相关产品推荐更多 >
万千商家帮你免费找货
0 人在求购买到急需产品
- 详细信息
- 文献和实验
- 技术资料
- 免疫原:
Carrier-protein conjugated synthetic peptide encompassing a sequence within the center region of SARS-CoV-2 Spike (S1) (SARS-CoV-2 (strain Wuhan-Hu-1)). The exact sequence is proprietary.
- 亚型:
IgG
- 形态:
Liquid
- 保存条件:
Store as concentrated solution. Centrifuge briefly prior to opening vial. For short-term storage (1-2 weeks), store at 4ºC. For long-term storage, aliquot and store at -20ºC or below. Avoid multiple freeze-thaw cycles.
- 克隆性:
Monoclonal
- 标记物:
Unconjugated
- 适应物种:
SARS Coronavirus 2
- 保质期:
12 months from the shipping date of the product.
- 抗原来源:
SARS Coronavirus 2
- 目录编号:
GTX635692
- 级别:
Primary Antibodies
- 库存:
Available
- 供应商:
GeneTex
- 宿主:
Rabbit
- 应用范围:
WB, ICC/IF, IHC-P, ELISA, IHC-P (cell pellet)
- 浓度:
1 mg/ml (Please refer to the vial label for the specific concentration.)
- 靶点:
This antibody detects SARS-CoV-2 Spike protein, but does not cross-react with SARS-CoV or MERS-CoV spike proteins based on our internal testing.
- 抗体英文名:
SARS-CoV-2 (COVID-19) Spike RBD antibody [HL257]
- 抗体名:
SARS-CoV-2 (COVID-19) Spike RBD 抗体 [HL257]
- 规格:
100 μl/25 μl
| 规格: | 100 μl | 产品价格: | ¥4000.0 |
|---|---|---|---|
| 规格: | 25 μl | 产品价格: | ¥1700.0 |
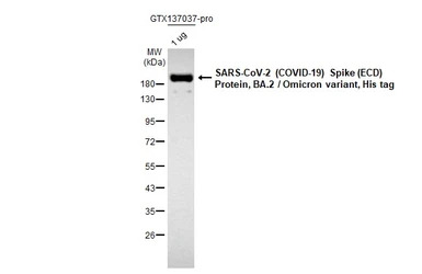
SARS-CoV-2 (COVID-19) Spike (ECD) Protein, BA.2 / Omicron variant, His tag (1 μg, GTX137037-pro) were separated by 12% SDS-PAGE, and the membrane was blotted with SARS-CoV-2 (COVID-19) Spike RBD antibody [HL257] (GTX635692) diluted at 1:5000. The HRP-conjugated anti-rabbit IgG antibody (GTX213110-01) was used to detect the primary antibody.
SARS-CoV-2 (COVID-19) Spike RBD antibody [HL257] detects SARS-CoV-2 (COVID-19) Spike RBD protein by immunohistochemical analysis.Sample: Paraffin-embedded non-infected (left) and infected (right) human placenta.SARS-CoV-2 (COVID-19) Spike RBD stained by SARS-CoV-2 (COVID-19) Spike RBD antibody [HL257] (GTX635692) diluted at 1:500.Antigen Retrieval: Citrate buffer, pH 6.0, 20 min
The IHC-P was performed by HISTOWIZ.
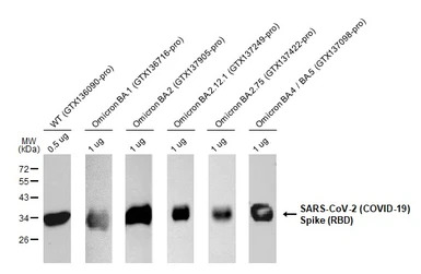
Various SARS-CoV-2 (COVID-19) Spike RBD proteins were separated by 12% SDS-PAGE, and the membrane was blotted with SARS-CoV-2 (COVID-19) Spike RBD antibody [HL257] (GTX635692) diluted at 1:5000. The HRP-conjugated anti-rabbit IgG antibody (GTX213110-01) was used to detect the primary antibody.
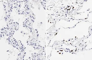
SARS-CoV-2 (COVID-19) Spike RBD antibody [HL257] detects SARS-CoV-2 (COVID-19) Spike RBD protein by immunohistochemical analysis.Sample: Paraffin-embedded non-infected (left) and infected (right) human lung.SARS-CoV-2 (COVID-19) Spike RBD stained by SARS-CoV-2 (COVID-19) Spike RBD antibody [HL257] (GTX635692) diluted at 1:1000.Antigen Retrieval: Citrate buffer, pH 6.0, 20 minThe IHC-P was performed by HISTOWIZ.
SARS-CoV-2 Spike S1 (L18F, D80A, D215G, R246I, K417N, E484K, N501Y, D614G), South Africa variant, His tag (0.25 μg, GTX136095-pro) was separated by 12% SDS-PAGE, and the membrane was blotted with SARS-CoV-2 (COVID-19) Spike RBD antibody [HL257] (GTX635692) diluted at 1:5000. The HRP-conjugated anti-rabbit IgG antibody (GTX213110-01) was used to detect the primary antibody.
Indirect ELISA analysis performed by coating plate with recombinant SARS-CoV-2 (COVID-19) Spike RBD protein, His tag (active) protein (GTX01546-pro) (62.5-4000 ng/mL). Coated protein probed with SARS-CoV-2 (COVID-19) Spike RBD antibody [HL257] (GTX635692) (1 μg/mL). Rabbit IgG antibody (HRP) (GTX213110-01) (1:10000) detected bound primary antibody.
SARS-CoV-2 Spike S1 (L18F, T20N, P26S, D138Y, R190S, K417T, E484K, N501Y, D614G, H655Y), Brazil variant, His tag (0.25 μg, GTX136094-pro) was separated by 12% SDS-PAGE, and the membrane was blotted with SARS-CoV-2 (COVID-19) Spike RBD antibody [HL257] (GTX635692) diluted at 1:5000. The HRP-conjugated anti-rabbit IgG antibody (GTX213110-01) was used to detect the primary antibody.
Indirect ELISA analysis was performed by coating the plate with recombinant SARS-CoV-2 (COVID-19) Spike RBD protein, His tag (active) (GTX136090-pro) (159.36-2.49 nM). Coated protein was probed with SARS-CoV-2 (COVID-19) Spike RBD antibody [HL257] (GTX635692) (1 μg/mL). Goat anti-rabbit IgG antibody (HRP) (GTX213110-01) (1:10000) was used to detect the bound primary antibody.
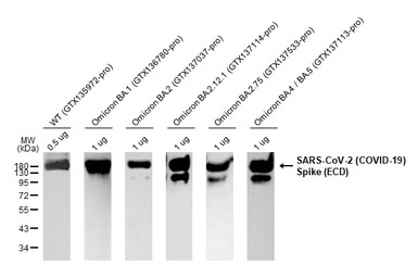
Various SARS-CoV-2 (COVID-19) Spike RBD proteins were separated by 12% SDS-PAGE, and the membrane was blotted with SARS-CoV-2 (COVID-19) Spike RBD antibody [HL257] (GTX635692) diluted at 1:5000. The HRP-conjugated anti-rabbit IgG antibody (GTX213110-01) was used to detect the primary antibody.
风险提示:丁香通仅作为第三方平台,为商家信息发布提供平台空间。用户咨询产品时请注意保护个人信息及财产安全,合理判断,谨慎选购商品,商家和用户对交易行为负责。对于医疗器械类产品,请先查证核实企业经营资质和医疗器械产品注册证情况。
文献和实验Ii K et al. iScience 2025; 28 (11) : 113659 Flavivirus-based bivalent nanoparticle vaccines induce neutralizing antibodies and Th1 responses against flavivirus and coupling antigens.
Ii et al. iScience 2025; 28 : 113659 Flavivirus-based bivalent nanoparticle vaccines induce neutralizing antibodies and Th1 responses against flavivirus and coupling antigens
F Lei et al. PLoS Pathog 2025; 21 (9) : e1013526 The F1148 hydrophobic lock: A critical determinant of SARS-CoV-2 spike protein-mediated membrane fusion via the 3H/CH cavity
R An et al. Signal Transduct Target Ther 2024; 9 (1) : 301 A protein vaccine of RBD integrated with immune evasion mutation shows broad protection against SARS-CoV-2
Wang Z et al. Virus Res 2024; 345 : 199378 A live attenuated influenza B virus vaccine expressing RBD elicits protective immunity against SARS-CoV-2 in mice.
M Nogami et al. Research Square 2023; Anti-Spike Protein Antibody Immunoreactivity Is Widely Expressed in Human Lymph Nodes with or without Pfizer-BioNTech or Moderna mRNA Vaccination in Non-Infected Individuals
Mikhaleva L et al. Biomedicines 2023; 11 (10) Pathomorphological Features of the Novel Coronavirus Disease in Patients with Systemic Amyloidosis.
L Mikhaleva et al. Biomedicines 2023; Pathomorphological Features of the Novel Coronavirus Disease in Patients with Systemic Amyloidosis
Su R et al. Virology 2023; 585 : 145-154 A Trim-RBD-GEM vaccine candidate protects mice from SARS-CoV-2.
Greco S et al. Front Med (Lausanne) 2023; 10 : 1127529 Case report: Tissue positivity for SARS-CoV-2 in a preterm born infant death of thrombosis: possible intrauterine transmission.
Rina Su et al. Virology 2023; A Trim-RBD-GEM vaccine candidate protects mice from SARS-CoV-2
Merino VF et al. Antiviral Res 2023; 211 : 105550 Nucleolin mediates SARS-CoV-2 replication and viral-induced apoptosis of host cells.
COVID-19 infection. Nature Scientifc Reports 2:MacMullan,MA et al. (2020) ELISA detection of SARS-CoV-2 antibodies in saliva. Nature Scientifc Reports 3:Hettegger,P et al. (2019) High similarity of IgG antibody profles in blood and saliva opens
中科院高福院士课题组 2020 年发表了哪些重要的研究成果?
:Science 9、Science 后再发 Nature!筛选出又一新冠病毒治疗性单克隆中和抗体DOI: 10.1038/s41586-020-2381-y继之前发表在 Science 上报道筛选出新冠病毒中和抗体后,2020 年 5 月 26 日,高福院士再次联合严景华等人在 Nature 发文:A human neutralizing antibody targets the receptor-binding site of SARS-CoV-2。该研究报告了从 COVID-19 恢复期的患者中分离出两
日前,北京大学生命科学学院魏文胜课题组在 Cell 杂志上在线发表题为“Circular RNA Vaccines against SARS-CoV-2 and Emerging Variants”的研究论文。 魏文胜团队首先建立了体外高效制备高纯度环状 RNA 的技术平台,针对新型冠状病毒及其变异株,设计了编码新冠病毒刺突蛋白(Spike)受体结构域(RBD)的环状 RNA 疫苗。 该项研究中制备的针对新冠病毒德尔塔变异株的环状 RNA 疫苗(circRNARBD
技术资料暂无技术资料 索取技术资料





![VWF antibody [3E2D10]](https://img1.dxycdn.com/2023/0711/451/6106825198874858761-14.jpg!wh200)



