相关产品推荐更多 >
万千商家帮你免费找货
0 人在求购买到急需产品
- 详细信息
- 文献和实验
- 技术资料
- 形态:
Liquit
- 保存条件:
-20℃
- 克隆性:
单克隆
- 适应物种:
Human,(predicted:Mouse,Rat,)
- 保质期:
1年
- 抗原来源:
peptiede
- 目录编号:
TDCCM-0810
- 级别:
科研级
- 库存:
88
- 供应商:
武汉天德
- 宿主:
鼠
- 浓度:
1mg/ml
- 抗体英文名:
CD235a
- 抗体名:
CD235a
- 规格:
1ml工作液

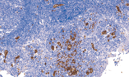
CD235a鼠抗人CD235a单克隆抗体
CD235a又称GIYCOPHORINA血型糖蛋白A是一种定位于人红细胞表面的唾液酸糖蛋白是特异性M和N血型载体。其基因定位于染色体的4a28-q31和血型蛋白B和血型蛋白E具有同源性编码基因系列。糖蛋白A伴随着红细胞生成的全过程。有文章报道血型糖蛋白A在每个红细胞中维持高表达,则表示该红细胞成熟。大多数的红白血病中肿瘤性有核红细胞表达该蛋白,而急性髓性白血病和急性淋巴瘤白血病几乎不表达血型糖蛋白A。故血型糖蛋白A主要用于红白血病的辅助诊断和识别红系白血病
- 货号:TDCCM-0810
- 克隆号:JC159
- 阳性部位:胞膜
- 适用组织:石蜡切片
- 预处理:热修复
风险提示:丁香通仅作为第三方平台,为商家信息发布提供平台空间。用户咨询产品时请注意保护个人信息及财产安全,合理判断,谨慎选购商品,商家和用户对交易行为负责。对于医疗器械类产品,请先查证核实企业经营资质和医疗器械产品注册证情况。
文献和实验抗体使用小技巧_技术资料_丁香通 (biomart.cn)
107 的 PBMC 细胞用 100μl 的 Buffer 稀释(Buffer CI:含 0.5% BSA 的 PBS 缓冲液,1 mM EDTA) · 加入多种生物素化抗体,室温下孵育 5 分钟。生物素化的抗体包含以下几种,每种抗体 0.5 μg:CD235a (erythrocytes), CD14 (monocytes), CD3 (T cells), CD15 (granulocytes), CD19 (B cells), CD36 (thrombocytes), CD123
抗体/补体介导的特异性细胞毒作用分离法分离T细胞亚群 人T淋巴细胞按其表面标志分为CD4+ T和CD8+ T细胞两类,其细胞膜上分别有CD4和CD8分子,当它们与相应的鼠抗人单克隆抗体结合后,在补体的参与下,可溶解相应的T细胞亚群,从而分离出另一种细胞亚群。 【试剂及配制】 (1) 聚蔗糖-泛影葡胺分层液(D=1.077±0.001)。 (2) Hank’s液(内含5%小牛血清和1.0g/L叠氮钠)。
在小鼠和人类肥胖过程、胰岛素抵抗和肥胖相关的炎症过程的脂肪组织中上调 (3)。通过 coIP(免疫共沉淀)实验证明,ANGPTL2 和 CD146 存在直接相互作用。这种相互作用促进脂肪形成,脂质积累和脂肪炎症。图片来源:Advanced Science 4. 靶向 CD146 单克隆抗体 AA98 可预防肥胖和胰岛素抵抗。 探究抗 CD146 单克隆抗体 AA98 是否可以预防肥胖症及其相关并发症。作者使用 AA98 处理小鼠,结果显示 BAT 重量降低和脂滴减少。此外,AA98 治疗上调
技术资料暂无技术资料 索取技术资料










