相关产品推荐更多 >
万千商家帮你免费找货
0 人在求购买到急需产品
- 详细信息
- 文献和实验
- 技术资料
- 形态:
Liquit
- 保存条件:
-20℃
- 克隆性:
单克隆
- 适应物种:
Human,(predicted:Mouse,Rat,)
- 保质期:
1年
- 抗原来源:
peptiede
- 目录编号:
TDCMR-0211
- 级别:
科研级
- 库存:
88
- 供应商:
武汉天德
- 宿主:
兔
- 浓度:
1mg/ml
- 抗体英文名:
Myeloperoxidase(MPO)
- 抗体名:
Myeloperoxidase(MPO)
- 规格:
1ml工作液

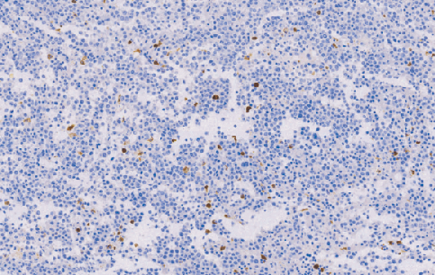
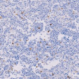
Myeloperoxidase(MPO)兔抗人髓过氧化物酶多克隆抗体
MPO基因位于17号染色体,与人甲状腺过氧化物酶具有同源性在外周血涂片中,粒细胞呈强阳性反应,单核细胞呈弱阳性反应,而其他细胞不反应,在骨髓涂片中,标记粒系细胞。用于急性粒细胞白血病的辅助诊断
- 货号:TDCMR-0211
- 克隆号:EP151
- 阳性部位:胞质
- 适用组织:石蜡切片
- 预处理:热修复
风险提示:丁香通仅作为第三方平台,为商家信息发布提供平台空间。用户咨询产品时请注意保护个人信息及财产安全,合理判断,谨慎选购商品,商家和用户对交易行为负责。对于医疗器械类产品,请先查证核实企业经营资质和医疗器械产品注册证情况。
文献和实验该产品被引用文献
抗体使用小技巧_技术资料_丁香通 (biomart.cn)
技术资料暂无技术资料 索取技术资料
文献支持
兔抗人髓过氧化物酶多克隆抗体 TDCMR-0211
询价









