相关产品推荐更多 >
万千商家帮你免费找货
0 人在求购买到急需产品
- 详细信息
- 文献和实验
- 技术资料
- 形态:
Liquit
- 保存条件:
-20℃
- 克隆性:
单克隆
- 适应物种:
Human,(predicted:Mouse,Rat,)
- 保质期:
1年
- 抗原来源:
peptiede
- 目录编号:
TDCCR-1191
- 级别:
科研级
- 库存:
88
- 供应商:
武汉天德
- 宿主:
兔
- 浓度:
1mg/ml
- 抗体英文名:
CD105
- 抗体名:
CD105
- 规格:
1ml工作液

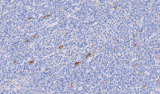
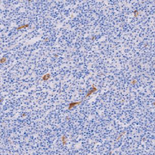
CD105兔抗人CD105单克隆抗体
CD105/内皮糖蛋白是I型糖蛋白,位于细胞表面是转化生产因子B受体复合体的一部分。CD105也是血管内皮细胞增殖相关抗原。据报道,CD105余肿瘤的发生相关,与肿瘤的分期、转移和预后具有显著相关性。
- 货号:TDCCR-1191
- 克隆号:EP274
- 阳性部位:胞质
- 适用组织:石蜡切片
- 预处理:热修复
风险提示:丁香通仅作为第三方平台,为商家信息发布提供平台空间。用户咨询产品时请注意保护个人信息及财产安全,合理判断,谨慎选购商品,商家和用户对交易行为负责。对于医疗器械类产品,请先查证核实企业经营资质和医疗器械产品注册证情况。
文献和实验抗体使用小技巧_技术资料_丁香通 (biomart.cn)
抗人CD105单克隆抗体(NeoMarkers),兔抗人CD34、CD31多克隆抗体(Antibody Diagnostica Inc),兔抗人vW因子多克隆抗体(华美公司),抗兔及抗鼠ABC试剂盒、DAB显色试剂盒为华美公司产品,其他试剂均为国产分析纯以上级别。 3、方法: 植块法原代细胞培养: 细胞培养瓶的处理:选用50ml玻璃培养瓶,高压蒸汽灭菌,瓶底铺自制鼠尾胶(制作方法参见2),移入80℃烤箱烤干,临用前用消毒D-Hanks平衡盐缓冲液冲洗3次
康复者中至少出现 1 种新冠肺炎长期影响的比例为 55%(650/1190),相较于 6 个月时明显下降(68%,777/1149),其中疲劳或肌肉无力最常见的症状。随访 6 个月时,存在呼吸困难(mMRC 评分≥1)比例为 26%(288/1104),到 2 年时这一比例明显降低至 14%(168/1191);存在焦虑或抑郁症状比例从 6 个月时 23%(256/110)降低至 2 年时的 12%(143/1191)。与普通人群相比,新冠康复者在初次感染 2 年后的健康状况往往较差,这表明
tissue,human testis tissue,human brain tissue IF:Hela,HepG2 另外有 HRP、FITC、Bintin 标记的多抗对应货号分别为: CSB-PA07179B0Rb、CSB-PA07179C0Rb、CSB-PA07179D0Rb 兔抗人淀粉样肽 beta A4 蛋白单克隆抗体 货号:CSB-MA0019501A0m 识别
技术资料暂无技术资料 索取技术资料










