相关产品推荐更多 >

Roche货号11814460001抗-GFP(别名:抗-绿色荧光蛋白)19121878899上海睿安生物
¥5240.94
Sigma货号MABF836抗-EBI3抗体/IL-35(克隆V1.4H6.25)(中和)上海睿安生物13611631389
¥6020
Sigma货号MAB1398Z抗-PECAM-1抗体(克隆2H8)无叠氮化物13611631389上海睿安生物
¥6190.47
Biodragon博奥龙BF06053增强型ECL发光液13611631389上海睿安生物
¥1420.01
Sigma货号MAB1522现货Anti-Actin Antibody,smooth muscle γ & α actin,clone CGA7上海睿安生物13611631389
¥4002.46
万千商家帮你免费找货
0 人在求购买到急需产品
- 详细信息
- 文献和实验
- 技术资料
- 库存:
100⁺支
- 英文名:
Anti-Opsin Antibody,Red/Green
- 保质期:
1年
- 供应商:
上海睿安生物13611631389
- 保存条件:
运输wet ice
- 规格:
100μg/支
Sigma货号AB5405现货Anti-Opsin Antibody,Red/Green上海睿安生物13611631389
Sigma货号AB5405抗视蛋白抗体(红色/绿色)13611631389上海睿安生物
抗视蛋白抗体,红色/绿色
Chemicon®,from rabbit
别名:Anti-CBBM,Anti-CBP,Anti-COD5,Anti-RCP,Anti-ROP
说明
一般描述
人类的全部颜色辨别是基于三种视锥细胞感光机制的存在和功能。每种视锥类型都具有由11-顺式视黄醛和独特的视蛋白组成的光敏色素-蛋白复合物,其在光谱的短波长(S视锥,峰值灵敏度约为420nm),中波长(M视锥,峰值灵敏度约为530nm,具有多态性;Winderckx et al.,1993;Neitz & Neitz,1998)和长波长(L视锥,峰值灵敏度约为560nm,具有多态性;Neitz & Jacobs,1990)下都具有灵敏度。全部三种视蛋白是具有七个跨膜区域的跨膜蛋白。三种类型的视锥蛋白和视杆感光视紫红质基因的基因似乎是同源的,具有不同的保守程度。最强的保守性在X染色体上的中波长(绿色)和长(红色)波长敏感色素之间,表明相对较新的复制/发散事件(Nathans,1989;Nathans et al.,1992)。S视锥(蓝色)视蛋白位于7号染色体上,似乎与视紫红质具有更强的保守性。人的视锥细胞光受体分布主要由M和L视锥色素控制。
特异性
与其他物种的反应性尚未确定
识别视蛋白,红/绿。
免疫原
表位:红/绿
重组人红/绿视蛋白。
应用
免疫组化:在福尔马林固定,石蜡包埋的小鼠视网膜组织上1:200-1:300。
最佳工作稀释度必须由最终用户进行确定。抗视蛋白抗体,红/绿可检测视蛋白的水平&已发表& 经验证可用于IH(P)。


质量
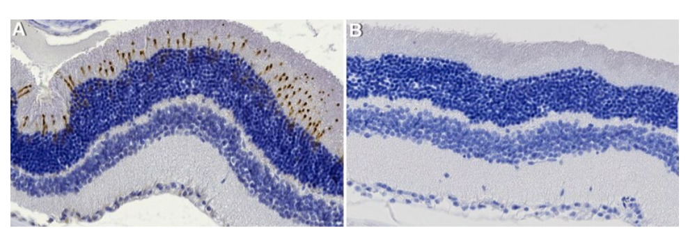
免疫组化(石蜡)分析:视蛋白(目录号:AB5405)在小鼠眼中的染色模式。用pH 6.0的柠檬酸盐预处理的组织。使用带有HRP-DAB的IHC-Select Detection将这批抗体稀释至1:200。 免疫反应仅限于负责光感受的锥体细胞。
用柠檬酸盐缓冲液,pH值6.0进行最佳染色,表位修复:小鼠眼
外形
Protein A chromatography,在含有PBS,0.02M磷酸盐,0.25M NaCl,pH值7.6和0.1%叠(dié)(dàn)化(huà)(nà)钠的缓冲液中纯化的兔多克隆抗体。 形式:纯化
储存及稳定性:自收到之日起,以未稀释形式在2-8°C可稳定保存6个月。请勿冷冻。保持小瓶密封良好,以防止蒸发。
其他说明
浓度:请参考批次特异性浓缩物的分析证书。
法律信息:CHEMICON is a registered trademark of Merck KGaA, Darmstadt, Germany
免责声明:Unless otherwise stated in our catalog or other company documentation accompanying the product(s), our products are intended for research use only and are not to be used for any other purpose, which includes but is not limited to, unauthorized commercial uses, in vitro diagnostic uses, ex vivo or in vivo therapeutic uses or any type of consumption or application to humans or animals.

同行评审论文(部分文献)

一、╳※试剂※╳PBMC分离服务:PBMC/人外周血单个核细胞/PBMC细胞/人外周血单个核细胞/冻存PBMC/hPBMC单个核细胞

风险提示:丁香通仅作为第三方平台,为商家信息发布提供平台空间。用户咨询产品时请注意保护个人信息及财产安全,合理判断,谨慎选购商品,商家和用户对交易行为负责。对于医疗器械类产品,请先查证核实企业经营资质和医疗器械产品注册证情况。
文献和实验
Sigma货号AB5405现货Anti-Opsin Antibody,Red/Green上海睿安生物13611631389
Sigma货号AB5405抗视蛋白抗体(红色/绿色)13611631389上海睿安生物
抗视蛋白抗体,红色/绿色
Chemicon®,from rabbit
别名:Anti-CBBM,Anti-CBP,Anti-COD5,Anti-RCP,Anti-ROP
说明
一般描述
人类的全部颜色辨别是基于三种视锥细胞感光机制的存在和功能。每种视锥类型都具有由11-顺式视黄醛和独特的视蛋白组成的光敏色素-蛋白复合物,其在光谱的短波长(S视锥,峰值灵敏度约为420nm),中波长(M视锥,峰值灵敏度约为530nm,具有多态性;Winderckx et al.,1993;Neitz & Neitz,1998)和长波长(L视锥,峰值灵敏度约为560nm,具有多态性;Neitz & Jacobs,1990)下都具有灵敏度。全部三种视蛋白是具有七个跨膜区域的跨膜蛋白。三种类型的视锥蛋白和视杆感光视紫红质基因的基因似乎是同源的,具有不同的保守程度。最强的保守性在X染色体上的中波长(绿色)和长(红色)波长敏感色素之间,表明相对较新的复制/发散事件(Nathans,1989;Nathans et al.,1992)。S视锥(蓝色)视蛋白位于7号染色体上,似乎与视紫红质具有更强的保守性。人的视锥细胞光受体分布主要由M和L视锥色素控制。
特异性
与其他物种的反应性尚未确定
识别视蛋白,红/绿。
免疫原
表位:红/绿
重组人红/绿视蛋白。
应用
免疫组化:在福尔马林固定,石蜡包埋的小鼠视网膜组织上1:200-1:300。
最佳工作稀释度必须由最终用户进行确定。抗视蛋白抗体,红/绿可检测视蛋白的水平&已发表& 经验证可用于IH(P)。


质量
免疫组化(石蜡)分析:视蛋白(目录号:AB5405)在小鼠眼中的染色模式。用pH 6.0的柠檬酸盐预处理的组织。使用带有HRP-DAB的IHC-Select Detection将这批抗体稀释至1:200。 免疫反应仅限于负责光感受的锥体细胞。
用柠檬酸盐缓冲液,pH值6.0进行最佳染色,表位修复:小鼠眼
外形
Protein A chromatography,在含有PBS,0.02M磷酸盐,0.25M NaCl,pH值7.6和0.1%叠(dié)(dàn)化(huà)(nà)钠的缓冲液中纯化的兔多克隆抗体。 形式:纯化
储存及稳定性:自收到之日起,以未稀释形式在2-8°C可稳定保存6个月。请勿冷冻。保持小瓶密封良好,以防止蒸发。
其他说明
浓度:请参考批次特异性浓缩物的分析证书。
法律信息:CHEMICON is a registered trademark of Merck KGaA, Darmstadt, Germany
免责声明:Unless otherwise stated in our catalog or other company documentation accompanying the product(s), our products are intended for research use only and are not to be used for any other purpose, which includes but is not limited to, unauthorized commercial uses, in vitro diagnostic uses, ex vivo or in vivo therapeutic uses or any type of consumption or application to humans or animals.

同行评审论文(部分文献)

一、╳※试剂※╳PBMC分离服务:PBMC/人外周血单个核细胞/PBMC细胞/人外周血单个核细胞/冻存PBMC/hPBMC单个核细胞

荧光 C0304 兔抗大鼠 IgG(H+L)/FITC 0.1ml 130 绿色荧光 C0305 山羊抗兔 IgG(H+L)/TRITC 0.1ml 130 红色荧光 C0306 山羊抗小鼠 IgG(H+L)/TRITC
抗体间的固有结合力,可以平衡常数K表示:K=[Ag·Ab]/[Ag][Ab]。Ag·Ab的解离程度与K值有关。高亲和力抗体的抗原结合点与抗原的决定簇在空间构型上非常适合,两者结合牢固,不易解离。解离后的抗原或抗体均能保持原有的结构和活性,因此可用亲和层析法来提纯抗原或抗体。在抗血清中,特异性的IgG抗体仅占总IgG中的极小部分。用亲和层析法提取的特异性抗体,称为亲和层析纯抗体,应用于免疫测定中可得到更好的效果。1.3.2 最适比例 在恒定量的抗体中加入递增量的抗原形成抗体复合物(沉淀)的量见图
技术资料需要更多技术资料 索取更多技术资料
资料下载:
⁺询订13611631389微信同号.png 附 (下载 0 次)
610012187上海睿安生物科技公司SLSCC化学类2025授权书Merck.pdf 附 (下载 0 次)
35579720上海睿安生物科技有限SLSCC化学类2025授权书Sigma.pdf 附 (下载 0 次)
610012187上海睿安生物SLSCA分析化学品Merck标准物质2025授权.pdf 附 (下载 0 次)
35579720上海睿安生物SLSCA分析化学品Sigma标准物质2025授权.pdf 附 (下载 0 次)
请 [登录] 后再下载!





