相关产品推荐更多 >
万千商家帮你免费找货
0 人在求购买到急需产品
- 详细信息
- 文献和实验
- 技术资料
- 免疫原:
Recombinant full-length human ALPP protein
- 亚型:
IgG2b, Kappa
- 形态:
Liquid
- 保存条件:
Store as concentrated solution. Centrifuge briefly prior to opening vial. For short-term storage (1-2 weeks), store at 4℃. For long-term storage, aliquot and store at -20℃ or below. Avoid multiple freeze-thaw cycles.
- 克隆性:
Monoclonal
- 标记物:
Unconjugated
- 适应物种:
Human
- 保质期:
12 months from the shipping date of the product.
- 抗原来源:
Human
- 目录编号:
GTX34972
- 级别:
Primary Antibodies
- 库存:
Available
- 供应商:
GeneTex
- 宿主:
Mouse
- 应用范围:
WB, IHC-P
- 浓度:
0.2 mg/ml(Please refer to the vial label for the specific concentration.)
- 靶点:
Placental Alkaline Phosphatase
- 抗体英文名:
Placental Alkaline Phosphatase antibody [ALPP/870]
- 抗体名:
Placental Alkaline Phosphatase 抗体 [ALPP/870]
- 规格:
100 μg
WB analysis of JEG-3 cell lysate using GTX34972 Placental Alkaline Phosphatase antibody [ALPP/870].
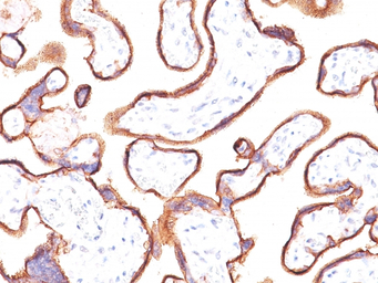
IHC-P analysis of human placenta tissue using GTX34972 Placental Alkaline Phosphatase antibody [ALPP/870].
风险提示:丁香通仅作为第三方平台,为商家信息发布提供平台空间。用户咨询产品时请注意保护个人信息及财产安全,合理判断,谨慎选购商品,商家和用户对交易行为负责。对于医疗器械类产品,请先查证核实企业经营资质和医疗器械产品注册证情况。
文献和实验Human Placental Alkaline Phosphatase Stain
The following protocol is for detection of human placental alkaline phosphatase (AP) in cultured cells. Human placental AP is heat stable, unlike other AP proteins typically expressed by cells. A few cell types (HeLa cells, for example
Alkaline Phosphatase Fusion Proteins as Tags for Identifying Targets for Placental Ligands
In this chapter, we describe protocols for the generation and characterization of alkaline phosphatase-ligand fusion proteins and their use as tools for the identification of specific ligand-receptor interactions.
Conjugation of Antibodies to Alkaline Phosphatase
Alkaline phosphatase is coupled to immunoglobin G antibody in a one-step procedure using the homobifunctional reagent glutaraldehyde, which reacts with amino groups in the two proteins. The procedure is simple to perform and requires minimal
技术资料暂无技术资料 索取技术资料







![AKT1 antibody [PKB-175]](https://img1.dxycdn.com/2023/0711/451/6106825198874858761-14.jpg!wh200)
![CD86 antibody [BU63]](https://custom.dxycdn.com/trademd/upload/pic/2011/12/14/1323695845.jpg!small.t.1)

