相关产品推荐更多 >
万千商家帮你免费找货
0 人在求购买到急需产品
- 详细信息
- 文献和实验
- 技术资料
- 免疫原:
Recombinant fragment of human vWF protein (aa1815-1939)
- 亚型:
IgG
- 形态:
Liquid
- 保存条件:
Store as concentrated solution. Centrifuge briefly prior to opening vial. For short-term storage (1-2 weeks), store at 4ºC. For long-term storage, aliquot and store at -20ºC or below. Avoid multiple freeze-thaw cycles.
- 克隆性:
Monoclonal
- 标记物:
Unconjugated
- 保质期:
12 months from the shipping date of the product.
- 抗原来源:
Human
- 目录编号:
GTX04412
- 级别:
Primary Antibodies
- 库存:
Available
- 供应商:
GeneTex
- 宿主:
Rabbit
- 应用范围:
IHC-P
- 浓度:
0.2 mg/ml (Please refer to the vial label for the specific concentration.)
- 抗体英文名:
VWF antibody [MSVA-521R] HistoMAX
- 抗体名:
VWF 抗体 [MSVA-521R] HistoMAX
- 规格:
500 μl
IHC-P analysis of human skeletal muscle tissue section using GTX04412 VWF antibody [MSVA-521R] HistoMAX.
In skeletal muscle endothelial VWF immunostaining is strong in postcapillary venules and somewhat weaker in capillaries.
IHC-P analysis of human duodenum Brunner gland tissue section using GTX04412 VWF antibody [MSVA-521R] HistoMAX.
In the Brunner gland endothelial, VWF immunostaining is strongest in venules.
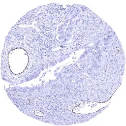
IHC-P analysis of human ovary serous high grade carcinoma tissue section using GTX04412 VWF antibody [MSVA-521R] HistoMAX.
Serous high grade carcinoma showing distinct endothelial VWF staining in a subset of intratumoral vessels.
风险提示:丁香通仅作为第三方平台,为商家信息发布提供平台空间。用户咨询产品时请注意保护个人信息及财产安全,合理判断,谨慎选购商品,商家和用户对交易行为负责。对于医疗器械类产品,请先查证核实企业经营资质和医疗器械产品注册证情况。
文献和实验上海西唐生物科技有限公司 021-55229872, 65333639 www.westang.com 大鼠血管性血友病因子 (VWF)ELISA 试剂盒 ( 用于血清、血浆、细胞培养上清液和其它生物体液内 ) 原理 本实验采用双抗体夹心 ABC-ELISA 法。用抗大鼠 VWF 单抗包被于酶标板上,标准品和样品中的 VWF 与单抗结合,加入生物素化的抗大鼠 VWF ,形成免疫复合物连接在板上,辣根
上海西唐生物科技有限公司 021-55229872, 65333639 www.westang.com 小鼠血管性血友病因子 ( VWF )ELISA 试剂盒 ( 用于血清、血浆、细胞培养上清液和其它生物体液内 ) 原理 本实验采用双抗体夹心 ABC-ELISA 法。用抗小鼠 VWF 单抗包被于酶标板上,标准品和样品中的 VWF与单抗结合,加入生物素化的抗小鼠
Evaluation of Immunogenicity of Rat ES-Cell Derived Endothelial Cells
rat endothelial cells (EC). In a first characterization step, the endothelial nature of rat ES cell derived endothelial cells was proved by labelling with von Willebrand factor (vWF) as well as testing tube formation capacity on an extracellular matrix
技术资料暂无技术资料 索取技术资料





![O-GlcNAc transferase antibody [GT678]](https://img1.dxycdn.com/2022/0329/583/3306026063185020453-14.jpg!wh200)

![BLK antibody [1E6]](https://img1.dxycdn.com/2022/0328/169/7170957012526500453-14.jpg!wh200)



