相关产品推荐更多 >
万千商家帮你免费找货
0 人在求购买到急需产品
- 详细信息
- 技术资料
- 免疫原:
Recombinant fragment of human XPR1.
- 亚型:
IgG
- 形态:
Liquid
- 保存条件:
Store as concentrated solution. Centrifuge briefly prior to opening vial. For short-term storage (1-2 weeks), store at 4ºC. For long-term storage, aliquot and store at -20ºC or below. Avoid multiple freeze-thaw cycles.
- 克隆性:
Monoclonal
- 标记物:
Unconjugated
- 保质期:
12 months from the shipping date of the product.
- 抗原来源:
Human
- 目录编号:
GTX639088
- 级别:
Primary Antibodies
- 库存:
Available
- 供应商:
GeneTex
- 宿主:
Rabbit
- 应用范围:
WB
- 浓度:
batch dependent
- 抗体英文名:
XPR1 antibody [HL2632]
- 抗体名:
XPR1 抗体 [HL2632]
- 规格:
100 μl/25 μl
| 规格: | 100 μl | 产品价格: | ¥4000.0 |
|---|---|---|---|
| 规格: | 25 μl | 产品价格: | ¥1700.0 |
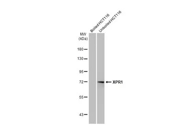
Boiled and unboiled HCT116 whole cell (30 μg) were separated by 7.5% SDS-PAGE, and the membrane was blotted with XPR1 antibody [HL2632] (GTX639088) diluted at 1:1000. The HRP-conjugated anti-rabbit IgG antibody (GTX213110-01) was used to detect the primary antibody.
Boiled and unboiled mouse tissue extract (50 μg) were separated by 7.5% SDS-PAGE, and the membrane was blotted with XPR1 antibody [HL2632] (GTX639088) diluted at 1:1000. The HRP-conjugated anti-rabbit IgG antibody (GTX213110-01) was used to detect the primary antibody, and the signal was developed with Trident ECL plus-Enhanced.
风险提示:丁香通仅作为第三方平台,为商家信息发布提供平台空间。用户咨询产品时请注意保护个人信息及财产安全,合理判断,谨慎选购商品,商家和用户对交易行为负责。对于医疗器械类产品,请先查证核实企业经营资质和医疗器械产品注册证情况。
技术资料暂无技术资料 索取技术资料


![XPR1 antibody [HL2632]](https://custom.dxycdn.com/trademd/upload/pic/2013/11/12/A1383891150.jpg!small.t.1)



![CD38 antibody [HIT2] (PerCP)](https://img1.dxycdn.com/2022/0328/380/1052254078995500453-14.jpg!wh200)
![Lplunc1 antibody [1F11E3]](https://img1.dxycdn.com/2022/0328/491/4770279251333500453-14.jpg!wh200)

![Mesothelioma antibody [HBME-1]](https://img1.dxycdn.com/2022/0328/902/2815419650698300453-14.jpg!wh200)
