相关产品推荐更多 >
万千商家帮你免费找货
0 人在求购买到急需产品
- 详细信息
- 技术资料
- 供应商:
上海联祖
- 库存:
39
- 规格:
1*125ml 500ml
| 产品名称 | 规格 | 货号 |
| HBL-100 细胞专用培养基 | 1*125ml 500ml | LZ-PX10917 |
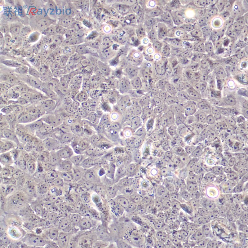
HBL-100细胞专用培养基由团队精心优化,经过长期测试,本产品可保持HBL-100细胞最佳的生长状态。
本产品中已包含HBL-100细胞生长所需的各种成分,无需添加任何成分,可直接用于细胞的培养。
产品主要成分
DMEM 基础培养基 445 ml
特级胎牛血清 50 ml
P/S青霉素-链霉素 5 ml
运输和保存
运输:放置于含有生物冰袋的保温箱中低温运输
保存方法:2℃~8℃,避光,保存2个月;-20℃,避光,保存6个月。
干冰运输及复苏好存活细胞
(1)1mL冻存管包装干冰运输,收到后-80度冰箱保存过夜后转入液氮或直接复苏,若发现干冰已挥发干净、冻存管瓶盖脱落、破损及细胞有污染,请立即与我们联系。
(2)T25瓶复苏的存活细胞常温发货,收到后按照细胞接收后的处理方法操作。
| GSTs(Human glutathione S-transferases) ELISA Kit 人谷胱甘肽S转移酶 96T | Rhesus antibody Rh Phospho-LRP6(Thr1479) 0酸化低密度脂蛋白受体相关蛋白6抗体 规格 0.1ml |
| Rhesus antibody Rh TPD52/Prostate and colon associated protein 前列腺癌和结肠癌相关蛋白 规格 0.2ml | rCF, 大鼠心脏成纤维细胞 |
| Anti-CD99/E2 antigen CD99抗体Multi-class antibodies规格: 0.2ml | 猕猴皮肤细胞;MMS7 |
| Anti-Phospho-SEK1/MKK4 (Ser80)/FITC 荧光素标记0酸化原活化蛋白激酶激酶4抗体IgGMulti-class antibodies规格: 0.2ml | CXCL10 Protein Human 重组人 CXCL10 / Crg-2 蛋白 |
| Alpha2-AP(Human Alpha2-Antiplasmin) ELISA Kit 人α2抗纤溶酶Multi-class antibodies规格: 48T | 人骨肉瘤细胞;U-2 OS [U2OS;U2-OS;U-2OS] |
| HIV p55+NP7: 艾滋病病毒抗体 0.2ml | EC9706人食管癌细胞 Human esophageal cancer cell line EC9706. DMEM+10%FBS |
| Rhesus antibody Rh dUTPase 脱氧尿嘧啶三0酸核苷水解酶抗体 规格 0.1ml | LLC-MK2细胞,恒河猴肾细胞 人结肠癌转基因细胞,RKO-E6细胞 CM-H117人脑静脉血管内皮细胞完全培养基100mL |
| SULT2A1: 胆盐磺基转移酶 0.1ml | AAV-293细胞,人人胚肾细胞 大鼠心肌细胞,H9c2(2-1)细胞 CL-0332Dami(人巨核细胞白血病细胞)5×106cells/瓶×2 |
| CCDC39: 卷曲螺旋结构域蛋白39抗体 0.2ml | 小鼠Lewis肺癌瘤株;LLT 小鼠前脂肪细胞完全培养基 100mL |
| Rhesus antibody Rh CCDC98 卷曲螺旋结构域蛋白98抗体 规格 0.2ml | 人上皮细胞(HMEpiC) (5×105) THP-1人单核白血病细胞 Human |
| LEP ELISA kit 大鼠瘦素Multi-class antibodies规格: 48T | HAVCR2 Others Human 人 TIMD3 / TIM3 / HAVCR2 人细胞裂解液 (阳性对照) |
| FARSLA/CML33: 慢性粒细胞白血病33抗体 0.2ml | BT-474(人导管癌细胞) 5×106cells/瓶×2 CM-M085小鼠表皮角化细胞完全培养基100mL 人Burkkit淋巴瘤细胞;Daudi |
| HBL-100 细胞专用培养基PDGFBB: 血小板源性生长因子BB抗体 0.1ml | HYOU1 Others Human 人 HYOU1 / HSP12A 人细胞裂解液 (阳性对照) |
| Anti-phospho-PKC delta (Tyr311)/FITC 荧光素标记0酸化蛋白激酶C亚性D型抗体IgGMulti-class antibodies规格: 0.2ml | EPHA4 Others Rat 大鼠 EphA4 人细胞裂解液 (阳性对照) |
| KLH/FITC 荧光素标记血蓝蛋白 0.3ml | CCL20 Others Mouse 小鼠 CCL20 / MIP-3 alpha 杆状病毒-昆虫细胞裂解液 (阳性对照) |
风险提示:丁香通仅作为第三方平台,为商家信息发布提供平台空间。用户咨询产品时请注意保护个人信息及财产安全,合理判断,谨慎选购商品,商家和用户对交易行为负责。对于医疗器械类产品,请先查证核实企业经营资质和医疗器械产品注册证情况。
技术资料暂无技术资料 索取技术资料
HBL-100 细胞专用培养基
¥3000 - 6900









