相关产品推荐更多 >
万千商家帮你免费找货
0 人在求购买到急需产品
- 详细信息
- 文献和实验
- 技术资料
- 免疫原:
Recombinant full-length human CD209 protein
- 亚型:
IgG
- 形态:
Liquid
- 保存条件:
Store as concentrated solution. Centrifuge briefly prior to opening vial. Store at 4ºC.
- 克隆性:
Monoclonal
- 标记物:
Unconjugated
- 适应物种:
Human
- 保质期:
12 months from the shipping date of the product.
- 抗原来源:
Human
- 目录编号:
GTX02600
- 级别:
Primary Antibodies
- 库存:
Available
- 供应商:
GeneTex
- 宿主:
Rabbit
- 应用范围:
IHC-P
- 浓度:
200 μg/ml (Please refer to the vial label for the specific concentration.)
- 靶点:
DC-SIGN
- 抗体英文名:
DC-SIGN antibody [C209/2749R]
- 抗体名:
DC-SIGN 抗体 [C209/2749R]
- 规格:
100 μg
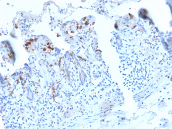
IHC-P analysis of human small intestine tissue section using GTX02600 DC-SIGN antibody [C209/2749R].
风险提示:丁香通仅作为第三方平台,为商家信息发布提供平台空间。用户咨询产品时请注意保护个人信息及财产安全,合理判断,谨慎选购商品,商家和用户对交易行为负责。对于医疗器械类产品,请先查证核实企业经营资质和医疗器械产品注册证情况。
文献和实验Antibody Staining of Dissected Gonads
Antibody Staining of Dissected Gonads - From R. Francis - -Adapted by Min-Ho Lee- Antibody staining (in Tubes) 1. Using a pasteur pipette (drawn in flame and cut open), transfer worm carcasses with attached gonads
Notes on Making Rat x Y3 Monoclonal Antibody Producing Hybridomas
of one rat spleen (approx. 10**8 cells) together with 6 x 10**7 Y3/Ag1.2.3 per fusion (the other half of the spleen cells can be frozen as a backup in 90% FCS +10% DMS0). c) Try and keep all cells, PEG and medium components at 37 deg. C
祝贺〖雅裕睿安〗成为Signalway Antibody(SAB)独家
antibody unconjugated; 货号21337,产品描述:GAPDH Antibody;规格 50 ul / 100 ul; 货号3052,产品描述:Rabbit anti-Human IgG secondary antibody HRP conjugated; 货号300904050,产品描述:One-Hour Western kit,10 ml / bottle x 3;
技术资料暂无技术资料 索取技术资料





![IL3 Receptor alpha antibody [BR4MS]](https://img1.dxycdn.com/2023/0711/451/6106825198874858761-14.jpg!wh200)
![CD134 antibody [OX86] (FITC)](https://custom.dxycdn.com/trademd/upload/pic/2011/12/14/1323695845.jpg!small.t.1)
![HSD3B1 antibody [N1C1]](https://img1.dxycdn.com/2023/0711/255/2344116916935858761-14.jpg!wh200)
