相关产品推荐更多 >
万千商家帮你免费找货
0 人在求购买到急需产品
- 详细信息
- 文献和实验
- 技术资料
- 免疫原:
Recombinant protein corresponding to the latent nuclear antigen-1 molecule of HHV8.
- 亚型:
IgG2c
- 形态:
Liquid
- 保存条件:
Store as concentrated solution. Centrifuge briefly prior to opening vial. Store at 4ºC.
- 克隆性:
Monoclonal
- 标记物:
Unconjugated
- 适应物种:
Kaposi's sarcoma-associated herpesvirus
- 保质期:
12 months from the shipping date of the product.
- 抗原来源:
Human gamma Herpes Virus 8
- 目录编号:
GTX24103
- 级别:
Primary Antibodies
- 库存:
Available
- 供应商:
GeneTex
- 宿主:
Rat
- 应用范围:
ICC/IF
- 浓度:
Batch dependent (Please refer to the vial label for the specific concentration.)
- 靶点:
KSHV
- 抗体英文名:
KSHV antibody [LN35]
- 抗体名:
KSHV 抗体 [LN35]
- 规格:
500 μl
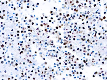
ICC/IF analysis of cultured cells infected with KSHV using GTX24103 KSHV antibody [LN35].
风险提示:丁香通仅作为第三方平台,为商家信息发布提供平台空间。用户咨询产品时请注意保护个人信息及财产安全,合理判断,谨慎选购商品,商家和用户对交易行为负责。对于医疗器械类产品,请先查证核实企业经营资质和医疗器械产品注册证情况。
文献和实验secondary antibody review -- data from 99 publications
cytometry used as a control to detect cell responses targeted antigen 7 Alexa Fluor 488 7 Cy3 8 goat IgG Alexa Fluor 488 1:2000 detect antibody binding in human embryonic kidney 293T cells Invitrogen 9 donkey
技术资料暂无技术资料 索取技术资料








![Hepatocyte Specific Antigen antibody [OCH1E5]](https://img1.dxycdn.com/2023/0711/451/6106825198874858761-14.jpg!wh200)

