相关产品推荐更多 >
万千商家帮你免费找货
0 人在求购买到急需产品
- 详细信息
- 文献和实验
- 技术资料
- 形态:
Liquit
- 保存条件:
-20℃
- 克隆性:
单克隆
- 适应物种:
Human,(predicted:Mouse,Rat,)
- 保质期:
1年
- 抗原来源:
peptiede
- 目录编号:
TDCCM-0670
- 级别:
科研级
- 库存:
88
- 供应商:
武汉天德
- 宿主:
鼠
- 浓度:
1mg/ml
- 抗体英文名:
CD57
- 抗体名:
CD57
- 规格:
1ml工作液

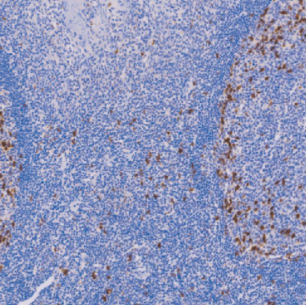
CD57鼠抗人CD57单克隆抗体
CD57糖蛋白也称做NK-1,分子量为110kD。在具有自然杀伤活性的单核细胞亚群和表达髓磷脂相关糖蛋白的神经外胚层细胞中发现CD57分子。许多T细胞亚群抑制T/细胞毒T细胞共同表达CD57和CD8蛋白。在植物抗宿主病中,这些细胞在对移植物排斥中起作用。CD57分子在红细胞或血小板中不表达。
- 货号:TDCCM-0670
- 克隆号:NK-1
- 阳性部位:胞膜
- 适用组织:石蜡切片
- 预处理:热修复
风险提示:丁香通仅作为第三方平台,为商家信息发布提供平台空间。用户咨询产品时请注意保护个人信息及财产安全,合理判断,谨慎选购商品,商家和用户对交易行为负责。对于医疗器械类产品,请先查证核实企业经营资质和医疗器械产品注册证情况。
文献和实验抗体使用小技巧_技术资料_丁香通 (biomart.cn)
CD57 分子 CD57 常用单克隆抗体或代号: Leu7,HNK- 1 主要表达细胞: NKsub,Tsub [NK] 分子质量(kDa)和结构: gp110 功 能: 参与NK活化后的杀伤作用 CD57 Aka Leu7 Glycoprotein with cell adhesion functions NK cell marker and neuroendocrine marker
抗体/补体介导的特异性细胞毒作用分离法分离T细胞亚群 人T淋巴细胞按其表面标志分为CD4+ T和CD8+ T细胞两类,其细胞膜上分别有CD4和CD8分子,当它们与相应的鼠抗人单克隆抗体结合后,在补体的参与下,可溶解相应的T细胞亚群,从而分离出另一种细胞亚群。 【试剂及配制】 (1) 聚蔗糖-泛影葡胺分层液(D=1.077±0.001)。 (2) Hank’s液(内含5%小牛血清和1.0g/L叠氮钠)。
R&D Systems 适用于神经细胞培养的无血清培养基添加剂
。 海马神经元表现出突触标记的可靠表达。e18大鼠海马神经元用添加了N21-MaX Media Supplement(目录号ar008)的培养基在体外培养21天。(a) 利用小鼠抗大鼠突触结合蛋白-1单克隆抗体(目录号MaB4364),以及Northernlights™ 557结合的驴抗小鼠igg二抗(目录号Nl007;黄色)对细胞染色,或(B) 利用小鼠抗人caM激酶iiα单克隆抗体(目录号MaB5584),接着用Northernlights™ 557结合的驴抗小鼠 igg二抗(目录号Nl
技术资料暂无技术资料 索取技术资料










