万千商家帮你免费找货
0 人在求购买到急需产品
- 详细信息
- 文献和实验
- 技术资料
- 供应商:
上海联祖
- 库存:
30
- 生长状态:
贴壁生长
- 是否是肿瘤细胞:
否
- 规格:
T25培养瓶
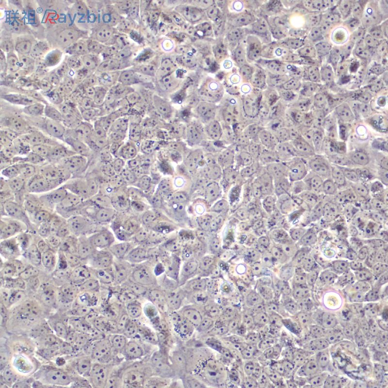
| 细胞名称 | 大鼠宫颈上皮细胞 |
| 货号 | LZ-YX10041 |
| 规格 | T25培养瓶 |
| 培养条件 | 温度:37℃ |
| 种属 | 大鼠原代细胞 |
| 运输 | 常温 |
公司正在出售的产品:
| 人肾透明细胞腺癌细胞;786-O [786-0] | 蚊子幼虫体细胞;Aedes albopictus clone C6/36 人肺癌细胞,NCI-H1299细胞 A-431(表皮癌细胞) |
| U-2 OS细胞,骨肉瘤细胞 人二倍体细胞系,KMB-17细胞 小鼠胚胎成纤维细胞;NIH/3T3 | RecQ解旋酶样蛋白5抗体 |
| HFL1(人肺成纤维细胞) 5×106cells/瓶×2 CL-0466WI38/VA13(SV-40Z转化肺成纤维细胞)5×106cells/瓶×2 人张氏肝细胞;Chang liver | 酸神经膜抗体 |
| 肝实质细胞Many types of cells包装:5 × 105次方(1ml) | 骨形态发生抑制蛋白SOST抗体 |
| 口腔角质细胞生长添加物OKGS | 细胞分裂周期蛋白5样蛋白抗体 |
| EB病毒转化的人B淋巴细胞;KMY0910 | 蛋白激酶A锚定蛋白7抗体 |
| CL-0202Saos-2(人骨肉瘤细胞)5×106cells/瓶×2 | 神经钙传感蛋白1抗体 |
| 人绒毛间充质成纤维细胞HVMF | 抗重组胰岛素抗体 |
| CM-R054大鼠子宫成纤维细胞完全培养基100mL | 抑癌蛋白DLP1抗体 |
| 脐动脉内皮细胞Many types of cells包装:5 × 105次方(1ml) | 白细胞介素-2单克隆抗体 |
| IR983F(大鼠骨髓瘤细胞) 5×106cells/瓶×2 | 胚胎外胚层发育蛋白EED抗体 |
| JEG-3-VP16-TNFa细胞,TNFa转染耐VP16绒癌细胞 兔角膜前基质层成纤维细胞,RCFBF细胞 人微血管内皮细胞HMMEC | 肌营养蛋白α抗体 |
| 大鼠宫颈上皮细胞仓鼠/小鼠杂交瘤细胞;145-2C11 | 锌指蛋白342抗体 |
| BPH-1, 人前列腺增生细胞 B淋巴细胞,XJH细胞 PLC/PRF/5(人肝癌细胞) | 肥大细胞羧肽酶A3抗体 |
| 人低分化肺腺癌细胞;GLC-82 [GLC82] | 四分子交联体13抗体(四旋蛋白) |
注意事项:
1.收到细胞后,若发现干冰已挥发干净、冻存管瓶盖脱落、破损及细胞有污染,请立即与我们系。
2.收到细胞先不开瓶盖,瓶身擦拭酒精后放在培养箱静置2-4小时(视细胞密度而定)稳定细胞状态。接着在倒置显微镜下观察细胞生长情况,并对细胞进行不同倍数拍照(建议收细胞时就整体外观拍一张照片,观察培养基的颜色和是否有漏液情况,随后在显微镜下拍下细胞状态,100*,200*各一张),观察记录细胞在运输过程中是否有污染情况。作为我方进行销售依据。
3.由于细胞状态受环境、操作和运输等多方面因素影响,故本公司只保证客户收到细胞后一周内的细胞状态,故客户需要售后时需出示收到细胞的时间证明及客户提供收货时间和发现问题后客服人员沟通的时间证明,期间间隔时间不能大于7天。
4.所有动物细胞均视为有潜在的生物危害性,必须在二级生物安全台内操作,并请注意防护,所有废液及接触过此细胞的器皿需要灭菌后方能丢弃。
5.客户在细胞培养过程中任何问题可联系我们在线客服,我们随时给予解答。
风险提示:丁香通仅作为第三方平台,为商家信息发布提供平台空间。用户咨询产品时请注意保护个人信息及财产安全,合理判断,谨慎选购商品,商家和用户对交易行为负责。对于医疗器械类产品,请先查证核实企业经营资质和医疗器械产品注册证情况。
文献和实验实验材料: 1. 动物子宫颈部穿刺或切除所得组织 2. 3T3成纤维细胞 3. 0.25%胰蛋白酶/EDTA 4. KCM:DMEM中添加10%FBS、0.5ug/ml氢化可的松和1×10-10 mol/L霍乱毒素 5. EGF:100ugEGF溶于1ml无菌的UPW中。按100ul分装,在-20℃条件下储存。用10ml的含有血清的培养液配制100ug/mlEGF工作液,按100ul分装,在4℃储存。使用时,用含有
实验材料: 1. 新生大鼠唾液腺; 2. 不含Ca2+ 和Mg2+ 的1×PBS,添加200000IU/L青霉素、200mg/L链霉素,pH7.2; 3. 培养用液:DMEM培养液,添加10%的胎牛血清、5μg/ml胰岛素、10 ng/ml表皮生长因子、50 ng/ml氢化可的松、100 IU/ml青霉素和100μg/ml链霉素。无Ca2+ 、Mg2+ 的D-Hanks液,使用时添加100 IU/ml青霉素和100μg/ml链霉素; 4. 鼠尾胶原液:先吸取4ml
本人把大鼠原代肾小管上皮细胞的取材、培养方法进行了总 结,请分享! 取材:1.肾小管节段的分离(机械网筛滤过法): ①取 Wistar 大鼠断颈法处死,立即置入碘伏液中浸泡 5 分钟。 ②将大鼠转移入超净工作台,取腰部切口迅速取出肾脏,置于盛有生理盐水的培养皿中清洗并除去包膜和肾蒂组织。 ③取皮质置于80目筛网上,剪碎成1-2mm3大小组织块,网下放盛有少量生理盐水的培养皿。 ④用玻璃注射器内芯于80目网上充分研磨组织。 ⑤收集 80 目网下液体转移至 100
技术资料暂无技术资料 索取技术资料










