相关产品推荐更多 >
万千商家帮你免费找货
0 人在求购买到急需产品
- 详细信息
- 文献和实验
- 技术资料
- 供应商:
上海联祖
- 库存:
39
- 规格:
1*125ml 500ml
| 产品名称 | 规格 | 货号 |
| A549+RFP 细胞专用培养基 | 1*125ml 500ml | LZ-PX10686 |
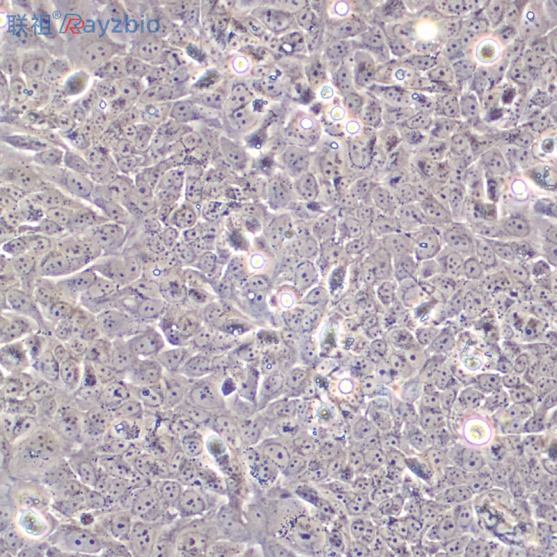
A549+RFP 细胞专用培养基由团队精心优化,经过长期测试,本产品可保持A549+RFP细胞最佳的生长状态。
本产品中已包含A549+RFP 细胞生长所需的各种成分,无需添加任何成分,可直接用于A549+RFP 细胞的培养。
产品主要成分
F12K 基础培养基 445 mL
特级胎牛血清 50 mL
P/S青霉素-链霉素 5 mL
运输和保存
运输:放置于含有生物冰袋的保温箱中低温运输
保存方法:2℃~8℃,避光,保存2个月;-20℃,避光,保存6个月。
干冰运输及复苏好存活细胞
(1)1mL冻存管包装干冰运输,收到后-80度冰箱保存过夜后转入液氮或直接复苏,若发现干冰已挥发干净、冻存管瓶盖脱落、破损及细胞有污染,请立即与我们联系。
(2)T25瓶复苏的存活细胞常温发货,收到后按照细胞接收后的处理方法操作。
| 1,3- BetaD-Glu(Human 1,3- BetaD glucosidase) ELISA Kit 人1,3-βD葡葡糖苷酶 96T | Rhesus antibody Rh phospho-IKK beta(Ser740) 0酸化KB抑制蛋白激酶β抗体 规格 0.1ml |
| Rhesus antibody Rh TNFAIP3 interacting protein 3/ABIN3 坏死因子α诱导相互作用蛋白3抗体 规格 0.2ml | 人肾脏上皮细胞HREpiC |
| Anti-HVEM/TNFRSF14 坏死因子受体超家族成员14抗体Multi-class antibodies规格: 0.2ml | 小鼠诱导性多潜能干细胞;PUMC-mips-B5 |
| Anti-Megsin/SER—PINB7 /FITC 荧光素标记丝氨酸(或半胱氨酸)蛋白酶抑制剂B7抗体IgGMulti-class antibodies规格: 0.2ml | 人真皮成纤维细胞-胎儿总RNAHDF-f NA |
| ALK(Human anapastic lymphoma kinase) ELISA Kit 人间变性淋巴瘤激酶Multi-class antibodies规格: 48T | 绿色荧光蛋白标记人胃癌细胞;MGC803-GFP |
| Hepatitis C Virus NS5a: 丙型肝炎病毒NS5A抗体 0.1ml | 中性蛋白酶(含10mL酶解缓冲液) 1mL |
| Rhesus antibody Rh DPP9/DPRP2 二肽基肽酶9抗体 规格 0.2ml | 人神经母细胞瘤细胞;BE(2)-M17 |
| STAC: STAC1蛋白抗体 0.2ml | 人气管上皮细胞裂解物HTEpiCL |
| Calcipressin 1/DSCR 1: 钙调神经0酸酶调节蛋白1抗体(唐氏综合征候选区域蛋白1样蛋白1) 0.1ml | 人类成纤维细胞系;CNLMG-B5537SKIN |
| Rhesus antibody Rh CCDC40 卷曲螺旋结构域蛋白40抗体 规格 0.2ml | CCD-1095Sk人浸润性导管癌旁皮肤细胞 CCD-1095Sk human breast infilating duct carcinoma adjace skin cells MEM培养基(GIBCO)+10%FBS |
| sTRAIL ELISA Kit 大鼠可溶性坏死因子相关凋亡诱导配体Multi-class antibodies规格: 48T | 293001B细胞,Sars蛋白表达株 人导管癌细胞,MDA-MB-453细胞 口腔角质细胞培养基OKM-prf |
| FOXB1: 叉头蛋白B1抗体 0.2ml | BE(2)-M17细胞,人神经母细胞瘤细胞 寄生曲霉 293来源病毒包装细胞;ΦA |
| A549+RFP 细胞专用培养基Plexin A2: 神经丛蛋白A2抗体 0.1ml | 猪胚胎传代细胞;ST 子细胞,SiHa细胞 B22细胞,KM小鼠未分化神经胶质瘤瘤株 |
| Anti-PMP-22/FITC 荧光素标记外周髓鞘蛋白-22IgGMulti-class antibodies规格: 0.2ml | IFNA4 Protein Human 重组人 IFNα4 / IFNa4 / Ierferon alpha-4 蛋白 (His 标签) |
| PRRSV M protein 猪蓝耳病病毒M蛋白 0.5mg | 小鼠T淋巴瘤细胞(鸡OVA基因修饰);E.G7-OVA |
风险提示:丁香通仅作为第三方平台,为商家信息发布提供平台空间。用户咨询产品时请注意保护个人信息及财产安全,合理判断,谨慎选购商品,商家和用户对交易行为负责。对于医疗器械类产品,请先查证核实企业经营资质和医疗器械产品注册证情况。
文献和实验体,后续培养后收集的细胞上清中的外泌体不确定是从细胞分泌的还是血清中来的,影响结果的准确性。 2. 营养:细胞培养是需要一定的营养的,那么如果不加血清,单独只用基础培养基,就会导致细胞处于饥饿状态,严重影响细胞生长,甚至出现吞噬外泌体的现象,影响实验结果。 3. 杂蛋白:去外泌体胎牛血清可以很好地解决 1、2 中涉及的问题,但还会存在杂蛋白影响蛋白定量结果,导致数据偏高,影响后续实验的准确性。如果使用外泌体专用无血清培养基(专门针对外泌体获取的培养基,化学成分明确,类似于完全培养基的一种
树突状细胞培养操作步骤 准备补充剂 将补充剂混合物在 15~25℃ 解冻。在无菌条件下用移液枪小心地将补充剂混合物混匀。然后,把补充剂混合物全部加到基础培养基中。盖上瓶子,轻轻混匀直到形成均一的混合物。DC生成培养基所附带的相应的细胞因子组合包含有成分A和B,它们都是以100X 的原液状态运输的。 注意:此时不要将化合物B加入培养基中。 DC基础培养基不带细胞因子,因此使用时必须另外自行添加。 新鲜分离的单核 DC 细胞的传代 对于新鲜分离自外
我也在养A549细胞,也来讲讲自己的经验,希望大家共同学习。我们主要是看细胞的密度,大概有80-90%铺满培养瓶底就可以传代了,时间长短不一,大概有5-7天吧,一瓶一般传3-4瓶,中间一般会有一次换液的。培养基用的是1640+10%的小牛血清+200u/ml庆大霉素。传代时先倒掉就培养基,然后用PBS洗一两次,然后再用0.25%胰酶消化(100ml培养瓶盖住表面大概要两滴管左右),可镜经下观察细胞间已出现细胞胞质回缩变圆,缝隙变大(我的细胞大概要2min左右),即可倒去消化液,加入培养基,吹打细胞
技术资料暂无技术资料 索取技术资料










