相关产品推荐更多 >
万千商家帮你免费找货
0 人在求购买到急需产品
- 详细信息
- 文献和实验
- 技术资料
- 免疫原:
A synthetic peptide of human NME1
- 亚型:
IgG
- 形态:
Liquid
- 保存条件:
Store as concentrated solution. Centrifuge briefly prior to opening vial. For short-term storage (1-2 weeks), store at 4ºC. For long-term storage, aliquot and store at -20ºC or below. Avoid multiple freeze-thaw cycles.
- 克隆性:
Polyclonal
- 标记物:
Unconjugated
- 适应物种:
Human, Mouse, Rat
- 保质期:
12 months from the shipping date of the product.
- 抗原来源:
Human
- 目录编号:
GTX55727
- 级别:
Primary Antibodies
- 库存:
Available
- 供应商:
GeneTex
- 宿主:
Rabbit
- 应用范围:
WB, ICC/IF, IHC-P
- 浓度:
Batch dependent (Please refer to the vial label for the specific concentration.)
- 靶点:
nm23-H1
- 抗体英文名:
nm23-H1 antibody
- 抗体名:
nm23-H1 抗体
- 规格:
100 μl
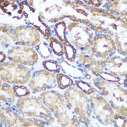
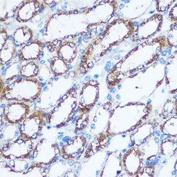
IHC-P analysis of rat kidney tissue using GTX55727 nm23-H1 antibody.
Dilution : 1:100
IHC-P analysis of human colon tissue using GTX55727 nm23-H1 antibody.
Dilution : 1:100
ICC/IF analysis of C6 cells using GTX55727 nm23-H1 antibody.
Blue : DAPI
Dilution : 1:100
WB analysis of various sample lysates using GTX55727 nm23-H1 antibody.
Loading : 25μg per lane
IHC-P analysis of mouse kidney tissue using GTX55727 nm23-H1 antibody.
Dilution : 1:100
ICC/IF analysis of HeLa cells using GTX55727 nm23-H1 antibody.
Blue : DAPI
Dilution : 1:100
风险提示:丁香通仅作为第三方平台,为商家信息发布提供平台空间。用户咨询产品时请注意保护个人信息及财产安全,合理判断,谨慎选购商品,商家和用户对交易行为负责。对于医疗器械类产品,请先查证核实企业经营资质和医疗器械产品注册证情况。
文献和实验佚名 人工合成的H 1 受体阻断药多具有乙基胺的共同结构, Ar 1 和Ar 2 可为苯环或杂环,X可为氮、氧或碳,并与主核相联。乙基胺与组胺的侧链相似,对H 1 受体有较大亲和力,但无内在活性,故能竞争性阻断之。 【药理
nm23 Protein Expression by Western Blotting in Patients with Epithelial Ovarian Carcinoma
(4 ), they retain most of the same epitopes; thus any polyclonal antibody raised against one of the two isoforms or a monoclonal antibody against a conserved epitope will recognize both nm23-H1 and -H2 at the same time. Analysis by immunohistochemistry
Mini-Antibody Affinity Chromatography of Lysozyme
Multiple noncovalent forces do play a role in the binding between a protein antigen and an antibody directed against that protein. An antigen is bound by the antigen binding site of an antibody that consists of three hypervariable segments
技术资料暂无技术资料 索取技术资料







![Pancreatic Polypeptide antibody [GT327]](https://img1.dxycdn.com/2023/0711/451/6106825198874858761-14.jpg!wh200)

