相关产品推荐更多 >
万千商家帮你免费找货
0 人在求购买到急需产品
- 详细信息
- 文献和实验
- 技术资料
- 形态:
Liquit
- 保存条件:
-20℃
- 克隆性:
单克隆
- 适应物种:
Human,(predicted:Mouse,Rat,)
- 保质期:
1年
- 抗原来源:
peptiede
- 目录编号:
TDCER-0060
- 级别:
科研级
- 库存:
88
- 供应商:
武汉天德
- 宿主:
兔
- 浓度:
1mg/ml
- 抗体英文名:
ERCC1
- 抗体名:
ERCC1
- 规格:
1ml工作液

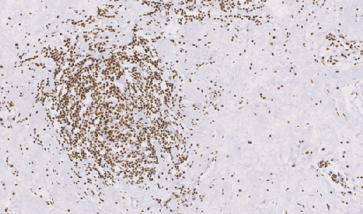
ERCC1免抗人ERCC1单克隆抗体
ERCC1是核昔酸切除修复通路中高度保守的切除性核酶,是有效修复烷化剂诱导的DNA复合物的必要条件。ERCC1蛋白阳性的患者非化疗治疗的预后要好于接受化疗。
- 货号:TDCER-0060
- 克隆号:EP219
- 阳性部位:胞核
- 适用组织:石蜡切片
- 预处理:热修复
风险提示:丁香通仅作为第三方平台,为商家信息发布提供平台空间。用户咨询产品时请注意保护个人信息及财产安全,合理判断,谨慎选购商品,商家和用户对交易行为负责。对于医疗器械类产品,请先查证核实企业经营资质和医疗器械产品注册证情况。
文献和实验tissue,human testis tissue,human brain tissue IF:Hela,HepG2 另外有 HRP、FITC、Bintin 标记的多抗对应货号分别为: CSB-PA07179B0Rb、CSB-PA07179C0Rb、CSB-PA07179D0Rb 兔抗人淀粉样肽 beta A4 蛋白单克隆抗体 货号:CSB-MA0019501A0m 识别
YY0286.1-2007 一次性使用精密过滤输液器 HYDAC贺德克滤芯件号包括: 0030D005BN3HC 0030D010BN3HC 0030D020BN3HC 0030D003BN4HC 0030D005BN4HC 0030D010BN4HC 0030D020BN4HC 0030D003BN/HC 0030D005BN/HC 0030D010BN/HC 0030D020BN/HC 0030D020P 0030D020P 0060D 0060D003BN/HC 0060D
一、实验原理 将抗C5a单克隆抗体包被固相聚苯乙烯板,加入经聚乙二醇(PEG)处理的待测样本,然后依次加入兔抗人C5a-IgC多克隆抗体和过氧化物酶标记的猪抗兔IsC,再加入底物2,2’-连氮-双(3-乙基苯骈唑啉-6-磺酸盐)(ABTS)和H2O2显色,于酶标仪405 mn处测定每分钟光密度增加量(OD/min),以OD/min为纵坐标,C5a标准晶浓度为横坐标绘制标准曲线图,求出待测样本中C5a的含量。 二、实验试剂 1. PBSPH7.2
技术资料暂无技术资料 索取技术资料









