相关产品推荐更多 >
万千商家帮你免费找货
0 人在求购买到急需产品
- 详细信息
- 文献和实验
- 技术资料
- 供应商:
上海联祖
- 库存:
48
- 规格:
1*125ml 500ml
| 产品名称 | 规格 | 货号 |
| AGS 细胞专用培养基 | 1*125ml 500ml | LZ-PX10848 |
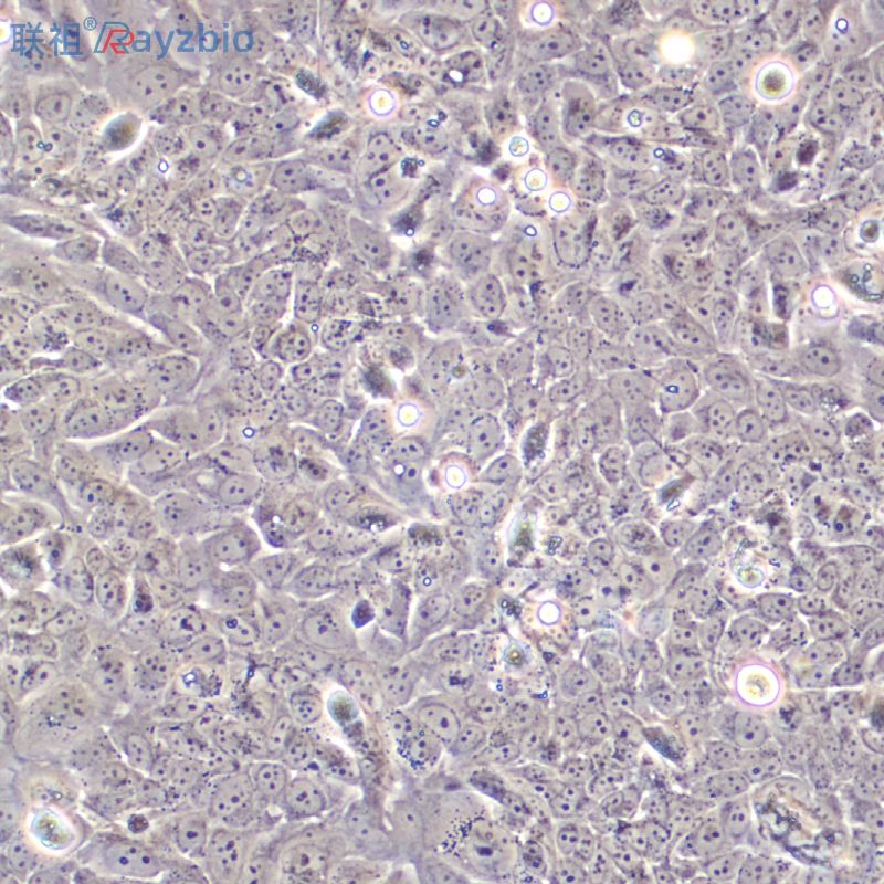
AGS 细胞专用培养基由团队精心优化,经过长期测试,本产品可保持AGS 细胞最佳的生长状态。本产品中已包含AGS 细胞生长所需的各种成分,无需添加任何成分,可直接用于AGS 细胞的培养。
产品主要成分
F12K基础培养基 445 mL
特级胎牛血清 50 mL
P/S青霉素-链霉素 5 mL
运输和保存
运输:放置于含有生物冰袋的保温箱中低温运输
保存方法:2℃~8℃,避光,保存2个月;-20℃,避光,保存6个月。
干冰运输及复苏好存活细胞
(1)1mL冻存管包装干冰运输,收到后-80度冰箱保存过夜后转入液氮或直接复苏,若发现干冰已挥发干净、冻存管瓶盖脱落、破损及细胞有污染,请立即与我们联系。
(2)T25瓶复苏的存活细胞常温发货,收到后按照细胞接收后的处理方法操作。
| TLa(Human thymus-leukemia antigen) ELISA Kit 人胸腺白血病抗原Multi-class antibodies规格: 48T | eIF2C2: 真核翻译起始因子2C2抗体 0.2ml |
| IGFBP7: 胰岛素样生长因子结合蛋白7抗体 0.2ml | 成纤维细胞培养基FM-acf-prf |
| Rhesus antibody Rh Glutaredoxin 1 谷氧还蛋白/巯基转移酶抗体 规格 0.2ml | 猪肾传代细胞;IBRS-2 |
| IgM/Alexa Fluor 488 Alexa Fluor 488标记的兔抗IgM 0.1ml | 人胚肺成纤维细胞;WI-38 [WI38] |
| GP(Human anti-glycoprotein antibody) ELISA Kit 人抗糖蛋白抗体 96T | 大鼠纤维母细胞;1/EJ 1-1 |
| Rhesus antibody Rh RNF23 环指蛋白23抗体 规格 0.2ml | 小鼠表皮黑色素细胞完全培养基 100mL |
| Anti-CD40L /FITC 荧光素标记抗CD40L抗体IgGMulti-class antibodies规格: 0.2ml | tTA基因修饰的小鼠胰腺癌细胞(B类);Pan02-CAG-tTA-4B3 |
| Anti-Syntrophins/SNTA1/Syntrophin α1/FITC 荧光素标记神经肌肉接头蛋白SNTA1抗体IgGMulti-class antibodies规格: 0.2ml | 人肺微血管内皮细胞总RNAHPMEC NA |
| Pumilio 1: PUM1蛋白抗体 0.2ml | 人癌细胞;MDA-MB-468 |
| Anti-Integrin- Alpha V/CD49e /FITC 荧光素标记整合素αV抗体IgGMulti-class antibodies规格: 0.2ml | HeLa人细胞 Human cervix cancer HeLa cells DMEM+10% FBS |
| VEGF-D(Human Vascular Endothelial cell Growth Factor D) ELISA KIT 人血管内皮细胞生长因子D 96T | BLO-11细胞,小鼠骨骼成纤维细胞 人肾癌Wilms细胞,G401细胞 人膀胱平滑肌细胞HBdSMC |
| Rhesus antibody Rh Phospho-YAP1(Tyr407) 0酸化原癌基因Yes相关蛋白1抗体 规格 0.1ml | ECV-304细胞,人脐静脉内皮细胞 铜绿假单胞杆菌(绿脓杆菌) 人真皮成纤维细胞-总RNAHDF-a NA |
| AGS 细胞专用培养基BMP8b: 骨形态发生蛋白8b抗体 0.2ml | 兔肾细胞;RK-13 白血病细胞,KG-1细胞 MFC-GFP细胞,绿色荧光蛋白标记小鼠前胃癌细胞 |
| Rhesus antibody Rh ART5 二0酸腺苷核糖基转移酶5抗体 规格 0.2ml | 干扰素 |
| Plant Gibberellic Acid,GA ELISA Kit 植物赤霉素Multi-class antibodies规格: 48T | 正常小鼠Sertoli细胞;TM4 |
风险提示:丁香通仅作为第三方平台,为商家信息发布提供平台空间。用户咨询产品时请注意保护个人信息及财产安全,合理判断,谨慎选购商品,商家和用户对交易行为负责。对于医疗器械类产品,请先查证核实企业经营资质和医疗器械产品注册证情况。
文献和实验相关实验
树突状细胞培养操作步骤 准备补充剂 将补充剂混合物在 15~25℃ 解冻。在无菌条件下用移液枪小心地将补充剂混合物混匀。然后,把补充剂混合物全部加到基础培养基中。盖上瓶子,轻轻混匀直到形成均一的混合物。DC生成培养基所附带的相应的细胞因子组合包含有成分A和B,它们都是以100X 的原液状态运输的。 注意:此时不要将化合物B加入培养基中。 DC基础培养基不带细胞因子,因此使用时必须另外自行添加。 新鲜分离的单核 DC 细胞的传代 对于新鲜分离自外
细胞培养的基本步骤都有哪些?复苏、传代、冻存的基本操作是什么样的?如果你刚刚开始细胞培养实验,想要建立稳定的细胞培养流程,快来听Dr. 赛的讲解吧。
PromoCell MSC分化培养操作步骤 一、向神经细胞分化的操作流程 1、将塑料培养器用纤维连接蛋白包被根据操作手册,用纤维连接蛋白(C-43050)包被合适的组织培养瓶。使用浓度为10μg/ml。2、接种间充质干细胞用MSC生长培养基(C-28010)在用纤维连接蛋白包被过的培养瓶中接种培养,接种密度为4000个/cm2。3、培养间充质干细胞将细胞培养至80%的饱和度,每48小时更换一次培养基。4、诱导间充质干细胞用MSCU经细胞分化培养基(C-28015)诱导培养,用MSC
技术资料暂无技术资料 索取技术资料
AGS 细胞专用培养基
¥3000 - 6900










