相关产品推荐更多 >
万千商家帮你免费找货
0 人在求购买到急需产品
- 详细信息
- 文献和实验
- 技术资料
- 免疫原:
Recombinant fragment of human OASL.
- 亚型:
IgG
- 形态:
Liquid
- 保存条件:
Store as concentrated solution. Centrifuge briefly prior to opening vial. For short-term storage (1-2 weeks), store at 4ºC. For long-term storage, aliquot and store at -20ºC or below. Avoid multiple freeze-thaw cycles.
- 克隆性:
Monoclonal
- 标记物:
Unconjugated
- 保质期:
12 months from the shipping date of the product.
- 抗原来源:
Human
- 目录编号:
GTX638616
- 级别:
Primary Antibodies
- 库存:
Available
- 供应商:
GeneTex
- 宿主:
Rabbit
- 应用范围:
WB
- 浓度:
1 mg/ml (Please refer to the vial label for the specific concentration.)
- 抗体英文名:
OASL antibody [HL2399]
- 抗体名:
OASL 抗体 [HL2399]
- 规格:
100 μl/25 μl
| 规格: | 100 μl | 产品价格: | ¥4000.0 |
|---|---|---|---|
| 规格: | 25 μl | 产品价格: | ¥1700.0 |
Untreated (–) and treated (+) HeLa whole cell extracts (30 μg) were separated by 10% SDS-PAGE, and the membrane was blotted with OASL antibody [HL2399] (GTX638616) diluted at 1:1000. The HRP-conjugated anti-rabbit IgG antibody (GTX213110-01) was used to detect the primary antibody.
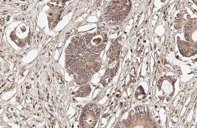
OASL antibody [HL2399] detects OASL protein at cytoplasm by immunohistochemical analysis.
Sample: Paraffin-embedded human colon cancer.
OASL stained by OASL antibody [HL2399] (GTX638616) diluted at 1:100.
Antigen Retrieval: Citrate buffer, pH 6.0, 15 min
Non-transfected (–) and transfected (+) 293T whole cell extracts (30 μg) were separated by 10% SDS-PAGE, and the membrane was blotted with OASL antibody [HL2399] (GTX638616) diluted at 1:10000. The HRP-conjugated anti-rabbit IgG antibody (GTX213110-01) was used to detect the primary antibody.
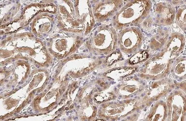
OASL antibody [HL2399] detects OASL protein at cytoplasm by immunohistochemical analysis.
Sample: Paraffin-embedded rat kidney.
OASL stained by OASL antibody [HL2399] (GTX638616) diluted at 1:100.
Antigen Retrieval: Citrate buffer, pH 6.0, 15 min
风险提示:丁香通仅作为第三方平台,为商家信息发布提供平台空间。用户咨询产品时请注意保护个人信息及财产安全,合理判断,谨慎选购商品,商家和用户对交易行为负责。对于医疗器械类产品,请先查证核实企业经营资质和医疗器械产品注册证情况。
文献和实验: Antibody generation and production against adhesion structures (protocol number 03141), expire in March 2003. Another protocol is pending: Role of adhesion molecules in leukocyte trafficking. Animal Facility Animals are maintained
Lightning-Link 30 seconds hands on Very Easy to use 100% Antibody Recovery No separation steps Little antibody needed Easy to Scale Up Over 40 available labels http://www.youtube.com/v/w0XmU
charge (GEC) for three human acute myelogenous leukemia (AML) cell lines: HL60 (M3 subtype of AML), THP1 (M5 subtype of AML), and HEL (M6 subtype of AML) in French-American-British classification (FAB) and for one chronic myelogenous leukemia (CML) cell
技术资料暂无技术资料 索取技术资料






![IL2 Receptor alpha antibody [K231.3B2]](https://img1.dxycdn.com/2022/0328/348/1156470668501400453-14.jpg!wh200)
![SOCS2 antibody [GT1326]](https://img1.dxycdn.com/2022/0328/449/2731436767830800453-14.jpg!wh200)



