相关产品推荐更多 >
万千商家帮你免费找货
0 人在求购买到急需产品
- 详细信息
- 文献和实验
- 技术资料
- 免疫原:
A synthetic peptide corresponding to a sequence at the C-terminus of mouse Bone Sialoprotein(305-324aa SYYKGHGYEGYEGQNYYYHQ), different from the related rat sequence by one amino acid.
- 亚型:
IgG
- 形态:
Liquid
- 保存条件:
Store as concentrated solution. Centrifuge briefly prior to opening vial. For short-term storage (1-2 weeks), store at 4ºC. For long-term storage, aliquot and store at -20ºC or below. Avoid multiple freeze-thaw cycles.
- 克隆性:
Polyclonal
- 标记物:
Unconjugated
- 适应物种:
Mouse, Rat
- 保质期:
12 months from the shipping date of the product.
- 抗原来源:
Mouse
- 目录编号:
GTX12155
- 级别:
Primary Antibodies
- 库存:
Available
- 供应商:
GeneTex
- 宿主:
Rabbit
- 应用范围:
WB, IHC-P
- 浓度:
500 μg/ml (Please refer to the vial label for the specific concentration.)
- 靶点:
Bone Sialoprotein
- 抗体英文名:
Bone Sialoprotein antibody
- 抗体名:
Bone Sialoprotein 抗体
- 规格:
100 μg
WB analysis of various samples using GTX12155 Bone Sialoprotein antibody.
Lane 1 : rat liver tissue lysate
Lane 2 : rat brain tissue lysate
Lane 3 : rat kidney tissue lysate
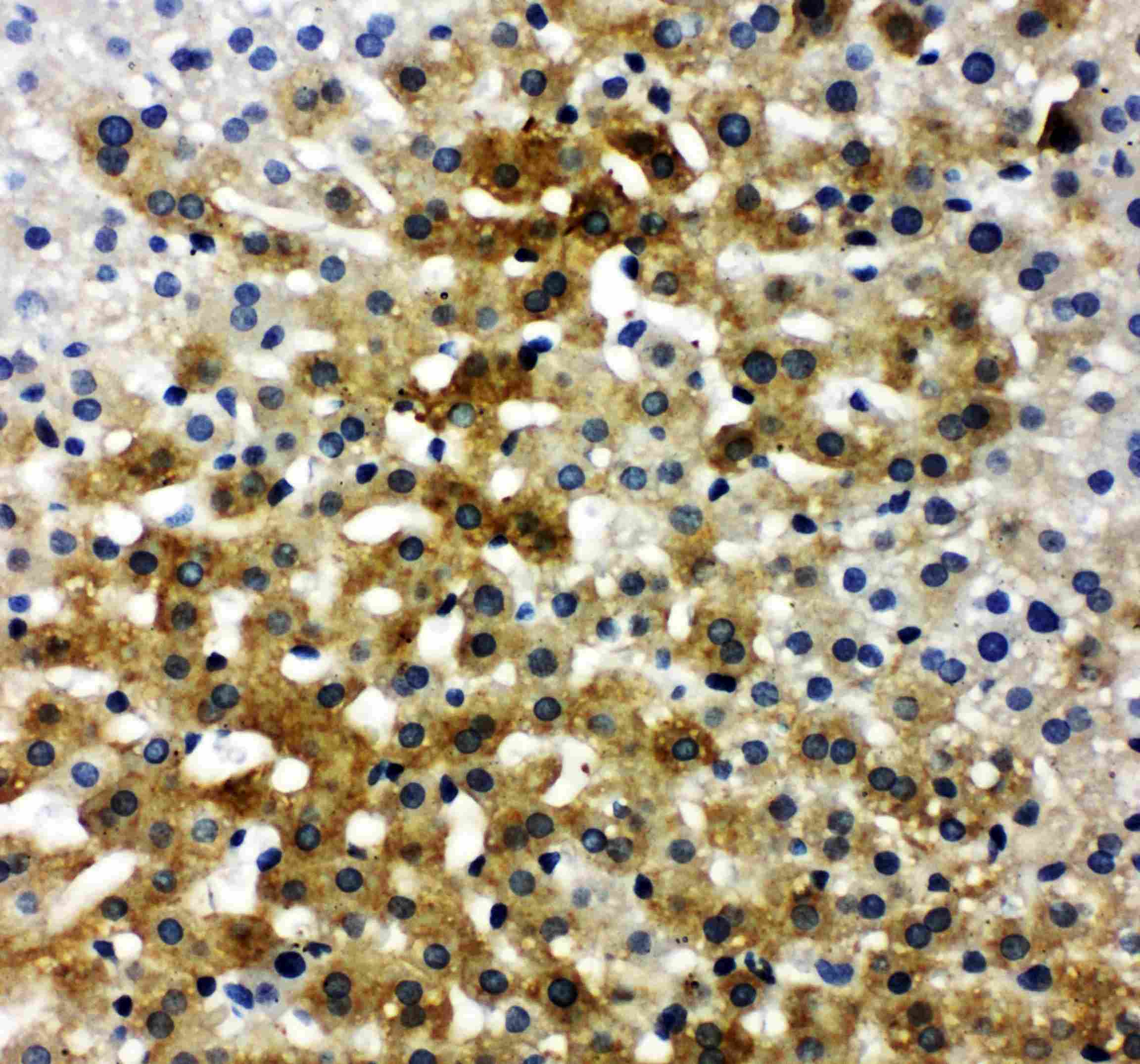
IHC-P analysis of rat liver tissue using GTX12155 Bone Sialoprotein antibody.
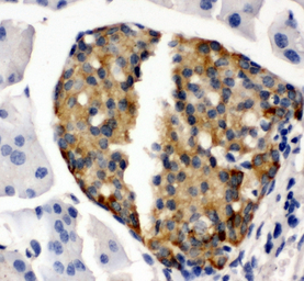
IHC-P analysis of mouse pancreas tissue using GTX12155 Bone Sialoprotein antibody.
Antigen retireval : Heat mediated antigen retrieval was performed in citrate buffer (pH6, epitope retrieval solution) for 20 mins
Dilution : 1μg/ml
风险提示:丁香通仅作为第三方平台,为商家信息发布提供平台空间。用户咨询产品时请注意保护个人信息及财产安全,合理判断,谨慎选购商品,商家和用户对交易行为负责。对于医疗器械类产品,请先查证核实企业经营资质和医疗器械产品注册证情况。
文献和实验Jee HK et al., Biomimetics (Basel) 2023 (PMID:36648819)
Hyun Seok et al., Int J Mol Sci 2021 (PMID:34681785)
Jang E et al., Materials (Basel) 2019 (PMID:31100907)
技术资料暂无技术资料 索取技术资料











