相关产品推荐更多 >
万千商家帮你免费找货
0 人在求购买到急需产品
- 详细信息
- 文献和实验
- 技术资料
- 形态:
Liquit
- 保存条件:
-20℃
- 克隆性:
单克隆
- 适应物种:
Human,(predicted:Mouse,Rat,)
- 保质期:
1年
- 抗原来源:
peptiede
- 目录编号:
TDCSR-0300
- 级别:
科研级
- 库存:
88
- 供应商:
武汉天德
- 宿主:
兔
- 浓度:
1mg/ml
- 抗体英文名:
SOX-9
- 抗体名:
SOX-9
- 规格:
1ml工作液

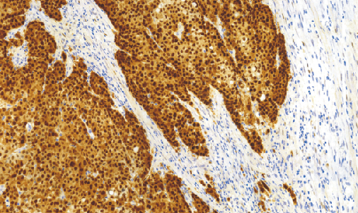
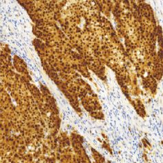
soX-9免抗人SOX-9单克隆抗体
转录因子SOX-9是人体内由SOX9基因编码的一种蛋白质。SOX9在软骨细胞分化过程中起作用,并调节抗苗勒管激素(AMH)基因的转录。SOX9表现出几种促癌特性,包括促进增殖、抑制衰老以及在肿瘤转化中与其他致癌基因合作的能力。在人类结直肠癌的临床样本中,SOX9和BMI1表达水平呈正相关,而SOX9和ARF表达水平呈负相关。在正常结肠粘膜中,SOX9的表达主要集中在隐窝下部、干细胞增殖室和推定位置。最近的研究显示SOX9在实体瘤中过表达,包括但不限于,胃癌非小细胞肺癌(NSCLC),肺腺癌前列腺癌,乳腺癌,胰腺导管腺癌、神经胶质瘤、结直肠癌、肝癌(HCC)和卵巢癌等。
- 货号:TDCSR-0300
- 克隆号:EP317
- 阳性部位:胞核
- 适用组织:石蜡切片
- 预处理:热修复
风险提示:丁香通仅作为第三方平台,为商家信息发布提供平台空间。用户咨询产品时请注意保护个人信息及财产安全,合理判断,谨慎选购商品,商家和用户对交易行为负责。对于医疗器械类产品,请先查证核实企业经营资质和医疗器械产品注册证情况。
文献和实验抗体使用小技巧_技术资料_丁香通 (biomart.cn)
1的数据是精度为0.01级、经过计量检定合格的pH计在未校准时与校准后的测量值,从中可以看出校准的重要性。 标准pH 校准前误差(pH) 校准后误差(pH) 13.000 00.0600 00.0000 12.000 00.0450 00.0005 11.000 00.0500 00.0010 10.000 00.0300 00.0000 9.000 00.0200 -00.0005 8.000 00.0100
-His6 抗体(Qiagen) 。 ( 4 ) 特异单克隆抗体,如大鼠抗 CPI 抗体(Affinity Bioreagents,Cholden, USA ) 。 ( 5 ) Cy3 标记的配体作为第二抗体,如兔抗小鼠 IgG 配抗 RGS-His6 —抗,或兔抗大鼠 IgG 配抗 TCP1 —抗( Dianova,Hamburg,Germany) 。 2. 在 FAST 点样片基上的多克隆抗体筛选 ( 1 ) TBS + Tween-20 ( TBST ) :10
检索,一般不算数。具体能否检索,是否被收录发邮件咨询杂志官方邮箱是最安全的;而是否算数,要看单位了。举个栗子,介绍一份较容易的低分 SCI 期刊里的 3 则专刊征稿启事加深理解,希望对你们有所帮助,也可以小试身手~期刊名称:Journal of International Medical Research影响因子:1.35ISSN:0300 - 0605图片来源:杂志官网(1)脑血管疾病特刊:图片来源:杂志官网截图稿件方向:从基础研究到脑小血管病(CSVD)的临床管理,本期特刊旨在提供
技术资料暂无技术资料 索取技术资料










