相关产品推荐更多 >
万千商家帮你免费找货
0 人在求购买到急需产品
- 详细信息
- 文献和实验
- 技术资料
- 免疫原:
Recombinant fragment (around aa 273-407) of human Mesothelin (MSLN) protein
- 亚型:
IgG2b
- 形态:
Liquid
- 保存条件:
Store as concentrated solution. Centrifuge briefly prior to opening vial. For short-term storage (1-2 weeks), store at 4ºC. For long-term storage, aliquot and store at -20ºC or below. Avoid multiple freeze-thaw cycles.
- 克隆性:
Monoclonal
- 标记物:
Unconjugated
- 保质期:
12 months from the shipping date of the product.
- 抗原来源:
Human
- 目录编号:
GTX04373
- 级别:
Primary Antibodies
- 库存:
Available
- 供应商:
GeneTex
- 宿主:
Mouse
- 应用范围:
IHC-P
- 浓度:
0.2 mg/ml (Please refer to the vial label for the specific concentration.)
- 抗体英文名:
Mesothelin antibody [MSVA-235M] HistoMAX
- 抗体名:
Mesothelin 抗体 [MSVA-235M] HistoMAX
- 规格:
500 μl
IHC-P analysis of human adenoid cystic breast cancer tissue section using GTX04373 Mesothelin antibody [MSVA-235M] HistoMAX.
Adenoid cystic breast cancer with strong membranous mesothelin immunostaining in a subset of cells.
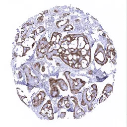
IHC-P analysis of human stomach tissue section using GTX04373 Mesothelin antibody [MSVA-235M] HistoMAX.
Strong predominantly cytoplasmic mesothelin immunostaining in a stomach cancer with diffuse growth pattern.
IHC-P analysis of human endometroid ovarian cancer tissue section using GTX04373 Mesothelin antibody [MSVA-235M] HistoMAX.
Ovary Strong predominantly membranous mesothelin staining in an endometroid ovarian cancer.
风险提示:丁香通仅作为第三方平台,为商家信息发布提供平台空间。用户咨询产品时请注意保护个人信息及财产安全,合理判断,谨慎选购商品,商家和用户对交易行为负责。对于医疗器械类产品,请先查证核实企业经营资质和医疗器械产品注册证情况。
文献和实验., Cheng, T., Acosta, L.,Anglade, A., Willert, K., et al. (2006) Differentialinhibition of Wnt-3a by Sfrp-1, Sfrp-2,and Sfrp-3. Dev Dyn , 235 , 681-690. 9. Galli, L. M., Willert, K., Nusse, R., Yablonka-Reuveni, Z., Nohno, T., Denetclaw, W.,et al. (2004
Immunostaining Thin Layer Chromatograms Of Glycolipids
. Biochem. 109 : 399-402. (2) Magnani, J.L., Brockhaus, M., Smith, D.F., and Ginsburg, V. (1982) Detection of glycolipid ligands by direct binding of carbohydrate-binding proteins to thin-layer chromatograms. Methods in Enzymology 83 : 235-241
ELISPOT (Enzyme-linked ImmunoSPOT)
of cytokine-producing cells at the single cell level. The method employs the sandwich assay approach of the enzyme-linked immunosorbent assay (ELISA), with some variations. The ELISPOT capture antibody is coated aseptically onto a polyvinylidene difluoride
技术资料暂无技术资料 索取技术资料





![Cytokeratin 6 antibody [KRT6A/2368]](https://img1.dxycdn.com/2022/0328/834/7803958275153700453-14.jpg!wh200)
![ATP6V1A antibody [GT811]](https://img1.dxycdn.com/2022/0329/975/0518554021537020453-14.jpg!wh200)




