万千商家帮你免费找货
0 人在求购买到急需产品
- 详细信息
- 文献和实验
- 技术资料
- 供应商:
上海联祖
- 库存:
36
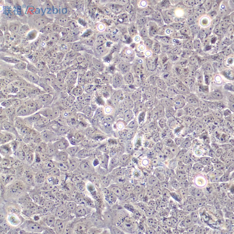
- 英文名:
NIT-1
- 生长状态:
贴壁生长
- 是否是肿瘤细胞:
否
- 细胞形态:
上皮样
- 规格:
T25培养瓶
| 细胞名称 | NIT-1细胞 |
| 货号 | LZ-X969207 |
| 规格 | 1×10⁶/T25培养瓶 |
| 形态特征 | 上皮样 |
| 生长特性 | 贴壁生长 |
| 完全培养基 | DMEM+10%FBS |
| 培养条件 | 温度:37℃ |
| 传代方法 | 1:2-1:3传代,每周换液CQ-E2次 |
| 特征特性 |
公司正在出售的产品:
| FibrOut™大鼠胸腺成纤维抑制剂 Rat FibrOut™ 8, for thymus | 293 [HEK-293]人胚肾细胞 293 human embryonic kidney cell line [HEK-293] DMEM+10% FBS溶液0,05mol/(0.1)NA |
| 人肺大静脉内皮细胞【Human Lung: Pulmonary Vein Endothelial Cells】 | Romas(人瘤细胞) 5×106cells/瓶×2 WI-38(人二倍体胚肺细胞)葡聚糖D70/右旋糖苷质量规格:Mw:63000~77000,USP32Dextran D70 |
| PARP3 Others Human 人 PARP-3 / PARP3 杆状病毒-昆虫细胞裂解液 (阳性对照) 2,6-二溴蒽醌(>95.0%(HPLC))质量规格:>95.0%(HPLC)2,6-Dibromoanthraquinone | 人男性正常细胞;Hs68 人结肠粘膜上皮细胞完全培养基 100mL表木栓醇(标准品)FRIEDELAN-3BETA-OL质量规格:鉴别 |
| 人小肠粘膜组织提取物【Intestinal: Normal Human Intestinal Mucosa Derivatives】 | Spike Others MERS-CoV 中东呼吸综合征 MERS-CoV (HCoV-EMC/2012) Spike Protein S1 Protein (aa 1-725) 杆状病毒-昆虫细胞裂解液 (阳性对照) 精乙基噁唑禾草灵(标准品)质量规格:分析标准品,97%Fenoxaprop-p-ethyl |
| SHG-44 (人胶质瘤细胞) 5×106cells/瓶×2 食蟹猴 / 恒河猴 c-MET / HGFR 人细胞裂解液 (阳性对照) 1115-69-1N-乙酰-DL-α-酸2-Acetylamino-propionic acid | 小鼠诱导性多潜能干细胞;PUMC-mips-B6 II型胶原酶(含10mL酶解缓冲液) 1mL芦竹碱Gramine质量规格:HPLC≥98%,标准品 |
| 人胆道癌组织源细胞提取物【Human Cancer: Biliary Tract Cancer Tissues Cells Derivatives】 | 恒河猴肾细胞;LLC-MK2促肾上腺皮质激素(1-39),大鼠ACTH (1-39), rat质量规格:>95%,BR |
| 人胚胎肌肉组织来源细胞;CCC-HSM-2去甲基西立伐他汀钠盐Desmethyl Cerivastatin, Salt | 人皮肤成纤维细胞;HSAS4 人胎盘绒毛膜细胞完全培养基 100mLONX-0914 (PR-957)ONX0914;PR957质量规格:>98%,immunoproteasome抑制剂 |
| Primarker™大鼠晶状体上皮细胞鉴定试剂盒 | DIRAS3 Others Human 人 ARHI / DIRAS3 人细胞裂解液 (阳性对照) 蛋白酶K(进分)质量规格:≥30units/mg protein,sigma分装Proteinase K |
| HCT116, 人结直肠癌细胞 垂体瘤,AtT20细胞 COS-7(非洲青猴肾细胞)乙酸铔,英文名或英文缩写:Ammonium acetate,级别:BR,规格:250毫克 | RPRD1B Others Human 人 RPRD1B 人细胞裂解液 (阳性对照) 罗格列酮(钾盐)Rosiglitazone (potassium salt) |
| 小鼠肾小管上皮细胞提取物 | 成人皮肤成纤维细胞取物 |
| BSG823细胞,人胃癌细胞 人神经上皮瘤细胞,SK-N-SH细胞 瘤牛皮肤细胞;BIN-S1ε-聚赖氨酸Epsilon Polylysine 质量规格:溶解性数据为19.8,分子量小于5000 | 人卵巢组织提取物 |
| 人肝窦内皮细胞 (HHSEC) ( 5×105 )异补骨脂素(标准品)Angelicin质量规格:HPLC≥98%,标准品 | 人死亡相关蛋白1酶联免疫试剂盒 |
| NIT-1细胞HPAC细胞,人胰腺腺泡上皮癌 人舌癌细胞,T6细胞 杂交瘤(B类);C3110D2E11梣酮(标准品)Fraxinellone质量规格:HPLC≥98%,标准品 | 人抗麦胶蛋白抗体酶联免疫试剂盒 |
| 中国仓鼠卵巢细胞(亚系克隆);CHO-HCV-NS5A 肺癌细胞,LLC Lewis细胞 PCK细胞,大黄鱼肾细胞拉罗皮兰,MK0524质量规格:>98%,BRLaropiprant,MK-0524 | 人胆碱转运体样蛋白4酶联免疫试剂盒 |
| 人绒毛膜内皮细胞倍他司汀一盐酸盐Betahistine Hydrochloride | 人11β羟类固醇脱氢酶1型酶联免疫试剂盒 |
注意事项:
1.收到细胞后,若发现干冰已挥发干净、冻存管瓶盖脱落、破损及细胞有污染,请立即与我们系。
2.收到细胞先不开瓶盖,瓶身擦拭酒精后放在培养箱静置2-4小时(视细胞密度而定)稳定细胞状态。接着在倒置显微镜下观察细胞生长情况,并对细胞进行不同倍数拍照(建议收细胞时就整体外观拍一张照片,观察培养基的颜色和是否有漏液情况,随后在显微镜下拍下细胞状态,100*,200*各一张),观察记录细胞在运输过程中是否有污染情况。作为我方进行销售依据。
3.由于细胞状态受环境、操作和运输等多方面因素影响,故本公司只保证客户收到细胞后一周内的细胞状态,故客户需要售后时需出示收到细胞的时间证明及客户提供收货时间和发现问题后客服人员沟通的时间证明,期间间隔时间不能大于7天。
4.所有动物细胞均视为有潜在的生物危害性,必须在二级生物安全台内操作,并请注意防护,所有废液及接触过此细胞的器皿需要灭菌后方能丢弃。
5.客户在细胞培养过程中任何问题可联系我们在线客服,我们随时给予解答。
风险提示:丁香通仅作为第三方平台,为商家信息发布提供平台空间。用户咨询产品时请注意保护个人信息及财产安全,合理判断,谨慎选购商品,商家和用户对交易行为负责。对于医疗器械类产品,请先查证核实企业经营资质和医疗器械产品注册证情况。
文献和实验细胞治疗是细胞和基因治疗的重要组成部分,它通过使用特定类型的细胞来修复、替换或调节受损的组织和器官。在细胞治疗中,不同类型的细胞因其独特的生物学特性而被广泛应用于多种疾病的治疗。以下是一些常用的细胞类型及其在细胞治疗中的应用。 (1)免疫细胞 免疫细胞是细胞治疗中最重要且研究最多的细胞类型之一,主要包括 T 细胞、自然杀伤细胞(NK 细胞)和树突状细胞(DC 细胞)。 T 细胞:T 细胞是人体免疫系统的核心细胞,具有强大的抗肿瘤能力。CAR-T 细胞疗法是目前最成功的免疫细胞治疗技术
简介 细胞增殖/细胞毒性测定是涉及培养细胞的研究中最常用的测试之一。 其是检查用于治疗的药物浓度的基本初步测试,也是确定各种研究领域(如肿瘤学和细胞死亡)药物疗效和安全性的非常重要的测试。 传统上,WST-8 或 ATP 检测(使用代谢活性作为指标)和 BrdU 或胸腺嘧啶核苷检测(使用 DNA 合成水平作为指标)已用于细胞生长特性的定量评估。 尽管这些检测由于其简易性和吞吐量而对我们有益,但这些检测都是间接评估方法,因此结果可能与实际细胞数无关。 在许多情况下,这些检测是终点评估,有时会
对于贴壁生长的细胞,相对来说比较简单但也很麻烦。以下我主要讨论贴壁生长的细胞。 在讨论之前,大家首先要有一个概念,即洁净区,并不是没有细菌,而是细菌的数量非常少,国家标准100级的洁净标准是浮游菌数不得超过5个每立方米,沉降菌数不得超过1个每培养皿.而国外的标准比我国的还要高一点,要求的数量更少。 所以在我们的洁净操作台里,并不是真正一个细菌都没有的,所以在操作的时候还是要尽量利索迅速地完成操作。尽量减少进入培养体系细菌的数量。 所以处理细菌污染的重要原则就是:无限地稀释细菌的浓度,无限地减少
技术资料暂无技术资料 索取技术资料









