相关产品推荐更多 >
万千商家帮你免费找货
0 人在求购买到急需产品
- 详细信息
- 文献和实验
- 技术资料
- 形态:
Liquit
- 保存条件:
-20℃
- 克隆性:
单克隆
- 适应物种:
Human,(predicted:Mouse,Rat,)
- 保质期:
1年
- 抗原来源:
peptiede
- 目录编号:
TDCHR-0201
- 级别:
科研级
- 库存:
88
- 供应商:
武汉天德
- 宿主:
兔
- 浓度:
1mg/ml
- 抗体英文名:
Human Growth Hormone(HGH)
- 抗体名:
Human Growth Hormone(HGH)
- 规格:
1ml工作液

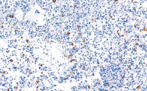
Human Growth Hormone(HGH)兔抗人生长激素单克隆抗体
生长激素是由垂体前叶生长激素细胞合成和分泌的一种激素,以促进蛋白质合成和骨骼发育。此抗体可以与人的GH反应,与PRL、TSH、LH、FSH等激素有微弱的交叉反应,主要用于垂体腺瘤功能性分类的研究
- 货号:TDCHR-0201
- 克隆号:EP267
- 阳性部位:胞质
- 适用组织:石蜡切片
- 预处理:热修复
风险提示:丁香通仅作为第三方平台,为商家信息发布提供平台空间。用户咨询产品时请注意保护个人信息及财产安全,合理判断,谨慎选购商品,商家和用户对交易行为负责。对于医疗器械类产品,请先查证核实企业经营资质和医疗器械产品注册证情况。
文献和实验MHC I STREPTAMERS® 检测与分离抗原特异性 (CD8+ T) 细胞
Sequence Cat. No. Human Cytomegalovirus (CMV) HLA-A* 0201 CMV pp65 NLVPMVATV 6 - 7001 - 001 HLA-B* 0702 CMV pp65 TPRVTGGGAM
huaxiflame05 各位,我的实验最近遇到了问题,检测一个趋化因子,Western 重复性很差,只有蛋白上样量接近200ug的时候才能勉勉强强看到很弱的条带,并且杂带很多。师兄建议让公司合成纯化蛋白。但问题是原核表达的蛋白分子量35kDa,在真核系统里,这个蛋白质高度糖基化,分子量可达到60kD。在这种情况下,如何构建阳性对照呢? ***解答 magichunter 换成单克隆抗体应该特异性更好
liupeizc 请问哪位高手知道成纤维细胞的生长周期啊,更确切的是血管外膜成纤维细胞生长周期,谢谢! zhujoker 估计都没人做过,你如果需要观察其生物学功能,就自己做一次,也算原创了啊! freecell 这里有: http://www.currentprotocols.com/protocol/cb0201 本文由丁香园论坛提供,想了解更多有用的、有意
技术资料暂无技术资料 索取技术资料










