相关产品推荐更多 >
万千商家帮你免费找货
0 人在求购买到急需产品
- 详细信息
- 文献和实验
- 技术资料
- 免疫原:
Recombinant human Filaggrin protein
- 亚型:
IgG1
- 形态:
Liquid
- 保存条件:
Store as concentrated solution. Centrifuge briefly prior to opening vial. For short-term storage (1-2 weeks), store at 4ºC. For long-term storage, aliquot and store at -20ºC or below. Avoid multiple freeze-thaw cycles.
- 克隆性:
Monoclonal
- 标记物:
Unconjugated
- 适应物种:
Human
- 保质期:
12 months from the shipping date of the product.
- 抗原来源:
Human
- 目录编号:
GTX34732
- 级别:
Primary Antibodies
- 库存:
Available
- 供应商:
GeneTex
- 宿主:
Mouse
- 应用范围:
IHC-P
- 浓度:
0.2 mg/ml (Please refer to the vial label for the specific concentration.)
- 靶点:
Filaggrin
- 抗体英文名:
Filaggrin antibody [SPM181]
- 抗体名:
Filaggrin 抗体 [SPM181]
- 规格:
100 μg
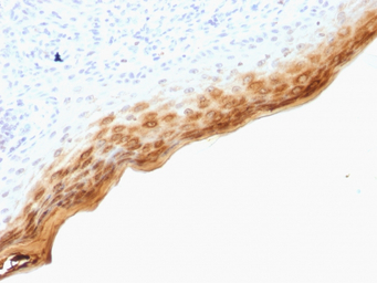
IHC-P analysis of human skin tissue using GTX34732 Filaggrin antibody [SPM181].
风险提示:丁香通仅作为第三方平台,为商家信息发布提供平台空间。用户咨询产品时请注意保护个人信息及财产安全,合理判断,谨慎选购商品,商家和用户对交易行为负责。对于医疗器械类产品,请先查证核实企业经营资质和医疗器械产品注册证情况。
文献和实验Scharenberg C et al., Head Neck Pathol 2013 (PMID:23645350)
secondary antibody review -- data from 99 publications
cytometry used as a control to detect cell responses targeted antigen 7 Alexa Fluor 488 7 Cy3 8 goat IgG Alexa Fluor 488 1:2000 detect antibody binding in human embryonic kidney 293T cells Invitrogen 9 donkey
【Jounal club】NATURE MEDICINE: 利用蛋白组技术发现糖尿病眼底病变新机制
Medicine - 13, 181 - 188 (2007) ABSTRACT: Excessive retinal vascular permeability contributes to the pathogenesis of proliferative diabetic retinopathy and diabetic macular edema, leading causes of vision loss in working-age adults. Using mass
5. Wash 4 times for five minutes per wash in TBST at room temperature. 6. Add 500 181;l of diluted alkaline-phosphatase conjugated secondary antibody and incubate for 30 minutes at room temperature with shaking. (Sigma anti-human IgG conjugate
技术资料暂无技术资料 索取技术资料






![RPL32 antibody [HL2329]](https://img1.dxycdn.com/2023/0711/058/8406876405285858761-14.jpg!wh200)

![KSHV antibody [LN35]](https://img1.dxycdn.com/2023/0711/451/6106825198874858761-14.jpg!wh200)


