相关产品推荐更多 >
万千商家帮你免费找货
0 人在求购买到急需产品
- 详细信息
- 文献和实验
- 技术资料
- 免疫原:
Recombinant human full-length CD63 protein
- 亚型:
IgG
- 形态:
Liquid
- 保存条件:
Store as concentrated solution. Centrifuge briefly prior to opening vial. Store at 4ºC.
- 克隆性:
Monoclonal
- 标记物:
Unconjugated
- 适应物种:
Human
- 保质期:
12 months from the shipping date of the product.
- 抗原来源:
Human
- 目录编号:
GTX02610
- 级别:
Primary Antibodies
- 库存:
Available
- 供应商:
GeneTex
- 宿主:
Rabbit
- 应用范围:
IHC-P, FACS
- 浓度:
200 μg/ml (Please refer to the vial label for the specific concentration.)
- 靶点:
Its epitope is different from that of MAb LAMP3/529.
- 抗体英文名:
CD63 antibody [LAMP3/2990R]
- 抗体名:
CD63 抗体 [LAMP3/2990R]
- 规格:
100 μg
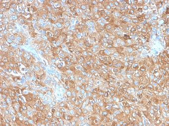
IHC-P analysis of human prostate carcinoma section using GTX02610 CD63 antibody [LAMP3/2990R].
FACS analysis of PFA-fixed U87-MG cells using GTX02610 CD63 antibody [LAMP3/2990R].
Blue : Primary antibody
Red : Isotype control
风险提示:丁香通仅作为第三方平台,为商家信息发布提供平台空间。用户咨询产品时请注意保护个人信息及财产安全,合理判断,谨慎选购商品,商家和用户对交易行为负责。对于医疗器械类产品,请先查证核实企业经营资质和医疗器械产品注册证情况。
文献和实验、CD66a-CD68、CD87-CD93 NK细胞 CD56、CD57、CD94 血小板 CD9、CD31、CD36、CD4la、CD4lb、CD42a-CD42d、CD61、CD63、CD107a、CD107b、CD26、CD30、CD69、CD70、CD71、CD95-CD97 激活抗原 CD26、CD30、CD69、CD70、CD71、CD95-CD97 粘附分子 CD11a-CD11c、CD15s、CD18、CD29、CD43、CD44、CD44R、CD48、CD49a-CD49f、CD
Phage‐Based Expression Cloning to Identify Interacting Proteins
, W., Sellers, W.R., DeCaprio, J.A., Ajchenbaum, F., Fuchs, C.S., Chittenden, T., Li, Y., Farnham, P.J., Blanar, M.A., Livingston, D.M., and Flemington, E.K. 1992. Expression cloning of a cDNA encoding a retinoblastoma‐binding protein with E2F
a subset of genomic DNA sequences of type 5'-(NNN )3 -3', whereas the 6ZF library would recognize a subset of genomic sequences of type 5'-(NNN )6 -3'. Given the zinc-finger domains used, both libraries were more likely to recognize (RNN)x -type sequences
技术资料暂无技术资料 索取技术资料





![SPAG6 antibody [N3C3]](https://custom.dxycdn.com/trademd/upload/pic/2011/12/20/1324015994.jpg!small.t.1)
![DC-SIGN antibody [C209/2749R]](https://img1.dxycdn.com/2023/0711/451/6106825198874858761-14.jpg!wh200)

