相关产品推荐更多 >
万千商家帮你免费找货
0 人在求购买到急需产品
- 详细信息
- 文献和实验
- 技术资料
- 形态:
Liquit
- 保存条件:
-20℃
- 克隆性:
单克隆
- 适应物种:
Human,(predicted:Mouse,Rat,)
- 保质期:
1年
- 抗原来源:
peptiede
- 目录编号:
TDCSM-0230
- 级别:
科研级
- 库存:
88
- 供应商:
武汉天德
- 宿主:
鼠
- 浓度:
1mg/ml
- 抗体英文名:
Stathmin 1/STMN1
- 抗体名:
Stathmin 1/STMN1
- 规格:
1ml工作液

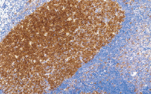
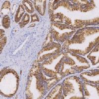
Stathmin1(STMN1)鼠抗人Stathmin1单克隆抗体
Stathmin1/癌蛋白18,也称为STMN1,是高度保守的17kDa蛋白有在细胞内中转整合细胞环境中控制信号的作用。Stathmin与微管系统的控制有关,避免微管的聚合,促进微管的解聚。Stathmin的过表达会增强微管的解聚合作用。
- 货号:TDCSM-0230
- 克隆号:C12A34
- 阳性部位:胞质
- 适用组织:石蜡切片
- 预处理:热修复
风险提示:丁香通仅作为第三方平台,为商家信息发布提供平台空间。用户咨询产品时请注意保护个人信息及财产安全,合理判断,谨慎选购商品,商家和用户对交易行为负责。对于医疗器械类产品,请先查证核实企业经营资质和医疗器械产品注册证情况。
文献和实验间接ELISA(具体步骤见1.7),每一浓度重复3孔,测得OD值,进行回归分析,绘制标准曲线。 1.7 单克隆抗体含量测定 采用间接ELISA法,具体步骤如下:(1)包被纯化人DAF于96孔ELISA板,50μl/孔,4°C,18~24h。(2)用0.02M PBS+0.05%Tween20(PBS-T)将板孔洗3次,3min/次,空干,加入不同浓度的鼠抗人DAF单克隆抗体上清,50μl/孔,37°C孵育50min。(3)同上洗涤,加入1∶1000羊抗鼠IgG酶标抗体,50μl/孔,37°C
%Tween20(PBS-T)将板孔洗3次,3min/次,空干,加入不同浓度的鼠抗人DAF单克隆抗体上清,50μl/孔,37°C孵育50min。(3)同上洗涤,加入1∶1000羊抗鼠IgG酶标抗体,50μl/孔,37°C,50min。(4)同上洗涤,加入邻苯二胺-H2O2溶液37度显色20min后,在BIO-RAD Model 3550自动酶联检测仪上选择490nm测OD值。平卧式与直立式培养收获的上清及IC6上清同时进行试验,以SP2/0骨髓瘤细胞上清作为阴性对照。根据标准曲线计算每种样品中的单抗含量
抗体/补体介导的特异性细胞毒作用分离法分离T细胞亚群 人T淋巴细胞按其表面标志分为CD4+ T和CD8+ T细胞两类,其细胞膜上分别有CD4和CD8分子,当它们与相应的鼠抗人单克隆抗体结合后,在补体的参与下,可溶解相应的T细胞亚群,从而分离出另一种细胞亚群。 【试剂及配制】 (1) 聚蔗糖-泛影葡胺分层液(D=1.077±0.001)。 (2) Hank’s液(内含5%小牛血清和1.0g/L叠氮钠)。
技术资料暂无技术资料 索取技术资料









