相关产品推荐更多 >
万千商家帮你免费找货
0 人在求购买到急需产品
- 详细信息
- 文献和实验
- 技术资料
- 免疫原:
Recombinant human CFTR fragment
- 亚型:
IgG2a
- 形态:
Liquid
- 保存条件:
Store as concentrated solution. Centrifuge briefly prior to opening vial. For short-term storage (1-2 weeks), store at 4ºC. For long-term storage, aliquot and store at -20ºC or below. Avoid multiple freeze-thaw cycles.
- 克隆性:
Monoclonal
- 标记物:
Unconjugated
- 适应物种:
Human, Mouse
- 保质期:
12 months from the shipping date of the product.
- 抗原来源:
Human
- 目录编号:
GTX34587
- 级别:
Primary Antibodies
- 库存:
Available
- 供应商:
GeneTex
- 宿主:
Mouse
- 应用范围:
IHC-P
- 浓度:
0.2 mg/ml (Please refer to the vial label for the specific concentration.)
- 靶点:
CFTR
- 抗体英文名:
CFTR antibody [CFTR/1342]
- 抗体名:
CFTR 抗体 [CFTR/1342]
- 规格:
100 μg
IHC-P analysis of human pancreas tissue using GTX34587 CFTR antibody [CFTR/1342].
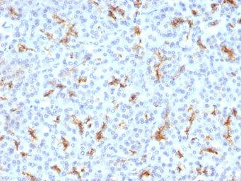
IHC-P analysis of mouse kidney tissue using GTX34587 CFTR antibody [CFTR/1342].
风险提示:丁香通仅作为第三方平台,为商家信息发布提供平台空间。用户咨询产品时请注意保护个人信息及财产安全,合理判断,谨慎选购商品,商家和用户对交易行为负责。对于医疗器械类产品,请先查证核实企业经营资质和医疗器械产品注册证情况。
文献和实验CFTR Folding Consortium: Methods Available for Studies of CFTR Folding and Correction
of expressed HA-tagged CFTR by ELISA and (b) the generation and use of an antibody to CFTR’s first extracellular loop for the detection of endogenous CFTR. Finally, we highlight a systematic collection of assays, the CFC Roadmap, which is being used to assess
Immunolocalization of CFTR in Intact Tissue and Cultured Cells
Cloning of the cystic fibrosis (CF) gene provided, for the first time, the structural information needed to more precisely define the CF defect (1 -3 ). This genetic information was used to develop powerful molecular and antibody reagents
Antibody Microarrays: Analysis of Cystic Fibrosis
proinflammatory condition in the lung. The mutation responsible for most cases of CF is [ΔF508]CFTR. However, the penetrance of the disease is quite variable, and adverse events leading to hospitalization cannot be easily predicted. Thus, there is a strong
技术资料暂无技术资料 索取技术资料





![EPS8 antibody [C3], C-term](https://img1.dxycdn.com/2023/0516/895/8887749495766728561-14.jpg!wh200)


![GAPDH antibody [6C5]](https://img1.dxycdn.com/2023/0711/451/6106825198874858761-14.jpg!wh200)

