050)包被合适的组织培养瓶。使用浓度为10μg/ml。2、接种间充质干细胞用MSC生长培养基(C-28010)在用纤维连接蛋白包被过的培养瓶中接种培养,接种密度为4000个/cm2。3、培养间充质干细胞将细胞培养至80%的饱和度,每48小时更换一次培养基。4、诱导间充质干细胞用MSCU经细胞分化培养基(C-28015)诱导培养,用MSC
技术资料暂无技术资料 索取技术资料
KGN 细胞专用培养基
¥3000 - 6900









