相关产品推荐更多 >
万千商家帮你免费找货
0 人在求购买到急需产品
- 详细信息
- 文献和实验
- 技术资料
- 免疫原:
Recombinant protein encompassing a sequence within the center region of human NRF1. The exact sequence is proprietary.
- 亚型:
IgG
- 形态:
Liquid
- 保存条件:
Store as concentrated solution. Centrifuge briefly prior to opening vial. For short-term storage (1-2 weeks), store at 4ºC. For long-term storage, aliquot and store at -20ºC or below. Avoid multiple freeze-thaw cycles.
- 克隆性:
Polyclonal
- 标记物:
Unconjugated
- 适应物种:
Human, Mouse, Rat
- 保质期:
12 months from the shipping date of the product.
- 抗原来源:
Human
- 目录编号:
GTX103179
- 级别:
Primary Antibodies
- 库存:
Available
- 供应商:
GeneTex
- 宿主:
Rabbit
- 应用范围:
WB, ICC/IF, IHC-P, IP
- 浓度:
1.32 mg/ml (Please refer to the vial label for the specific concentration.)
- 靶点:
NRF1
- 抗体英文名:
NRF1 antibody
- 抗体名:
NRF1 抗体
- 规格:
100 μl/25 μl
| 规格: | 100 μl | 产品价格: | ¥4000.0 |
|---|---|---|---|
| 规格: | 25 μl | 产品价格: | ¥1700.0 |
NRF1 antibody immunoprecipitates NRF1 protein in IP experiments.
IP samples: 293T whole cell extract
A. Control with 4 μg of preimmune Rabbit IgG
B. Immunoprecipitation of NRF1 protein by 4 μg NRF1 antibody (GTX103179)
10 % SDS-PAGE
The immunoprecipitated NRF1 protein was detected by NRF1 antibody (GTX103179) diluted at 1:1000.
[EasyBlot anti-rabbit IgG (GTX221666-01) was used as a secondary reagent]
NRF1 antibody detects NRF1 protein at nucleus by immunofluorescent analysis.
Sample: HeLa cells were fixed in 4% PFA at RT for 15 min.
Green: NRF1 stained by NRF1 antibody (GTX103179) diluted at 1:500.
Red: alpha Tubulin, a cytoskeleton marker, stained by alpha Tubulin antibody [GT114] (GTX628802) diluted at 1:1000.
Scale bar= 10μm.
NRF1 antibody detects NRF1 protein by western blot analysis.
A. 30 μg 293T whole cell lysate/extract
B. 30 μg 293T nuclear lysate/extract
C. 30 μg A431 whole cell lysate/extract |
D. 30 μg A431 nuclear lysate/extract
E. 30 μg HeLa whole cell lysate/extract
F. 30 μg HeLa nuclear lysate/extract
G. 30 μg HepG2 whole cell lysate/extract
H. 30 μg HepG2 nuclear lysate/extract
10 % SDS-PAGE
NRF1 antibody (GTX103179) dilution: 1:1000
NRF1 antibody detects NRF1 protein at nucleus on human lung adenocarcinoma by immunohistochemical analysis.
Sample: Paraffin-embedded human lung adenocarcinoma.
NRF1 antibody (GTX103179) diluted at 1:250.
Antigen Retrieval: Trilogy™ (EDTA based, pH 8.0) buffer, 15min
NRF1 antibody detects NRF1 protein at nucleus by immunohistochemical analysis.
Sample: Paraffin-embedded mouse intestine.
NRF1 stained by NRF1 antibody (GTX103179) diluted at 1:500.
Antigen Retrieval: Citrate buffer, pH 6.0, 15 min
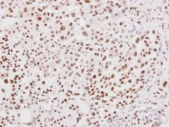
NRF1 antibody detects NRF1 protein at nucleus on mouse colon by immunohistochemical analysis.
Sample: Paraffin-embedded mouse colon.
NRF1 antibody (GTX103179) dilution: 1:500.
Antigen Retrieval: Trilogy™ (EDTA based, pH 8.0) buffer, 15min
NRF1 antibody detects NRF1 protein at nucleus on mouse colon by immunohistochemical analysis.
Sample: Paraffin-embedded mouse colon.
NRF1 antibody (GTX103179) dilution: 1:500.
Antigen Retrieval: Trilogy™ (EDTA based, pH 8.0) buffer, 15min
风险提示:丁香通仅作为第三方平台,为商家信息发布提供平台空间。用户咨询产品时请注意保护个人信息及财产安全,合理判断,谨慎选购商品,商家和用户对交易行为负责。对于医疗器械类产品,请先查证核实企业经营资质和医疗器械产品注册证情况。
文献和实验Lee CT et al., J Steroid Biochem Mol Biol 2018 (PMID:30194976)
Zhang Y et al., Am J Physiol Regul Integr Comp Physiol 2017 (PMID:28931544)
Chen YH et al., PLoS One 2014 (PMID:24475013)
Chen YH et al., PLoS One 2016 (PMID:27124120)
Chiang MC et al., Exp Cell Res 2015 (PMID:26362846)
Mesquita PHC et al., bioRxiv 2023 (PMID:37066356)
Mesquita PHC et al., Physiol Rep 2022 (PMID:36543327)
Jia-Wei Chen et al., Front Cell Neurosci 2022 (PMID:35210991)
Mesquita PHC et al., Physiol Rep 2020 (PMID:32748504)
Ma B et al., Nat Commun 2019 (PMID:30833558)
Liu XM et al., Am J Physiol Heart Circ Physiol 2013 (PMID:23604711)
技术资料暂无技术资料 索取技术资料








