相关产品推荐更多 >
万千商家帮你免费找货
0 人在求购买到急需产品
- 详细信息
- 文献和实验
- 技术资料
- 形态:
Liquit
- 保存条件:
-20℃
- 克隆性:
单克隆
- 适应物种:
Human,(predicted:Mouse,Rat,)
- 保质期:
1年
- 抗原来源:
peptiede
- 目录编号:
TDCOM-0061
- 级别:
科研级
- 库存:
88
- 供应商:
武汉天德
- 宿主:
鼠
- 浓度:
1mg/ml
- 抗体英文名:
OCT3/4
- 抗体名:
OCT3/4
- 规格:
1ml工作液

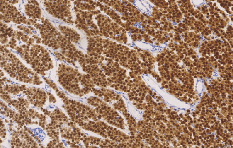
OCT3/4鼠抗人OCT3/4单克隆抗体
OCT3/4是一种POU结构域的转录因子,具有多分化的潜能。在胚胎干细胞与生殖细胞中具有较强的表达,在分化后体细胞中逐渐减弱。该抗体主要作为精原细胞瘤、中枢神经生殖细胞瘤的诊断指标,同时也作为无性细胞瘤鉴别的重要指标之一。
- 货号:TDCOM-0061
- 克隆号:C4E6
- 阳性部位:胞核
- 适用组织:石蜡切片
- 预处理:热修复
风险提示:丁香通仅作为第三方平台,为商家信息发布提供平台空间。用户咨询产品时请注意保护个人信息及财产安全,合理判断,谨慎选购商品,商家和用户对交易行为负责。对于医疗器械类产品,请先查证核实企业经营资质和医疗器械产品注册证情况。
文献和实验CD11a/CD11b/CD11c 分子 CDlla 常用单克隆抗体或代号:MHM24, 2F12; CRIS―3(LFA―lα链,整合素α1) 主要表达细胞:Leu[A5] 分子质量(kDa)和结构:spl80(整合素α) 功 能:与1CAM-l(CD54)、ICAM-2(CDl02)、ICAM-3(C1350)结合,介导细胞黏附;与JAMl结合,参与白细胞穿过内皮细胞
Whole genome amplification protocol for ChIP-chip
of ChIP samples (bottom panel). Oct4 binding sites confirmed by PCR are indicated with arrows. References Krig, S.R., Jin, V.X., Bieda, M., O'Geen, H., Green, R., and Farnham, P.J. (2007) Identification of genes directly regulated
R&D Systems:如何提高MSC的扩增且不损失其分化潜能
- M E M 培养基(Invitrogen,Carlsbad)。将1.25×105量级的hMSCs接种于一个T75长颈瓶,在细胞汇聚之前让细胞生长3至4天。在培养期末,培养于不同条件的hMSCs同时用胰蛋白酶/EDTA溶液收集。对细胞计数,并且用下面的公式计算扩增倍数。重新培养时,将1.25×105量级的hMSCs接种于一个新的T75长颈瓶,并用适当的培养基培养。每次传代后对细胞进行计数。 抗体。藻红蛋白(PE)连接的小鼠抗人CD90和CD105的单克隆抗体(mAbs),PE非连接的山
技术资料暂无技术资料 索取技术资料










