相关产品推荐更多 >
万千商家帮你免费找货
0 人在求购买到急需产品
- 详细信息
- 文献和实验
- 技术资料
- 免疫原:
Recombinant full-length human chromogranin A protein
- 亚型:
IgG
- 形态:
Liquid
- 保存条件:
Store as concentrated solution. Centrifuge briefly prior to opening vial. For short-term storage (1-2 weeks), store at 4ºC. For long-term storage, aliquot and store at -20ºC or below. Avoid multiple freeze-thaw cycles.
- 克隆性:
Monoclonal
- 标记物:
Unconjugated
- 适应物种:
Human
- 保质期:
12 months from the shipping date of the product.
- 抗原来源:
Human
- 目录编号:
GTX34602
- 级别:
Primary Antibodies
- 库存:
Available
- 供应商:
GeneTex
- 宿主:
Rabbit
- 应用范围:
IHC-P
- 浓度:
0.2 mg/ml (Please refer to the vial label for the specific concentration.)
- 靶点:
We do not recommend use of this product for Rat.
- 抗体英文名:
Chromogranin A antibody [CHGA/1773R]
- 抗体名:
Chromogranin A 抗体 [CHGA/1773R]
- 规格:
100 μg
IHC-P analysis of human parathyroid tissue using GTX34602 Chromogranin A antibody [CHGA/1773R].
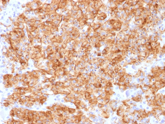
IHC-P analysis of human pancreas tissue using GTX34602 Chromogranin A antibody [CHGA/1773R].
风险提示:丁香通仅作为第三方平台,为商家信息发布提供平台空间。用户咨询产品时请注意保护个人信息及财产安全,合理判断,谨慎选购商品,商家和用户对交易行为负责。对于医疗器械类产品,请先查证核实企业经营资质和医疗器械产品注册证情况。
文献和实验Making antibodies to synthetic pepti
antibodies to chromogranin B synthetic peptides to examine route of proteolysis of the molecule. Gill BM, Barbosa JA, Hogue-Angeletti R, Varki N, O'Connor DT: Chromogranin A epitopes: clues from synthetic peptides and peptide mapping. Neuropeptides 21
Making antibodies to synthetic peptides
to chromogranin B synthetic peptides to examine route of proteolysis of the molecule. Gill BM, Barbosa JA, Hogue-Angeletti R, Varki N, O'Connor DT: Chromogranin A epitopes: clues from synthetic peptides and peptide mapping. Neuropeptides 21:105-18, 1992
Characterization and Validation of Cre‐Driver Mouse Lines
2. (A ) Schematic representation of the CreERT2 transgene used for pronuculei injection (Feil et al., ; Indra et al., ). The pair of primers used for RT‐qPCR amplification of Cre transcripts is located in the β‐globin region between a tissue‐specific promoter X (pX
技术资料暂无技术资料 索取技术资料







![CD3 antibody [1F4] (FITC)](https://custom.dxycdn.com/trademd/upload/pic/2011/12/14/1323695845.jpg!small.t.1)

