相关产品推荐更多 >
万千商家帮你免费找货
0 人在求购买到急需产品
- 详细信息
- 文献和实验
- 技术资料
- 免疫原:
Recombinant human vWF fragment spanning around aa 845-949 (exact sequence is proprietary)
- 亚型:
IgG1
- 形态:
Liquid
- 保存条件:
Store as concentrated solution. Centrifuge briefly prior to opening vial. For short-term storage (1-2 weeks), store at 4ºC. For long-term storage, aliquot and store at -20ºC or below. Avoid multiple freeze-thaw cycles.
- 克隆性:
Monoclonal
- 标记物:
Unconjugated
- 适应物种:
Human
- 保质期:
12 months from the shipping date of the product.
- 抗原来源:
Human
- 目录编号:
GTX35165
- 级别:
Primary Antibodies
- 库存:
Available
- 供应商:
GeneTex
- 宿主:
Mouse
- 应用范围:
WB, ICC/IF, IHC-P, FACS, IP
- 浓度:
0.2 mg/ml (Please refer to the vial label for the specific concentration.)
- 靶点:
VWF
- 抗体英文名:
VWF antibody [3E2D10]
- 抗体名:
VWF 抗体 [3E2D10]
- 规格:
100 μg
IHC-P analysis of human pancreas tissue using GTX35165 VWF antibody [3E2D10].
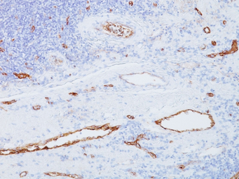
IHC-P analysis of human tonsil tissue using GTX35165 VWF antibody [3E2D10].
风险提示:丁香通仅作为第三方平台,为商家信息发布提供平台空间。用户咨询产品时请注意保护个人信息及财产安全,合理判断,谨慎选购商品,商家和用户对交易行为负责。对于医疗器械类产品,请先查证核实企业经营资质和医疗器械产品注册证情况。
文献和实验上海西唐生物科技有限公司 021-55229872, 65333639 www.westang.com 大鼠血管性血友病因子 (VWF)ELISA 试剂盒 ( 用于血清、血浆、细胞培养上清液和其它生物体液内 ) 原理 本实验采用双抗体夹心 ABC-ELISA 法。用抗大鼠 VWF 单抗包被于酶标板上,标准品和样品中的 VWF 与单抗结合,加入生物素化的抗大鼠 VWF ,形成免疫复合物连接在板上,辣根
上海西唐生物科技有限公司 021-55229872, 65333639 www.westang.com 小鼠血管性血友病因子 ( VWF )ELISA 试剂盒 ( 用于血清、血浆、细胞培养上清液和其它生物体液内 ) 原理 本实验采用双抗体夹心 ABC-ELISA 法。用抗小鼠 VWF 单抗包被于酶标板上,标准品和样品中的 VWF与单抗结合,加入生物素化的抗小鼠
Simultaneous Detection of Multiple Cytokines in ELISPOT Assays
-backed Millipore 96-well plates. Several cell stimulations were also used, including Concanavalin A, Phorbol Myristate Acetate (PMA) and calcium ionophore (Cal), phytohemagglutinin, CD3e, and lipopolysaccharide. Biotinylated antibodies were used
技术资料暂无技术资料 索取技术资料





![SCARA3 antibody [N2C2], Internal](https://img1.dxycdn.com/2023/0711/255/2344116916935858761-14.jpg!wh200)

![CD45RA antibody [F8-11-13]](https://custom.dxycdn.com/trademd/upload/pic/2011/12/14/1323695845.jpg!small.t.1)
![Vitronectin antibody [HV2]](https://img1.dxycdn.com/2023/0711/451/6106825198874858761-14.jpg!wh200)

