相关产品推荐更多 >
万千商家帮你免费找货
0 人在求购买到急需产品
- 详细信息
- 技术资料
- 免疫原:
Recombinant full-length human desmin protein
- 亚型:
IgG1
- 形态:
Liquid
- 保存条件:
Store as concentrated solution. Centrifuge briefly prior to opening vial. For short-term storage (1-2 weeks), store at 4ºC. For long-term storage, aliquot and store at -20ºC or below. Avoid multiple freeze-thaw cycles.
- 克隆性:
Monoclonal
- 标记物:
Unconjugated
- 保质期:
12 months from the shipping date of the product.
- 抗原来源:
Human
- 目录编号:
GTX04410
- 级别:
Primary Antibodies
- 库存:
Available
- 供应商:
GeneTex
- 宿主:
Mouse
- 应用范围:
IHC-P
- 浓度:
0.2 mg/ml (Please refer to the vial label for the specific concentration.)
- 抗体英文名:
Desmin antibody [MSVA-651M] HistoMAX
- 抗体名:
Desmin 抗体 [MSVA-651M] HistoMAX
- 规格:
500 μl
IHC-P analysis of human rectum tissue section using GTX04410 Desmin antibody [MSVA-651M] HistoMAX.
Strong desmin staining of lamina muscularis mucosae.
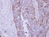
IHC-P analysis of human stomach Gastric adenocarcinoma tissue section using GTX04410 Desmin antibody [MSVA-651M] HistoMAX.
Stomach Gastric adenocarcinoma invading desmin positive smooth muscle fibres.
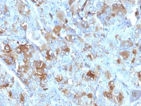
IHC-P analysis of human rhabdomyosarcoma tissue section using GTX04410 Desmin antibody [MSVA-651M] HistoMAX.
Soft tissue Strong desmin positivity of all tumor cells of a rhabdomyosarcoma.
风险提示:丁香通仅作为第三方平台,为商家信息发布提供平台空间。用户咨询产品时请注意保护个人信息及财产安全,合理判断,谨慎选购商品,商家和用户对交易行为负责。对于医疗器械类产品,请先查证核实企业经营资质和医疗器械产品注册证情况。
技术资料暂无技术资料 索取技术资料


![Desmin antibody [MSVA-651M] HistoMAX](https://custom.dxycdn.com/trademd/upload/pic/2013/11/12/A1383891150.jpg!small.t.1)



![Lymphotactin antibody [4G24]](https://img1.dxycdn.com/2022/0328/148/4611331096589400453-14.jpg!wh200)

![Chromogranin A antibody [CHGA/777]](https://img1.dxycdn.com/2022/0328/064/7350994345930700453-14.jpg!wh200)
![Melan A antibody [MLANA/1761R]](https://img1.dxycdn.com/2022/0328/266/1565524872280700453-14.jpg!wh200)
