相关产品推荐更多 >
万千商家帮你免费找货
0 人在求购买到急需产品
- 详细信息
- 文献和实验
- 技术资料
- 供应商:
上海联祖
- 库存:
36
- 规格:
1*125ml 500ml
| 产品名称 | 规格 | 货号 |
| HCC-LM3 细胞专用培养基 | 1*125ml 500ml | LZ-PX10953 |
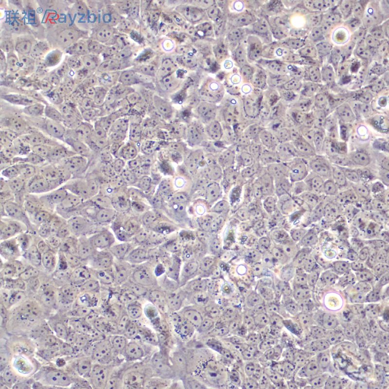
HCC-LM3细胞专用培养基由团队精心优化,经过长期测试,本产品可保持HCC-LM3细胞最佳的生长状态。
本产品中已包含HCC-LM3细胞生长所需的各种成分,无需添加任何成分,可直接用于细胞的培养。
产品主要成分
DMEM 基础培养基 445 ml
特级胎牛血清 50 ml
P/S青霉素-链霉素 5 ml
运输和保存
运输:放置于含有生物冰袋的保温箱中低温运输
保存方法:2℃~8℃,避光,保存2个月;-20℃,避光,保存6个月。
干冰运输及复苏好存活细胞
(1)1mL冻存管包装干冰运输,收到后-80度冰箱保存过夜后转入液氮或直接复苏,若发现干冰已挥发干净、冻存管瓶盖脱落、破损及细胞有污染,请立即与我们联系。
(2)T25瓶复苏的存活细胞常温发货,收到后按照细胞接收后的处理方法操作。
| E2/UBCE(Human E2/ubiquitin-conjugating enzyme) ELISA Kit 人泛素结合酶 96T | Rhesus antibody Rh phospho-LKB1(Ser334) 0酸化丝氨酸/苏氨酸蛋白激酶抗体 规格 0.1ml |
| Rhesus antibody Rh TPO/Thrombopoietin 血小板生成素抗体(巨核细胞集落刺激因子) 规格 0.1ml | NRK 大鼠肾细胞 |
| Anti-phospho-p38MAPK/MAPK14 (pThr180/pTyr182) 0酸化p38MAPK抗体Multi-class antibodies规格: 0.1ml | CM-H130人视网膜微血管内皮细胞完全培养基100mL |
| Anti-MAPK4/FITC 荧光素标记原活化蛋白激酶4抗体IgGMulti-class antibodies规格: 0.2ml | 人神经小胶质细胞完全培养基 100mL |
| BetaGD(Human Beta-glucuronidase) ELISA Kit 人β葡萄糖醛酸苷酶Multi-class antibodies规格: 48T | CL-0340GH3(大鼠垂体瘤细胞)5×106cells/瓶×2 |
| Histone H2B.s: 组蛋白H2B.s抗体 0.2ml | 二氢叶酸还原酶缺陷型中国仓鼠卵巢细胞;CHO/dhFr- |
| Rhesus antibody Rh Dynamitin/DCTN2 动力蛋白激活蛋白2抗体 规格 0.2ml | MLF, 小鼠淋巴成纤维细胞 |
| SV2B: 突触泡蛋白2B抗体 0.2ml | CM-M060小鼠肾动脉内皮细胞完全培养基100mL |
| CCDCA: 卷曲螺旋结构域蛋白A抗体 0.2ml | 人肺动脉成纤维细胞HPAF |
| Rhesus antibody Rh CCL14/HCC-1 嗜酸粒细胞趋化蛋白14抗体 规格 0.2ml | LGALS1 Protein Human 重组人 Galectin-1 / LGALS1 蛋白 |
| 17-KS ELISA Kit 大鼠17-酮类固醇Multi-class antibodies规格: 48T | 非洲绿猴肾细胞;BS-C-1 |
| FAM172A: FAM172A蛋白抗体 0.1ml | ANGPTL7 Protein Cynomolgus 重组食蟹猴 ANGPTL7 / Angiopoietin-like 7 蛋白 (His 标签) |
| HCC-LM3 细胞专用培养基PADI4: 关节炎相关基因抗体 0.2ml | EB病毒转化的人B淋巴细胞;KM9402 |
| Anti-SIAH2/FITC 荧光素标记泛素连接酶Siah2抗体IgGMulti-class antibodies规格: 0.2ml | Pt K1 (NBL-3)袋鼠肾细胞 Pt K1 (NBL-3) kangaroo kidney cells MEM培养基(GIBCO)+10%FBS |
| Mouse IgG/PE-Cy3 荧光素PE-Cy3标记小鼠IgG(细胞流式同型对照) 0.1ml | TE-10细胞,食管癌细胞 人食管癌细胞,TE-10细胞 叙利亚仓鼠肾细胞;BHK-21 |
风险提示:丁香通仅作为第三方平台,为商家信息发布提供平台空间。用户咨询产品时请注意保护个人信息及财产安全,合理判断,谨慎选购商品,商家和用户对交易行为负责。对于医疗器械类产品,请先查证核实企业经营资质和医疗器械产品注册证情况。
文献和实验树突状细胞培养操作步骤 准备补充剂 将补充剂混合物在 15~25℃ 解冻。在无菌条件下用移液枪小心地将补充剂混合物混匀。然后,把补充剂混合物全部加到基础培养基中。盖上瓶子,轻轻混匀直到形成均一的混合物。DC生成培养基所附带的相应的细胞因子组合包含有成分A和B,它们都是以100X 的原液状态运输的。 注意:此时不要将化合物B加入培养基中。 DC基础培养基不带细胞因子,因此使用时必须另外自行添加。 新鲜分离的单核 DC 细胞的传代 对于新鲜分离自外
Direct DNA Injection (p53) into HCC Tumors
Liver tumors, specially HCC, are among the most common malignancies in the world, and their annual world incidence is about 250,000 cases, with a male to female ratio 4:1 (1 ). HCC is one of the most important neoplasms in tropical
细胞培养的基本步骤都有哪些?复苏、传代、冻存的基本操作是什么样的?如果你刚刚开始细胞培养实验,想要建立稳定的细胞培养流程,快来听Dr. 赛的讲解吧。
技术资料暂无技术资料 索取技术资料









