相关产品推荐更多 >
万千商家帮你免费找货
0 人在求购买到急需产品
- 详细信息
- 文献和实验
- 技术资料
- 形态:
Liquit
- 保存条件:
-20℃
- 克隆性:
单克隆
- 适应物种:
Human,(predicted:Mouse,Rat,)
- 保质期:
1年
- 抗原来源:
peptiede
- 目录编号:
TDCOM-0011
- 级别:
科研级
- 库存:
88
- 供应商:
武汉天德
- 宿主:
鼠
- 浓度:
1mg/ml
- 抗体英文名:
43375
- 抗体名:
43375
- 规格:
1ml工作液

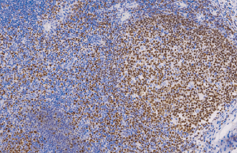
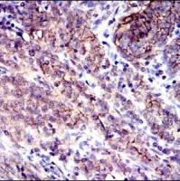
OCT-2鼠抗人八聚体结合转录因子2单克隆抗体
八聚体转录因子2(OCT-2)拥有一个亮氨酸拉链,结合八聚体基序(5-ATTTCAT-3),激活免疫球蛋白的基因表达。OCT2对B细胞中特定基因的表达起重要作用,如CD20和CRISP 3。OCT-2表达于成熟的B细胞、尤其是生发中心的B细胞
- 货号:TDCOM-0011
- 克隆号:MRQ-2
- 阳性部位:胞核
- 适用组织:石蜡组织,冰冻组织
- 预处理:热修复
风险提示:丁香通仅作为第三方平台,为商家信息发布提供平台空间。用户咨询产品时请注意保护个人信息及财产安全,合理判断,谨慎选购商品,商家和用户对交易行为负责。对于医疗器械类产品,请先查证核实企业经营资质和医疗器械产品注册证情况。
文献和实验该产品被引用文献
抗体使用小技巧_技术资料_丁香通 (biomart.cn)
技术资料暂无技术资料 索取技术资料
文献支持
鼠抗人八聚体结合转录因子2单克隆抗体 TDCOM-0011
询价









