相关产品推荐更多 >
万千商家帮你免费找货
0 人在求购买到急需产品
- 详细信息
- 技术资料
- 供应商:
上海联祖
- 库存:
28
- 规格:
1*125ml 500ml
| 产品名称 | 规格 | 货号 |
| CW2 细胞专用培养基 | 1*125ml 500ml | LZ-PX10906 |
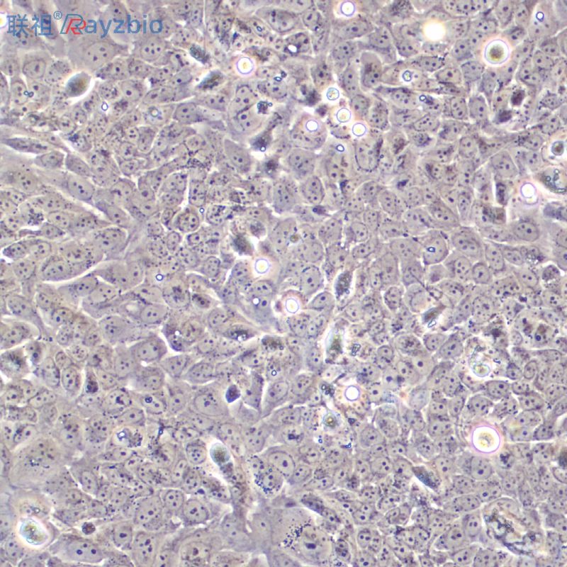
CW-2细胞专用培养基由团队精心优化,经过长期测试,本产品可保持CW-2细胞最佳的生长状态。
本产品中已包含CW-2 细胞生长所需的各种成分,无需添加任何成分,可直接用于CW-2 细胞的培养。
产品主要成分
1640 基础培养基 445 ml
特级胎牛血清 50 mL
P/S青霉素-链霉素 5 mL
运输和保存
运输:放置于含有生物冰袋的保温箱中低温运输
保存方法:2℃~8℃,避光,保存2个月;-20℃,避光,保存6个月。
干冰运输及复苏好存活细胞
(1)1mL冻存管包装干冰运输,收到后-80度冰箱保存过夜后转入液氮或直接复苏,若发现干冰已挥发干净、冻存管瓶盖脱落、破损及细胞有污染,请立即与我们联系。
(2)T25瓶复苏的存活细胞常温发货,收到后按照细胞接收后的处理方法操作。
| RBM20: RNA结合蛋白20抗体 0.1ml | ERAB 内质网Aβ相关结合蛋白(抗原)Multi-class antibodies规格: 0.5mg |
| Anti-G Protein/FITC 荧光素标记G蛋白/鸟苷酸结合蛋白抗体IgGMulti-class antibodies规格: 0.2ml | ROBO4 Others Human 人 ROBO4 人细胞裂解液 (阳性对照) |
| TCC C5b-9 ELISA Kit 大鼠末端补体复合物C5b-9 96T | NRP2 Others Human 人 Neuropilin 2 / NRP2 人细胞裂解液 (阳性对照) |
| Rhesus antibody Rh IgM/Alexa Fluor 488 Alexa Fluor 488标记的兔抗IgM 规格 0.1ml | CD24 Others Mouse 小鼠 CD24 / Ly-52 / CD24A 人细胞裂解液 (阳性对照) |
| Cyclin E: 周期素E抗体 0.1ml | PROK1 Others Human 人 EG-VEGF / prokineticin-1 杆状病毒-昆虫细胞裂解液 (阳性对照) |
| Rhesus antibody Rh C15orf41 15号染色体开放阅读框41抗体 规格 0.2ml | 人小气管上皮细胞(HSAEpiC)(5×105 ) MN-s, 小鼠纹状体神经元 Mouse |
| ICA(Mouse islet cell antibody) ELISA KIT 小鼠胰岛细胞抗体Multi-class antibodies规格: 48T | IL18R1 Others Mouse 小鼠 IL-18R1 人细胞裂解液 (阳性对照) |
| Fbx15: Fbx15蛋白抗体 0.2ml | HWP subcutaneous Pellet 人类皮下白前脂肪细胞团块 > 1 mio.cells 人少突胶质前体细胞(悬浮生长)总RNAHOPC-os NA |
| Anti-KLK9 激肽释放酶9抗体Multi-class antibodies规格: 0.2ml | CST2 Others Human 人 CST2 / Cystatin-2 / Cystatin-SA 人细胞裂解液 (阳性对照) |
| Anti-CLEC-1/CLEC1A/FITC 荧光素标记C型凝集素结构域家族1成员A抗体IgGMulti-class antibodies规格: 0.2ml | MSTO-211H 人肺癌细胞株 |
| A2LD1: A2LD1蛋白抗体 0.2ml | 肾动脉平滑肌细胞Many types of cells包装:5 × 105次方(1ml) |
| 钙结合蛋白抗体 Anti-CR 0.2ml | 狗骨髓间质干细胞 The dog bone marrow mesenchymal stem cells |
| CW2 细胞专用培养基Rhesus antibody Rh HCMV UL49 人巨细胞病毒UL49蛋白抗体 规格 0.1ml | 人神经细胞裂解物HNL |
| IgG/Gold 胶体金标记的驴抗兔IgG 0.5ml | MN-h, 小鼠海马神经元 |
| GNRH: 黄体激素释放激素类似物抗体 0.1ml | 人羊膜上皮细胞cDNAHAmEpiC cDNA |
风险提示:丁香通仅作为第三方平台,为商家信息发布提供平台空间。用户咨询产品时请注意保护个人信息及财产安全,合理判断,谨慎选购商品,商家和用户对交易行为负责。对于医疗器械类产品,请先查证核实企业经营资质和医疗器械产品注册证情况。
技术资料暂无技术资料 索取技术资料
CW2 细胞专用培养基
¥3000 - 6900









