万千商家帮你免费找货
0 人在求购买到急需产品
- 详细信息
- 技术资料
- 服务名称:
拍照(白光)
- 提供商:
XSL
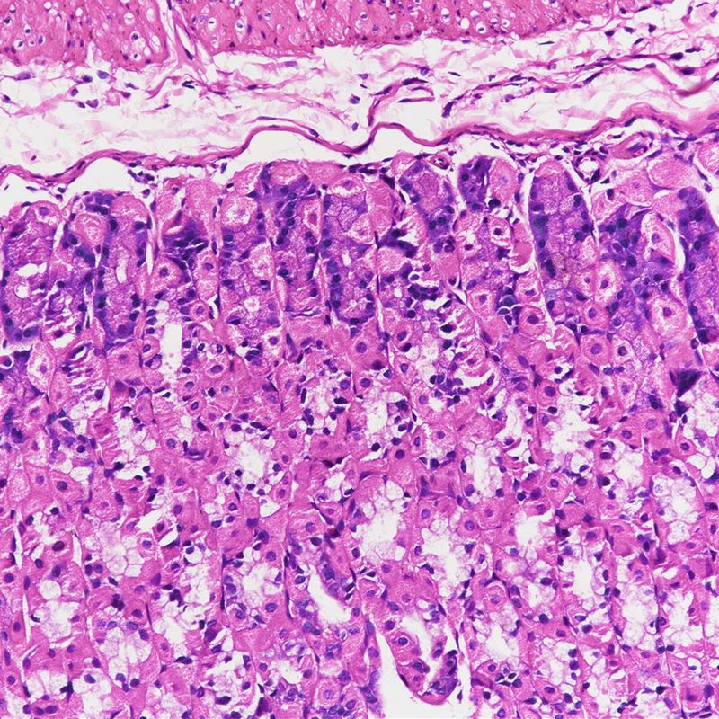
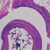
白光拍照,即白光显微镜,是光学仪器的一种。以太阳光为光源, 用以照射被检物体, 使之发出白光, 然后在显微镜下观察物体的形状及其所在位置。
服务说明
对染好的切片或者组织芯片进行拍照,并判读其阳性率、肿瘤面积等内容进行分析。
注意事项
1、明确拍照部位;
2、明确拍照倍数(一般为40、100、200、400);
3、明确需要我们分析哪些内容。
欢迎咨询详谈,我们会根据您的方案及需求制定详细的服务协议。
服务说明
对染好的切片或者组织芯片进行拍照,并判读其阳性率、肿瘤面积等内容进行分析。
注意事项
1、明确拍照部位;
2、明确拍照倍数(一般为40、100、200、400);
3、明确需要我们分析哪些内容。
欢迎咨询详谈,我们会根据您的方案及需求制定详细的服务协议。
风险提示:丁香通仅作为第三方平台,为商家信息发布提供平台空间。用户咨询产品时请注意保护个人信息及财产安全,合理判断,谨慎选购商品,商家和用户对交易行为负责。对于医疗器械类产品,请先查证核实企业经营资质和医疗器械产品注册证情况。
技术资料暂无技术资料 索取技术资料
拍照(白光)
询价








