相关产品推荐更多 >
万千商家帮你免费找货
0 人在求购买到急需产品
- 详细信息
- 文献和实验
- 技术资料
- 免疫原:
Recombinant fragment (around aa 109-229) of human Uroplakin 1B (UPK1B) protein
- 亚型:
IgG2b
- 形态:
Liquid
- 保存条件:
Store as concentrated solution. Centrifuge briefly prior to opening vial. For short-term storage (1-2 weeks), store at 4ºC. For long-term storage, aliquot and store at -20ºC or below. Avoid multiple freeze-thaw cycles.
- 克隆性:
Monoclonal
- 标记物:
Unconjugated
- 保质期:
12 months from the shipping date of the product.
- 抗原来源:
Human
- 目录编号:
GTX04450
- 级别:
Primary Antibodies
- 库存:
Available
- 供应商:
GeneTex
- 宿主:
Mouse
- 应用范围:
IHC-P
- 浓度:
0.2 mg/ml (Please refer to the vial label for the specific concentration.)
- 抗体英文名:
UPK1B antibody [MSVA-734M] HistoMAX
- 抗体名:
UPK1B 抗体 [MSVA-734M] HistoMAX
- 规格:
500 μl
IHC-P analysis of human colon mucosa tissue section using GTX04450 UPK1B antibody [MSVA-734M] HistoMAX.
UPK1B immunostaining is absent in all cells of the colon mucosa.
IHC-P analysis of human urinary bladder urothelium tissue section using GTX04450 UPK1B antibody [MSVA-734M] HistoMAX.
A strong UPK1B immunostaining of all urothelial cells is seen in this urinary bladder sample.
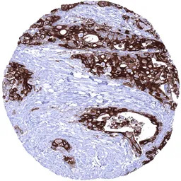
IHC-P analysis of human urinary bladder muscle invasive urothelial carcinoma tissue section using GTX04450 UPK1B antibody [MSVA-734M] HistoMAX.
Muscle invasive urothelial carcinoma of the urinary bladder showing a strong UPK1B immunostaining of tumor cells.
风险提示:丁香通仅作为第三方平台,为商家信息发布提供平台空间。用户咨询产品时请注意保护个人信息及财产安全,合理判断,谨慎选购商品,商家和用户对交易行为负责。对于医疗器械类产品,请先查证核实企业经营资质和医疗器械产品注册证情况。
文献和实验免疫组化技术-Immunohistochemical Protocols
does not mean that there are no other alternatives, of course. The list does not represent an endorsement in any way by the U.S. Government. The principle of immunohistochemistry is to raise an antibody to a specific antigen and use
., and Chrispeels, M . J. (1984) Phaseolus vulgarisphytohemagglutinin contains high-mannose and modified oligoasaccharide chains. Planta160, 256— 263. 41. Bardor, M., Loutelier-Bourhis, C., Paccalet, T., et al. (2003) Monoclonal C5-1 antibody produced
, Wu HB,et al.Apoptosis of rat hepatic stellate cells induced by antifocal adhesion kinase antibody. World J Gastroenterol,2002,8(4):734~738. [6] Cheng ML, Wu J, Wang HQ,et al.Effect of Maotai liquor in inducing metallothioneins and on hepatic stellate
技术资料暂无技术资料 索取技术资料











