万千商家帮你免费找货
0 人在求购买到急需产品
- 详细信息
- 询价记录
- 文献和实验
- 技术资料
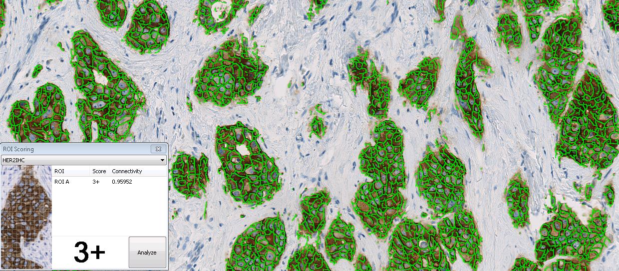
- 服务名称:
病理定量阳性率分析
- 提供商:
XSL
分析项目介绍:
1.常规细胞定量分析,其不限于某几种染色方法,如KI67,ER,PR,PAP,Bc1-2,HER2,EGFR等,特异染色的图像均可以进行分析;
A. 细胞核定量分析 包括阳性细胞/阴性细胞的区分检出,并针对阳性细胞进行强阳性、弱阳性的区分,得出更细致与精确的分析数据,如各类核数目,核面积,核比率等;
B.细胞膜定量分析 细胞膜自动检出,对于膜染色的区域,可以“一键式”完成膜检测,并进行面积、强度等的分析,快速准确,并根据软件自有算法,转换评分;
图二膜检测
图3膜检测(癌变区域检测) C.细胞质定量分析 系统可以在细胞核的基础上准确的细胞质定位,排除非细胞位置细胞质的误判;并可以根据细胞阴阳性的不同,对相应的细胞质进行区分,从而分别进行阳性细胞质/阴性细胞质的面积或强度分析;
图4 细胞质检测(区分阴性、阳性细胞)
D.微弱光信号的分析(X-ISH) 针对不同的微弱光信号图像,例如FISH ,CISH ,SISH等,可进行基因探针的计数/比率等分析,可针对两种不同的探针信号进行同时分析;
图5 CISH检测(红、蓝色区域可同时检测)
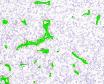
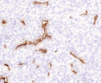
E.组织微脉管分析 不仅仅只针对细胞可以进行定量分析,针对许多特定的染色微结构,如脉管等,也可以进行相关分析,如染色强度/染色面积等的分析;
图6 微型脉管检测
F.特定组织结构类分析 如下图中,对组织中表皮厚度的分析测量,首先通过软件精确找到所要分析的表皮组织,然后利用特定分析功能,将此区域的面积和中轴线的长度标记完成,通过计算两者之比,即可实现表皮组织厚度的分析;
图7 表皮组织厚度分析
图8 胰岛素细胞检测分析
G.更智能的深度分析 深度分析是指用户在分析完图像后,对分析结果可以按照自己的意图进行更完整的修缮;根据细胞形状/面积/染色强度等优化,如染色时出现的杂质,经过深度分析,可以轻易的滤除;
客户提供
组织或病理切片
欢迎咨询详谈,我们会根据您的方案及需求制定详细的服务协议。
风险提示:丁香通仅作为第三方平台,为商家信息发布提供平台空间。用户咨询产品时请注意保护个人信息及财产安全,合理判断,谨慎选购商品,商家和用户对交易行为负责。对于医疗器械类产品,请先查证核实企业经营资质和医疗器械产品注册证情况。
- 作者
- 内容
- 询问日期
文献和实验、260nm、280nm和310nm波长下读数,还可扫描动态吸收图谱。 三 结果与分析 1. 完整的RNA的甲醛电泳可明显地观察到28S和18S两条带(见图3.1),并且28S大约是18S的两倍宽。若两条带不明显, 则说明RNA部分降解,可能的原因是污染了RNase, 或操作剧烈。 2. 定量测定DNA或RNA,应选260nm、230nm、 280nm和310nm波长读数。其中260nm读数用来估算样品中核酸浓度,310nm为背景吸收值。1个OD260值相当于40μg/mLRNA。样品浓度(μg
混淆,各有其使用上的特色,不要互用。标准品及样本:标准品系列:使用小试管准备一组BSA (b) 标准品的系列稀释:◆ 配制一定要精准,否则校正直线不会很准确;各种试剂的添加,若自稀往浓取样,则可以不用换吸管头。未知样本:再以上述unknown BSA (c) 准备两种未知样本:Label 未知样本 (c) Buffer A-0 Final Conc.一般样本:1) 通常由色析法所收集到的各分划样本,都可以直接进行蛋白质定量分析;但若其中含有某些干扰因子 (如含有Triton),或样本的浓度
扩增曲线的分析攻略。 1、确认软件设置是否正确 对照试剂盒说明书,检查时间、温度、循环数、荧光采集等是否设置正确。有一个比较容易忽略的设置问题是,需要看下所选用的试剂中是否含有 ROX 来作为参比荧光染料。Applied Biosystems™ 系列荧光定量 PCR 仪器可以用 ROX 来作为参比荧光染料,用以校正仪器系统以外的物理误差,比如均一化校正由于移液误差或者蒸发导致的批内体积误差等。目前市面上有的的荧光定量 PCR 预混液是不含有 ROX 的,当用此类试剂的时候,应该将 ROX 参比
技术资料暂无技术资料 索取技术资料








