相关产品推荐更多 >
万千商家帮你免费找货
0 人在求购买到急需产品
- 详细信息
- 询价记录
- 文献和实验
- 技术资料
- 供应商:
厦门逸漠生物科技有限公司
- 库存:
999
- 英文名:
无
- 规格:
200ml
产品介绍
由IMMOCELL研发团队精心研制的人脐带间充质干细胞成骨诱导分化试剂盒,包含适合人脐带间充质干细胞生长的基础培养基、优级胎牛血清及诱导细胞分化所需的添加物。 本产品适用于脐带间充质干细胞的成骨诱导分化。大量细胞培养数据验证,本产品可稳定、高效诱导上述细胞分化为成骨细胞。
注意:本产品仅提供给进一步科研使用,不可用于临床治疗等其他用途。
| 成骨分化套装成分 | 货号 | 体积 |
| Mesenchymal Stem Cells Osteogenic Differentiation Medium MSC-ODM |
IMC-011-M | 180mL |
| 优级胎牛血清 | IMC-101-10 | 20mL |
| Supplement For Mesenchymal Stem Cells Osteogenic Differentiation A 间充质干细胞成骨诱导分化添加物A |
IMC-011-A | 1mL |
| Alizarin Red S 茜素红 | IMC-901 | 10mL |
| Gelatin明胶 | IMC-902 | 10mL |
质量控制
通过细菌、真菌、支原体、内毒素检测。
通过渗透压、pH检测。
通过产品性能检测
处理原则
1.严格的无菌环境。务必保证实验室整体和操作区域的清洁。
2.规范的操作方式。请按照产品说明书描述的方式操作,严格控制变量,做好对照实验。
3.各成分需按照保存条件妥善存放,并尽快使用。
4.若短期内无法用完整套培养基,应按套装内各成分体积比例分批配制并分装保存。
产品稳定性及保存条件
1.套装内所有成分均需避光保存。
2.套装内基础培养基需置于4℃冰箱保存,保质期为1年;其他成分需置于-20℃保存,保质期为2年。
3.配制后的完全培养基,需放置4℃保存,保质期为1个月;若能保证培养条件稳定,容器密封性能良好,避免冷热交替,则保质期可适当延长,但不得超过45天。
4.所有产品请于保质期内使用;过期的成分可能严重影响培养效果
完全培养基的配制
所需材料
1.人脐带间充质干细胞成骨诱导分化试剂盒
2.清洁、无菌、质量稳定的一次性耗材(移液管、移液器吸头、离心管等)
3.洁净的封口膜
4.铝箔纸等避光材料
操作步骤
1.配制前至少6h,将套装中的优级胎牛血清(以下简称血清)放置于4℃冰箱内完全融化。
注意:融化后的血清中可能出现絮状物,其主要成分为析出的血纤蛋白,这不会影响产品使用效果。若不是对细胞培养体系的纯净度要求极高,我们不建议过滤或离心去除絮状物。
2.配制前至少30min,将套装中人脐带间充质干细胞成骨诱导分化添加物(以下简称添加物)放置于4℃冰箱内,直至完全融化。
3.上下颠倒或轻弹试剂管以混匀试剂。
4.用75%医用酒精仔细擦拭所有成分外包装。在超净台内打开包装。
5.将血清、添加物全部加入细胞基础培养基(以下简称基础培养基)中。
6.取少量基础培养基,洗涤各瓶、管,尽可能将所有成分全部加入基础培养基中。
7.拧紧基础培养基瓶盖,轻柔并充分摇匀。
8.用封口膜密封瓶口,用铝箔纸包裹瓶身,并标注名称、配制日期等信息。
特别提醒
1.若短期内无法用完全部培养基,我们建议分批配制;请按照套装内各成分比例,配制所需量;但剩余的成分必须严格按照各自的保存条件妥善保存,并且不可多次冻融。
2.人脐带间充质干细胞成骨诱导分化试剂盒内的所有成分都严格控制无菌,一般情况下我们不建议再次除菌。若配制过程有污染风险,可将完全培养基过滤除菌。
3.配制完成的成骨诱导分化培养基,请分装为小份,避免整瓶培养基反复温浴和冷藏交替
诱导分化操作流程
所需材料
1.人脐带间充质干细胞成骨诱导分化试剂盒
2.0.1%明胶溶液
3.Phosphate-BufferedSaline(1×PBS)
操作步骤
注意
1)本操作规程以六孔板为例,请根据实际情况选用合适的培养容器;
2)为减少诱导过程细胞漂起、不贴壁,建议使用明胶包被培养容器;
3)诱导培养基在使用前均需预热至37℃。
1.加1mL0.1%明胶到六孔板中,摇匀,使其能均匀覆盖各孔底面。
2.将铺有0.1%明胶的六孔板放置在超净台或CO2培养箱至少30min。
3.30min后吸去明胶即可用于接种细胞,或等待六孔板晾干再接种。
4.将待诱导的人脐带间充质干细胞按照2×104cells/cm2的细胞密度接种于六孔板中,每孔加入2mL普通完全培养基。
5.细胞置于37℃、5%CO2、饱和湿度的CO2培养箱中培养。
6.当细胞融合度达到70%时,小心地将孔内完全培养基吸走,向六孔板中加入2mL人脐带间充质干细胞成骨诱导分化培养基。
7.每隔3天换用新鲜的人脐带间充质干细胞成骨诱导分化培养基。
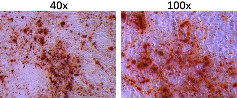
8.诱导2~4周后,视细胞的形态变化及生长情况,用茜素红进行染色。
注意:为防止成骨细胞脱落、钙结节损失,建议成骨过程中出现明显钙结节之后,每三天半量换液一次
茜素红染色分析
所需材料
1.Phosphate-BufferedSaline(1×PBS)
2.4%多聚 或10%
3.茜素红染色液
操作步骤
注意:
1)为防止钙结节脱落,所有操作尽可能轻缓;
2)茜素红使用前请恢复至室温;如果染色效果较差,可适当延长染色时间;
3)请确认出现钙结节后再进行染色。
1.成骨诱导分化结束后,吸去六孔板中的成骨诱导分化完全培养基,用1×PBS轻柔洗涤2~3次。
2.每孔加入2mL4%多聚 (或10% ),室温固定30min。
3.吸去固定液,用1×PBS轻柔洗涤2~3次,确保将固定液清洗彻底。
4.每孔加入2mL茜素红工作液,室温染色5~10min。
5.吸去茜素红染色液,用1×PBS轻柔洗涤2~3次,充分洗去多余染色液。
6.每孔加入2mL1×PBS,将培养板置于显微镜下观察成骨染色效果。
7.染色后的六孔板用封口膜封装后,置于4℃可保存2周
染色效果图



风险提示:丁香通仅作为第三方平台,为商家信息发布提供平台空间。用户咨询产品时请注意保护个人信息及财产安全,合理判断,谨慎选购商品,商家和用户对交易行为负责。对于医疗器械类产品,请先查证核实企业经营资质和医疗器械产品注册证情况。
- 作者
- 内容
- 询问日期
文献和实验【五分钟讲实验】BMSC细胞成骨诱导模型:从理论到实操全解析
研究 小鼠骨髓间充质干细胞(mBMSC) 取材方便,成模稳定 基础研究、基因功能验证 大鼠骨髓间充质干细胞(rBMSC) 体型适中,便于操作 动物实验、组织工程 2. 关键试剂与耗材 基础培养体系: - 细胞专用完全培养基 - 0.25% 胰蛋白酶(消化传代) - 双抗(青霉素-链霉素) 诱导分化体系: - 成骨诱导分化试剂盒(含地塞米松、β-甘油磷酸、抗坏血酸等) - 茜素红染色液(钙结节鉴定) 实验器械: - 超净工作台、CO₂培养箱
NEB 发布:GenomONE™ 为诱导 iPSC 形成「保驾护航」
间充质干细胞(MSC, mesenchymal stem cells)是干细胞家族的重要成员,属于多能干细胞,因其具有多向分化潜能、造血支持和促进干细胞植入、免疫调控和自我复制等特点而日益受到人们的关注。诱导性多能性的间充质干细胞(iPMSCs)是药物筛选、再生医学和细胞治疗的新型候选药物。然而,用于生成骨髓间充质干细胞的诱导性多能性间充质干细胞(iPSC),在导入编码基因的转录因子中,往往伴随有在靶细胞基因组的插入时发生突变的风险。 由于近年来对骨髓间充质干细胞认知地深入,在造血系统、免疫
2+ 通道硫巯基化,来维持间充质干细胞的功能和骨稳态。骨髓间充质干细胞产生H2S协助调节自我更新和成骨分化。H2S 缺乏会导致 Ca2+TRP 通道上多个半光氨酸残基的硫巯基化程度降低,产生钙内流异常。异常的钙内流会下调 PKC/Erk- 介导的 Wnt/β-catenin 信号,从而影响到成骨分化。结果提示通过无毒供体恢复 H2S 水平,可以治疗 H2S 缺乏导致的骨质疏松症等疾病。 有趣的事情来了。在验证 H2S 通过 Ca2+ 通道的巯基化调节钙内流时,研究人员将 BMMSCs 分成了 2 组
技术资料









