相关产品推荐更多 >
万千商家帮你免费找货
0 人在求购买到急需产品
- 详细信息
- 文献和实验
- 技术资料
- 免疫原:
Recombinant human VCAM1 protein
- 亚型:
IgG1
- 形态:
Liquid
- 保存条件:
Store as concentrated solution. Centrifuge briefly prior to opening vial. For short-term storage (1-2 weeks), store at 4ºC. For long-term storage, aliquot and store at -20ºC or below. Avoid multiple freeze-thaw cycles.
- 克隆性:
Monoclonal
- 标记物:
Unconjugated
- 适应物种:
Human
- 保质期:
12 months from the shipping date of the product.
- 抗原来源:
Human
- 目录编号:
GTX35159
- 级别:
Primary Antibodies
- 库存:
Available
- 供应商:
GeneTex
- 宿主:
Mouse
- 应用范围:
IHC-P
- 浓度:
0.2 mg/ml (Please refer to the vial label for the specific concentration.)
- 靶点:
VCAM1 / CD106
- 抗体英文名:
VCAM1 / CD106 antibody [VCAM1/843]
- 抗体名:
VCAM1 / CD106 抗体 [VCAM1/843]
- 规格:
100 μg
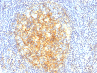
IHC-P analysis of human tonsil tissue using GTX35159 VCAM1 / CD106 antibody [VCAM1/843].
风险提示:丁香通仅作为第三方平台,为商家信息发布提供平台空间。用户咨询产品时请注意保护个人信息及财产安全,合理判断,谨慎选购商品,商家和用户对交易行为负责。对于医疗器械类产品,请先查证核实企业经营资质和医疗器械产品注册证情况。
文献和实验, NFATC4, NFAT5. Rel / NFkB / IkB Family: NFKB1, NFKB2, NFKBIA, NFKBIB, NFKBIL1, NFKBIL2, NFRKB, REL, RELA, RELB. Adhesion Molecules: ICAM1, ICAM2, ICAM3, ICAM4, ICAM5, NCAM1, NOS2A, SELE, SELL, SELPLG, VCAM1. Calcium Signaling Molecules: CALM
,2F12;CRIS-3 Leu LFA-1(gp180/95)的α链 与ICAM-1(CD54)和ICAM-2(CD102)结合 CD11b Mol,OKM1; (Mac-1,CR3,integrin αm G,M,NK gp165/95的α链 C3bi和FB受体,与ICAM-1结合,粘附,调理吞噬 CD11c LeuM5;(CR4,integrin αx) M,G,NK,Tsub gp150/95的α链 C3bi受体,调理吞噬
Intracellular Cytokine Staining Protocol
anti-cytokine antibodies with excess amounts of unlabeled antibody. Alternatively, recombinant cytokines can be used for blocking.eBioscience antibodies are available as Functional Grade (FG) Purified (sterile, endotoxin-tested, no azide), Purified
技术资料暂无技术资料 索取技术资料





![FUBP1 antibody [AT14F5]](https://img1.dxycdn.com/2023/0711/451/6106825198874858761-14.jpg!wh200)
![ZNF211 antibody [N3C2], Internal](https://img1.dxycdn.com/2023/0516/045/6925717576889828561-14.jpg!wh200)



