相关产品推荐更多 >
万千商家帮你免费找货
0 人在求购买到急需产品
- 详细信息
- 文献和实验
- 技术资料
- 免疫原:
Synthetic 20 amino acid peptide from N-terminal extracellular domain of human MCHR1.
- 亚型:
IgG
- 形态:
Liquid
- 保存条件:
Store as concentrated solution. Centrifuge briefly prior to opening vial. For short-term storage (1-2 weeks), store at 4ºC. For long-term storage, aliquot and store at -20ºC or below. Avoid multiple freeze-thaw cycles.
- 克隆性:
Polyclonal
- 标记物:
Unconjugated
- 适应物种:
Human, Monkey
- 保质期:
12 months from the shipping date of the product.
- 抗原来源:
Human
- 目录编号:
GTX17397
- 级别:
Primary Antibodies
- 库存:
Available
- 供应商:
GeneTex
- 宿主:
Rabbit
- 应用范围:
IHC-P
- 浓度:
1 mg/ml (Please refer to the vial label for the specific concentration.)
- 靶点:
MCH-1R
- 抗体英文名:
MCH-1R antibody
- 抗体名:
MCH-1R 抗体
- 规格:
25 μg
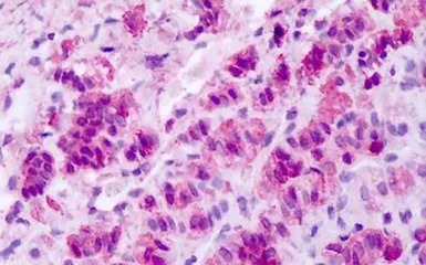
IHC-P analysis of human adrenal tissue using GTX17397 MCH-1R antibody.
Antigen retrieval : Heat-induced antigen retrieval
Dilution : 15-30 μg/ml
风险提示:丁香通仅作为第三方平台,为商家信息发布提供平台空间。用户咨询产品时请注意保护个人信息及财产安全,合理判断,谨慎选购商品,商家和用户对交易行为负责。对于医疗器械类产品,请先查证核实企业经营资质和医疗器械产品注册证情况。
文献和实验除了使用血红蛋白这个指标判断贫血外,还要参考红细胞数量,如二者比例失调,则需进一步参考平均红细胞体积,平均红细胞血红蛋白量及平均红细胞血红蛋白浓度及红细胞体积分布宽度,因不同病因引起的贫血,可使红细胞产生形态的变化,检查红细胞形态特点可协助临床寻找病因。在同一病历中,三个指数的变化,可将贫血分为大细胞性贫血、正常细胞性贫血、单纯小细胞性贫血、小细胞低色素性贫血,分类方法见下表。 贫血的MCV,MCH,MCHC 分类法 [英文缩写] 平均
小鼠基质细胞衍生因子-1R(SDF-1R)ELISA试剂盒 说明书
上海西唐生物科技有限公司 021-55229872, 65333639 www.westang.com 小鼠基质细胞衍生因子-1 R (SDF-1 R )ELISA 试剂盒 ( 用于血浆、细胞培养上清液和生物体液内 ) 原理 本实验采用双抗体夹心 ABC-ELISA 法。用抗小鼠SDF-1R 单抗包被于酶标板上,标准品和样品中的 SDF-1R与单抗结合,加入生物
Generation and Characterization of MacGreen Mice, the Cfs1r-EGFP Transgenic Mice
-fms (Csf1r ) protooncogene. The c-fms gene is expressed in macrophage, trophoblast cell lineages, and to some extent granulocytes. A reporter gene construct containing 3.5-kb of 5′ flanking sequence and the downstream intron 2 of the c-fms gene
技术资料暂无技术资料 索取技术资料






![RBM11 antibody [N2C3]](https://img1.dxycdn.com/2023/0516/407/0466332107306928561-14.jpg!wh200)
![ZAK antibody [N3C2], Internal](https://img1.dxycdn.com/2023/0516/895/8887749495766728561-14.jpg!wh200)
![CD45RO antibody [UCHL1]](https://img1.dxycdn.com/2023/0711/451/6106825198874858761-14.jpg!wh200)


