万千商家帮你免费找货
0 人在求购买到急需产品
- 详细信息
- 文献和实验
- 技术资料
- 供应商:
上海联祖
- 库存:
45
- 英文名:
OE-33
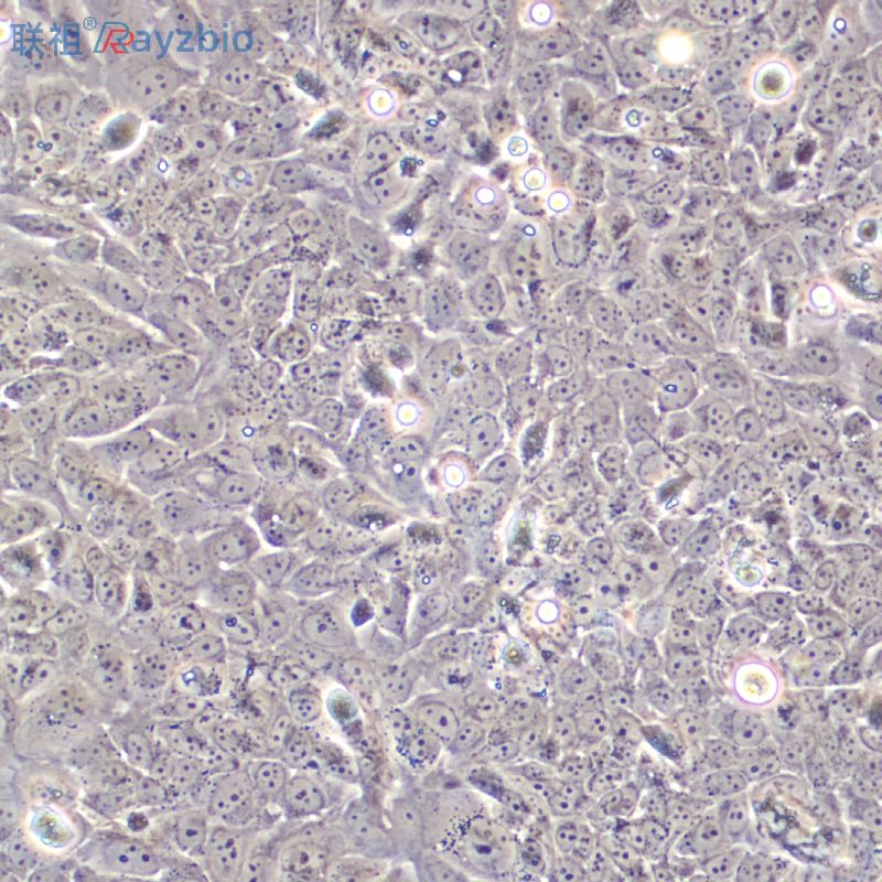
- 生长状态:
贴壁生长
- 器官来源:
食管腺癌
- 是否是肿瘤细胞:
否
- 细胞形态:
上皮样
- 规格:
T25培养瓶
| 细胞名称 | OE-33细胞 |
| 货号 | LZ-X969212 |
| 规格 | 1×10⁶/T25培养瓶 |
| 形态特征 | 上皮样 |
| 生长特性 | 贴壁生长 |
| 完全培养基 | RPMI 1640 + 2mM Glutamine +10% FBS |
| 培养条件 | 温度:37℃ |
| 传代方法 | 1:2传代 |
| 特征特性 | 1993年从一位73岁的白人女性原发肿瘤中发现Barrett食管腺癌;文献中描述细胞在裸鼠体内产生肿瘤;细胞系也称为JROECL33. |
公司正在出售的产品;
| SF17 人脑瘤细胞 1ml/T75 | 5烟酰胺腺嘌呤双核苷酸BETANICOTINAMIDE ADENINE DINUCLEOTIDE |
| 6-10B, 人鼻咽癌细胞系 Human 现货 | BOCL天门冬酸β... BocAsp(OBzl)OH (HPLC,≥99.0) 3 5G 通用试剂 |
| 786-O [786-0], 人透明腺癌细胞 Human 现货 | 副溶血弧菌 英文名; Vibrio parahaemolyticus 规格; 冻干粉 桃吉尔霉 Gilbertella persicaria 冻干粉 28℃;5-7天;好氧; 肠炎沙门氏菌肠炎亚种 Salmonella enterica subsp.enterica 模式菌株 no 37℃;18-24h;好氧 |
| Ishikawa, 人内膜癌细胞系 Human 现货 | 2,5Diamino3,4thiopxenedicarboxylic acid dietxyl ester 80 |
| 上皮细胞 1×106 5×106 | 锆分 300目(易制暴) ZIRCONIUM 407 |
| U251(人胶质瘤细胞) 5×106cells/瓶×2 | N2N'... HEPES (cell culture tested, ≥99.5%) 9 25G 通用试剂 |
| RabbitS2 黑家兔皮肤成纤维样细胞 | 庆大霉素琼脂taMycin agar; |
| 大鼠肥大细胞类胰凝乳蛋白酶免疫试剂盒 Rat Mast Cell Chymase ELISA Kit | 暗黑橄榄链霉菌 Streptomyces atroolivaceus |
| B16-F0 小鼠黑色素瘤细胞 1ml/T75 | 8243双琥珀辛二酸酯磺酸钠盐 ≥% (HNMR)(20°C)BS3 |
| MCF/Adr 人癌阿霉素耐药细胞 | 成套pH缓冲剂 Nc |
| 人CD82分子(CD82)免疫试剂盒 Human CD82 ELISA Kit | metxylGreen甲基绿25克BR,98% |
| 人脑微血管内皮细胞 英文名称: HBMEC | 胞苷5’三鳞醋二内盐 Cytidinq5'triphosphctq diwo7ium sclt dihydrctq 810 |
| OE-33细胞HT-29(人结肠癌细胞) 5×106cells/瓶×2 | 11916 1Kg/袋 incubation media 11916 1Kg/袋 |
| CLIAKitforVEGF-D(HumanVascularEndothelialcellGrowthFactorD)ELISAKIT人血管内皮细胞生长因子D规格:48T/96T | 无水嶙酸二氢钠shēng huà shì jì容量:保存:20℃5克 |
| 培养皿 9cm培养皿 10只/包,500只/箱 | 58对本4Bromobenzoic acid |
注意事项;
1.收到细胞后,若发现干冰已挥发干净、冻存管瓶盖脱落、破损及细胞有污染,请立即与我们联系。
2.收到细胞先不开瓶盖,瓶身擦拭酒精后放在培养箱静置2-4小时(视细胞密度而定)稳定细胞状态。接着在倒置显微镜下观察细胞生长情况,并对细胞进行不同倍数拍照(建议收细胞时就整体外观拍一张照片,观察培养基的颜色和是否有漏液情况,随后在显微镜下拍下细胞状态,100*,200*各一张),观察记录细胞在运输过程中是否有污染情况。作为我方进行销售依据。
3.由于细胞状态受环境、操作和运输等多方面因素影响,故本公司只保证客户收到细胞后一周内的细胞状态,故客户需要售后时需出示收到细胞的时间证明及客户提供收货时间和发现问题后客服人员沟通的时间证明,期间间隔时间不能大于7天。
4.所有动物细胞均视为有潜在的生物危害性,必须在二级生物安全台内操作,并请注意防护,所有废液及接触过此细胞的器皿需要灭菌后方能丢弃。
5.客户在细胞培养过程中任何问题可联系我们在线客服,我们随时给予解答。
风险提示:丁香通仅作为第三方平台,为商家信息发布提供平台空间。用户咨询产品时请注意保护个人信息及财产安全,合理判断,谨慎选购商品,商家和用户对交易行为负责。对于医疗器械类产品,请先查证核实企业经营资质和医疗器械产品注册证情况。
文献和实验小鼠白细胞介素33(IL-33) 酶联免疫 分析 试剂 盒使用说明书 本试剂仅供研究使用 目的:本试剂盒用于测定小鼠血清,血浆及相关液体样本中白细胞介素33(IL-33)的含量。 实验原理 : 本试剂盒应用双抗体夹心法测定 标本 中 小鼠白细胞介素33 ( IL-33 ) 水平。用纯化的 小鼠白细胞介素33 ( IL-33 ) 抗体包被微孔板,制成固相抗体,往包被单抗的微孔中依次加入 白细胞介素33 ( IL-33
白细胞介素 IL-33 IL-33主要产生细胞:黏膜等多种组织细胞 IL-33氨基酸数目:270/266 IL-33分子质量(kDa):30/29.9 IL-33受体:IL-1受体;ST2 IL-33主要生物学活性:激活NFκB和MAPK途径,促进Th2细胞表达IL-4、1D5和IL-l3
人 白细胞介素33(IL-33) 酶联免疫 分析( ELISA ) 试剂 盒使用说明书 本试剂仅供研究使用 目的:本试剂盒用于测定人血清,血浆及相关液体样本中白细胞介素33(IL-33) 的 含量。 实验原理 : 本试剂盒应用双抗体夹心法测定 标本 中 人白细胞介素33(IL-33) 水平。用纯化的 白细胞介素33(IL-33) 抗体包被微孔板,制成固相抗体,往包被单抗的微孔中依次加入 白细胞介素33(IL-33
技术资料暂无技术资料 索取技术资料










