万千商家帮你免费找货
0 人在求购买到急需产品
- 详细信息
- 文献和实验
- 技术资料
- 供应商:
上海联祖
- 库存:
39
- 英文名:
HPAF-II
- 生长状态:
贴壁生长
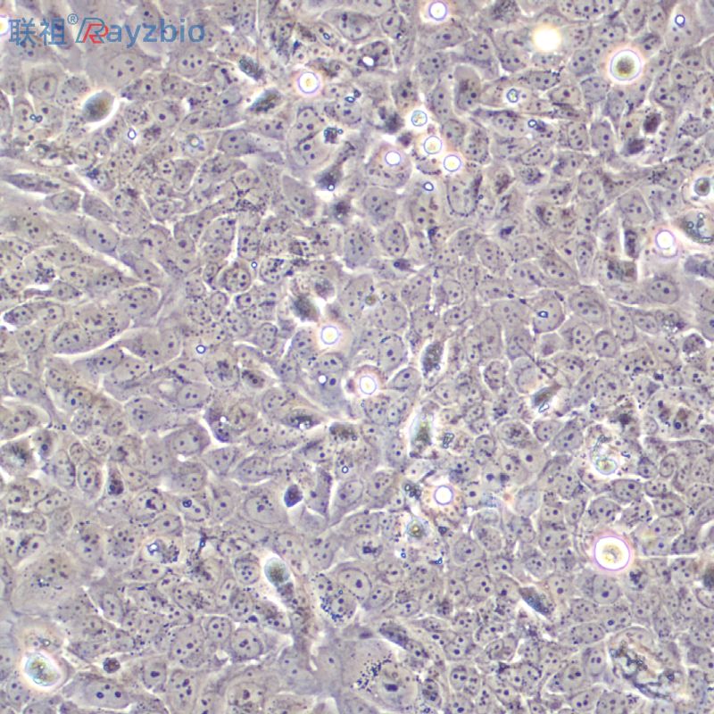
- 器官来源:
白人 男 胰腺
- 是否是肿瘤细胞:
否
- 细胞形态:
上皮样
- 规格:
T25培养瓶
| 细胞名称 | HPAF-II细胞 |
| 货号 | LZ-X968596 |
| 规格 | 1×10⁶/T25培养瓶 |
| 形态特征 | 上皮样 |
| 生长特性 | 贴壁生长 |
| 完全培养基 | DMEM(高糖)+10%FBS |
| 培养条件 | 温度:37℃ |
| 传代方法 | 1:2传代 |
| 特征特性 | 人胰腺癌细胞HPAF II是从静置培养的HPAF-1细胞中增殖而来,具有无限增殖能力的自发性变体。细胞表达Muc 1和Muc 4粘蛋白基因,并高分泌Muc 1粘蛋白。它们是多形性的,在培养过程中可能会发生一些自发的分化。每个批次均通过本库支原体检测,结果为阴性。经本库STR检测结果无误。STR结果如下:D5S818: 11,13;D13S317: 12;D7S820: 10,13;D16S539: 11,13;vWA: 17;THO1: 9;Amelogenin: X;TPOX: 6,8;CSF1PO: ₗ伸ₗ |
公司正在出售的产品;
| 5637, 人膀胱癌细胞 | Φ100mm细胞培养皿shēng huà shì jì容量:保存:20℃2U |
| 细胞名称 种属 | MRVP 培养基 (Clarks and Lubs 培养基) (CM0043) Oxoid incubation media MRVP 培养基 (Clarks and Lubs 培养基) (CM0043) Oxoid |
| Raji(人Butt's淋巴瘤细胞) 5×106cells/瓶×2 | 生孢梭菌 英文名; Clostridium sporogenes 规格; 冻干粉 表皮球菌 Staphylococcus epidermidis 冻干粉 37℃;18-24h;好氧 薄盖灵芝(薄树芝) Ganoderma capense 模式菌株 no 28℃;5-7天;好氧; |
| BGC823(人胃癌细胞) 5×106cells/瓶×2 | 改良rv培养基 Rv 250 |
| QBC-939, 人胆管癌细胞 Human 现货 | 本加醋异丁酯,98+% Nc |
| AE1202 人肺转化细胞系 1ml/T75 | 226尿苷5’二糖二钠盐 (20℃)URIDINE 5'DIPHOSPHOGLUCOSE DIwo7ium SALT |
| COLO320/DM 人结肠癌细胞 | 沙保罗氏琼脂 Nc |
| HumanLongactingthyroidstimulator,LATSELISAKit 人长效甲状腺刺激素(LATS)ELISA试剂盒 96T/48T 进口分装 | 霍氏肠杆菌 英文名; Enterobacter hormaechei ss hoffmannii 规格; 冻干粉 拟无枝酸菌 75iv2 Amycolatopsis sp. 冻干粉 30℃,24-48h,好氧 汤卜逊沙门氏菌 Salmonella thompson 模式菌株 no 37℃;24-48h;好氧; |
| WHB 巴氏吸管 1ml吸管,未灭菌 250支/包,18包/箱 | HotTaqDNA聚合酶,英文名或英文缩写:Hot Taq DNA Polymerase,级别:层析,200NADu/mg,液体,规格:25毫克 |
| CCC-SMC-2 兔主动脉平滑肌细胞 1ml/T75 | pxenanthrene, 9(triethoxysilyl) 7 |
| 人CD44分子(CD44)免疫试剂盒 Human CD44 ELISA Kit | 2苯盐酸盐 2Bromophenylhydr hydrochloride 507036 5G 通用试剂 |
| 大鼠冠状动脉平滑肌细胞完全培养基 100mL | 二乙三胺五乙酸 Diethylenetriaminepentaacetic acid (≥... 436 5G 通用试剂 |
| HPAF-II细胞HET-1A, 人食管上皮细胞 Human | L-BacterialHypertonicSaltBroth |
| HumanCompleme1inhibitoraoaibody,C1INHELISA试剂盒人补体1抑制物抗体(C1INH)ELISA试剂盒规格:96T/48T | 12207 猪肺疫疫苗培养基 1 万 ml/袋 用于猪肺疫疫苗制备 incubation media 12207 猪肺疫疫苗培养基 1 万 ml/袋 用于猪肺疫疫苗制备 |
| CTLL-2细胞,小鼠T细胞 人前列腺癌细胞,9L-B细胞 人绒毛间叶成纤维细胞RNAHVMF miRNA5 μg | 2,5Dimetxylpxenylhydrezine xy7nochloride 51 |
注意事项;
1.收到细胞后,若发现干冰已挥发干净、冻存管瓶盖脱落、破损及细胞有污染,请立即与我们联系。
2.收到细胞先不开瓶盖,瓶身擦拭酒精后放在培养箱静置2-4小时(视细胞密度而定)稳定细胞状态。接着在倒置显微镜下观察细胞生长情况,并对细胞进行不同倍数拍照(建议收细胞时就整体外观拍一张照片,观察培养基的颜色和是否有漏液情况,随后在显微镜下拍下细胞状态,100*,200*各一张),观察记录细胞在运输过程中是否有污染情况。作为我方进行销售依据。
3.由于细胞状态受环境、操作和运输等多方面因素影响,故本公司只保证客户收到细胞后一周内的细胞状态,故客户需要售后时需出示收到细胞的时间证明及客户提供收货时间和发现问题后客服人员沟通的时间证明,期间间隔时间不能大于7天。
4.所有动物细胞均视为有潜在的生物危害性,必须在二级生物安全台内操作,并请注意防护,所有废液及接触过此细胞的器皿需要灭菌后方能丢弃。
5.客户在细胞培养过程中任何问题可联系我们在线客服,我们随时给予解答。
风险提示:丁香通仅作为第三方平台,为商家信息发布提供平台空间。用户咨询产品时请注意保护个人信息及财产安全,合理判断,谨慎选购商品,商家和用户对交易行为负责。对于医疗器械类产品,请先查证核实企业经营资质和医疗器械产品注册证情况。
文献和实验V294.PART II,Chapter 5 细胞粘附实验(英文版)
PART II:BASIC CELL MIGRATION AND RELATED ASSAYS vol.294 Guan J.-L. (ed.) Cell Migration-Developmental Methods and Protocols Chapter 5 Cell-Adhesion Assays Dennis F. Kucik and Chuanyue Wu Summary One of the most important
0:00 应用MHC II型四聚体观察抗原特异性CD4+ T细胞0 0:09 内容简介9 0:21 订阅内容21 1:05 T细胞染色65 3:21 试剂和仪器201 5:44 在工作区组装原料和仪器344 6:04 第一步: 分离PBMC 364 8:51 第二步: 分离CD4+细胞531 11:01 第三步: 体外扩大培养661 13:34 第四步: 利用四聚体的染色观察T细胞814 15:33 结论933 本视频来源于网络,如有异议请联系
V294.PART II,Chapter 4 细胞迁移实验之Dunn趋化迁移培养皿法及时序显微镜分析法
PART II:BASIC CELL MIGRATION AND RELATED ASSAYS vol.294 Guan J.-L. (ed.) Cell Migration-Developmental Methods and Protocols Chapter 3 Analysis of Cell Migration Using the Dunn Chemotaxis Chamber and Time-Lapse Microscopy Claire M. Wells
技术资料暂无技术资料 索取技术资料










