万千商家帮你免费找货
0 人在求购买到急需产品
- 详细信息
- 询价记录
- 文献和实验
- 技术资料
- 服务名称:
石蜡冰冻切片免疫组化
- 提供商:
XSL
免疫组化
应用免疫学基本原理,通过标记的特异性抗体(或抗原)对组织内抗原(或抗体)的分别进行组织和细胞原位检测,从而进行定位、定性及相对定量的研究。
实验意义
1.免疫组织化学可应用于恶性肿瘤的病理诊断和科研工作。
2.可与组织化学染色方法的形态学诊断相结合,提高疑难肿瘤的鉴别诊断的准确率,并为肿瘤进行进一步的病理分型。
3.指导和提供临床治疗方案的选择。
实验步骤
1.石蜡切片免疫组化: ①67℃烘箱烘片2小时,常规脱蜡至水,用pH 7.4的PBS冲洗三次,每次3 min; ②将切片置于沸腾的柠檬酸盐缓冲液中中档微波处理10 min,蒸馏水冲洗三次,PBS冲洗三次,每次3 min; ③3%H2O2室温孵育10 min阻断内源性过氧化物酶的活性,PBS冲洗三次,每次3 min; ④5~10%正常山羊血清(PBS稀释)封闭,室温孵育10 min,吸去血清后滴加稀释至适当比例的一抗,37℃孵育1-2 h或者 4℃孵育过夜; ⑤PBS冲洗三次,每次3 min;⑥滴加稀释至适当比例的带标记二抗,37℃孵育10~30 min,PBS冲洗三次,每次3 min; ⑦滴加适当比例稀释的辣根酶标记物工作液,37℃孵育10~30 min,PBS冲洗三次,每次3 min; ⑧显色剂显色,自来水充分冲洗,复染细胞核,酒精脱水、二甲苯透明、中性树胶封固。
2.冰冻切片免疫组化: ①新鲜组织立即在恒冷冰冻切片机内切片,厚度为5~6 μm; ②载玻片可不打底,裱片后立刻用电吹风吹干; ③染色前需用冷丙.酮4℃固定10~20 min; ④PBS洗2次,每次5 min; ⑤3%H2O2灭活内源性过氧化物酶20 min,需避光处理; ⑥后续血清封闭与抗体孵育步骤与石蜡切片相似,最后脱水透明封片进行观察。 结果展示:
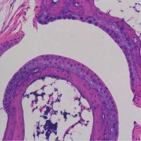
石蜡切片免疫组化
冰冻切片免疫组化
实验完成周期及交付标准
1.实验周期:1-2周
2.交付标准:蜡块、切片、荧光图片、半定量分析、实验报告(实验步骤、试剂、仪器等)
需确认的信息
1.是做石蜡切片还是冰冻切片(推荐做石蜡切片)
2.样本的种属和类型,是组织还是细胞?
3.样本的数量
4.是否提供一抗,我方可代购
5.半定量分析要求 6.拍照要求
欢迎咨询详谈,我们会根据您的方案及需求制定详细的服务协议。
应用免疫学基本原理,通过标记的特异性抗体(或抗原)对组织内抗原(或抗体)的分别进行组织和细胞原位检测,从而进行定位、定性及相对定量的研究。
实验意义
1.免疫组织化学可应用于恶性肿瘤的病理诊断和科研工作。
2.可与组织化学染色方法的形态学诊断相结合,提高疑难肿瘤的鉴别诊断的准确率,并为肿瘤进行进一步的病理分型。
3.指导和提供临床治疗方案的选择。
实验步骤
1.石蜡切片免疫组化: ①67℃烘箱烘片2小时,常规脱蜡至水,用pH 7.4的PBS冲洗三次,每次3 min; ②将切片置于沸腾的柠檬酸盐缓冲液中中档微波处理10 min,蒸馏水冲洗三次,PBS冲洗三次,每次3 min; ③3%H2O2室温孵育10 min阻断内源性过氧化物酶的活性,PBS冲洗三次,每次3 min; ④5~10%正常山羊血清(PBS稀释)封闭,室温孵育10 min,吸去血清后滴加稀释至适当比例的一抗,37℃孵育1-2 h或者 4℃孵育过夜; ⑤PBS冲洗三次,每次3 min;⑥滴加稀释至适当比例的带标记二抗,37℃孵育10~30 min,PBS冲洗三次,每次3 min; ⑦滴加适当比例稀释的辣根酶标记物工作液,37℃孵育10~30 min,PBS冲洗三次,每次3 min; ⑧显色剂显色,自来水充分冲洗,复染细胞核,酒精脱水、二甲苯透明、中性树胶封固。
2.冰冻切片免疫组化: ①新鲜组织立即在恒冷冰冻切片机内切片,厚度为5~6 μm; ②载玻片可不打底,裱片后立刻用电吹风吹干; ③染色前需用冷丙.酮4℃固定10~20 min; ④PBS洗2次,每次5 min; ⑤3%H2O2灭活内源性过氧化物酶20 min,需避光处理; ⑥后续血清封闭与抗体孵育步骤与石蜡切片相似,最后脱水透明封片进行观察。 结果展示:
石蜡切片免疫组化
冰冻切片免疫组化
实验完成周期及交付标准
1.实验周期:1-2周
2.交付标准:蜡块、切片、荧光图片、半定量分析、实验报告(实验步骤、试剂、仪器等)
需确认的信息
1.是做石蜡切片还是冰冻切片(推荐做石蜡切片)
2.样本的种属和类型,是组织还是细胞?
3.样本的数量
4.是否提供一抗,我方可代购
5.半定量分析要求 6.拍照要求
欢迎咨询详谈,我们会根据您的方案及需求制定详细的服务协议。
风险提示:丁香通仅作为第三方平台,为商家信息发布提供平台空间。用户咨询产品时请注意保护个人信息及财产安全,合理判断,谨慎选购商品,商家和用户对交易行为负责。对于医疗器械类产品,请先查证核实企业经营资质和医疗器械产品注册证情况。
- 作者
- 内容
- 询问日期
文献和实验相关实验
脱蜡和水化 将切片依次浸入二甲苯Ⅰ10 min,二甲苯Ⅱ(10 min)。 再次浸入无水乙醇Ⅰ(5 min)-无水乙醇Ⅱ(5 min)-95%酒精(5 min)-80%酒精(5 min)-70%酒精(5 min),然后去离子水冲洗2次,每次2 min。 抗原修复 (可选) 将组织切片放入修复盒,然后加入适量 0.01M 枸橼酸缓冲液(pH 6.0)或 EDTA 修复液(pH 9.0),液面要浸没组织。 微波中档修复 10 min(液体沸腾时开始计时),此过程中勿使组织干片
无论是在教学科研中,还是在病理诊断领域,病理切片染色是不可缺少的环节。其规范操作流程包括取材、固定、脱水、包埋、切片、染色、结果分析等,每个步骤都有各自的难点和注意事项。本次讲座主要涉及组织预处理方法和注意事项,以及石蜡切片的免疫组织化学染色技术的原理、操作流程和结果分析等经验分享。
和浸蜡时间 75%乙醇30min,85%乙醇30min,95%乙醇Ⅰ1h,Ⅱ1h,Ⅲ过夜或2h;无水乙醇Ⅰ、Ⅱ和Ⅲ各30min;二甲苯Ⅰ15min, Ⅱ10min,Ⅲ10min;石蜡Ⅰ30min,石蜡Ⅱ30min,石蜡Ⅲ1~2h。 五、冰冻切片的保存和使用 1、冰冻切片固定后-80℃保存备用 2 、冰冻切片从-80℃取出,凉干或电吹风吹干后可直接进行免疫组化标记。
技术资料暂无技术资料 索取技术资料
石蜡冰冻切片免疫组化
询价










