相关产品推荐更多 >
万千商家帮你免费找货
0 人在求购买到急需产品
- 详细信息
- 询价记录
- 文献和实验
- 技术资料
- 库存:
9999
- 保存条件:
4℃
- 规格:
1 mL
产品简介
本试剂盒在磁珠捕获法的基础上进行改良优化,添加了CD9/CD81/CD63三种磁珠可特异性捕获EVs表面的标志性蛋白。以CD9磁珠为例,EVlent™中的功能化磁珠可以高效地将EVs捕获到装配了EVs特征蛋白CD9的抗体的修饰珠上,这些磁珠对EVs表面的CD9蛋白具有独特亲和性;可满足多种下游实验需求,如电镜、蛋白组学研究、NGS高通量测序和WB检测等。
产品特点
操作简便:无需超离,仅耗时2 h。
高效稳定:亲和纯化,损失少;可适用于微量样本的外泌体提取。
兼容性广:专用于血浆血清样本,也适用于尿液、细胞上清、唾液、脑脊髓液等微量样本。
产品数据

图1.EVlent™磁珠修饰原理及应用于蛋白组学结果

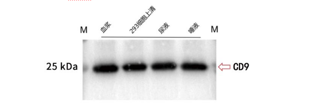
图2. WB检测结果,使用本试剂盒提取不同来源的外泌体,均可检测到CD9
风险提示:丁香通仅作为第三方平台,为商家信息发布提供平台空间。用户咨询产品时请注意保护个人信息及财产安全,合理判断,谨慎选购商品,商家和用户对交易行为负责。对于医疗器械类产品,请先查证核实企业经营资质和医疗器械产品注册证情况。
- 作者
- 内容
- 询问日期
文献和实验真香!用 qPCR 做外泌体研究,南京医科大学拿下 41 分 SCI
qPCR 检测后进行功能评估。本研究对血浆外泌体 circLPAR1 可作为 CRC 高灵敏早期诊断标志物提供了新的证据。 qPCR 检测外泌体是强强联手还是无稽之谈? 我们也许会有疑问:外泌体本来就少,提取的 RNA 就更少,后续做 qPCR 检测岂不是难上加难?想知道 qPCR 检测外泌体是否具有合理性,我们需要先了解如何进行这项实验。 实验过程: 1)外泌体提取 包括 Umibio 在内的很多公司都有针对各种不同样本的外泌体提取试剂盒。样本预处理阶段很重要,甚至决定了后续提取外泌体的纯度和量
沉淀。 5、开封后的 ECS 试剂有沉淀出现是否可以继续使用? 答:沉淀物如果是结晶状,建议 56 度水浴摇晃混匀。如果结晶消失,则可以继续使用,少量沉淀不影响提取效果。 6、试剂提取试剂盒加溶液 B后无豆花状固体,此时是否可以继续实验? 答:不可以,必须明确在看到豆花状沉淀,溶液变透明后才可进行下一步操作。此时需要继续加入溶液B,并在37度水浴加热,溶液看到豆花状沉淀。 7、如何选择血浆和脐带血样本进行外泌体研究? 答:血清和脐带血都是常见的外泌体样本来源。由于血液在高压过程中会受到剧烈
过滤孔,导致膜的寿命减短,分离效率较低。同时,外泌体会粘附在膜上,导致产量降低。 免疫磁珠法:用包被抗标记物抗体的磁珠与外泌体囊泡孵育后结合,即可将外泌体吸附并分离出来。该方法分离得到的外泌体的生物活性易受 pH 和盐浓度影响,不利于下游实验。 试剂盒分离法:目前商业化的外泌体提取试剂盒多种多样,提取效果良莠不齐。同时试剂盒本身的价格比较高,且外泌体的得率和纯度一般,不是性价比高的一种分离方法。此方法得到的外泌体对于后续的鉴定实验、细胞实验和动物实验等可能有影响。 五、如何鉴定外泌体











